Técnicas de recobrimento radicular: recursos fundamentais para a Implantodontia

Matéria da Semana - Rodrigo Barbosa Lima

Técnicas de recobrimento radicular: recursos fundamentais para a Implantodontia

Introdução

Muito se discute a respeito das melhorias obtidas através do manejo de tecidos moles. Enxertos autógenos e heterógenos associados a manobras de manipulação tecidual são temas amplamente abordados e já consagrados. Cada vez mais, a Periodontia evidencia sua relevância na reabilitação através de próteses implantossuportadas.

A cirurgia guiada, por meio do Implaguide, nos permite transportar com precisão o planejamento para o momento cirúrgico. Componentes de diâmetro reduzido, geometria e rugosidade adequadas são capazes de orientar e modular o processo cicatricial da área abordada. Cabe, portanto, ao cirurgião-dentista entender os mecanismos de reparo tecidual e compensá-los com a técnica cirúrgica adequada.

O intuito deste artigo é apontar a importância e aproximar as técnicas de recobrimento radicular à manipulação tecidual ao redor de implantes, de forma que consigamos resultados estáveis e previsíveis em tecidos moles, tais quais aos atingidos nas reconstruções ósseas.

Em inúmeras situações clínicas, nos deparamos com discrepantes níveis de margem gengival. E em muitas delas, é o dente a ser extraído que apresenta a maior recessão. Discrepâncias que configurem recessões rasas, de aproximadamente 3 milímetros, podem ser abordadas em um único momento cirúrgico. Contudo, condições mais avançadas exigem procedimentos periodontais prévios para posterior extração, enxertia e implantação imediata. Ainda assim, em situações favoráveis, de margens gengivais niveladas, os processos de contração tecidual, proveniente dos mecanismos de cicatrização, precisam ser compensados e controlados.

O enxerto de tecido conjuntivo subepitelial envelopado, como descrito por Raetzke em 1985, é a estratégia mais utilizada para pequenas correções de zênite, para alteração de fenótipo tecidual e para compensação da perda de volume vestibular. Entretanto, determinadas situações clínicas exigem uma derivação dessa conduta. A técnica de Raetzke modificada, descrita por Joly e colaboradores em 2010, preconiza um retalho de espessura total e agrega um descolamento tecidual para além da linha mucogengival, seguido da estabilização do enxerto, parcialmente exposto, através de suturas. Mesmo que ainda minimamente invasiva, essa opção proporciona maior avanço coronal dos tecidos, melhor acomodação e apropriado selamento de enxertos e membranas.

Caso Clínico

O paciente apresentava um incisivo central extruído, com Endodontia realizada decorrente de um trauma há dez anos e com frequentes episódios de supuração. Em avaliação clínica, foi identificado ampla profundidade a sondagem na região vestibular, mobilidade grau II e aspecto inflamatório nas margens. Com auxílio de tomografia computadorizada, foi diagnosticada uma fratura radicular no terço apical com acometimento do tecido ósseo adjacente. Para a condição encontrada, optou-se pela extração, regeneração óssea, concomitante a implantação e instalação de prótese de transição.

Figura 1 – Aspecto inicial do caso.

O planejamento foi realizado por meio do fluxo digital, no software Exoplan (Exocad), através do qual restituímos a posição dental adequada e o zênite ideal. Foi selecionado o implante Implacil De Bortoli Maestro CM 3.5×13, para uma cirurgia guiada com o Kit Implaguide. Pela extensão do comprometimento ósseo, planejou-se também o uso de um enxerto ósseo Extra Graft XG-13 de 1g.

Figura 2 – Tomografia computadorizada tipo cone beam pré-operatória (direita) e planejamento cirúrgico digital realizado com Exoplan (esquerda).

Procedemos com a exodontia, mantendo ao máximo a integridade das estruturas adjacentes, irrigação abundante e curetagem da lesão. Logo após, conferimos a adaptação do guia cirúrgico e iniciamos a sequência de brocas para instalação do implante. Com o implante instalado na posição pretendida, realizamos as etapas de captura da prótese de transição.

Neste caso, dois fatores foram avaliados para definir a conduta dos tecidos moles: a necessidade de avançar coronalmente a posição do zênite e a extensão e do defeito ósseo, que demandaria um grande volume ósseo a ser enxertado. Dessa forma, optou-se por estagiar o manejo dos tecidos gengivais.

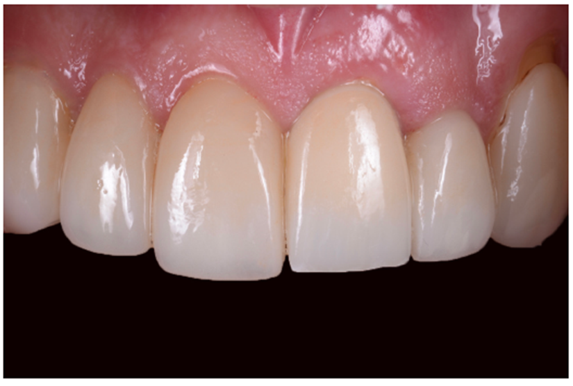
Figura 3 – Aspecto gengival pós-operatório imediato.
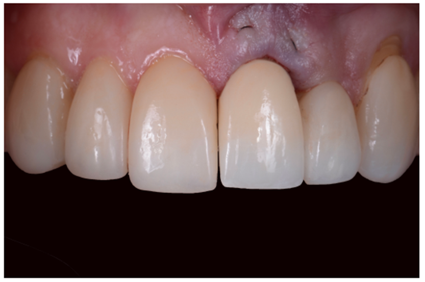
Figura 4 – Aspecto gengival final.

Para alcançar a mobilidade tecidual, sem comprometimento estético, iniciamos um descolamento via “túnel”, mantendo margem e papilas em posição, seguido da divisão do retalho e secção das fibras em profundidade e lateralmente. Finalizada a etapa, conferimos a mobilidade do tecido e inserimos a membrana de colágeno e substituto ósseo para otimizar a regeneração. Dessa forma, atingimos o completo recobrimento da área enxertada e o nivelamento da margem gengival, deixando a alteração de fenótipo para as etapas de transição.

Com provisório em posição, mantendo o arcabouço e orientando a cicatrização, a cirurgia é finalizada apenas com suturas em suspensório internas, sem pressionar as margens. Essa técnica garante a tensão adequada sobre a área regenerada e compensa contração esperada durante o processo cicatricial.

Conclusão

A Odontologia apresenta um vasto arsenal de técnicas de manejo de tecidos moles. A indicação de enxertos gengivais é apenas uma fração das possibilidades. Assim, este caso, como inúmeros outros, rememora que as manobras teciduais, representadas não unicamente por enxertias, são fundamentais aliadas na restauração de saúde, estabilidade e estética em nossas reabilitações.

REFERÊNCIAS

1- Bell, C., Sahl, E., Kim, Y. & Rice, D. Accuracy of Implants Placed with Surgical Guides: Thermoplastic Versus 3D Printed. Int J Periodontics Restor Dent 38, 113–119 (2018).

2- Gargiulo, A. W., Wentz, F. M. & Orban, B. Dimensions and Relations of the Dentogingival Junction in Humans. J Periodontol 32, 261–267 (1961).

3- Lee, A., Fu, J.-H. & Wang, H.-L. Soft Tissue Biotype Affects Implant Success. Implant Dent 20, e38–e47 (2011).

4- Joly JC, Carvalho PFM, da Silva RC. Reconstrução tecidual estética – procedimentos plásticos e regenerativos periodontais e peri-implantares (1ª ed.). São Paulo: Artes Médicas, 2009.

5- Raetzke R. Parodontale Rezession–Prävalenz, Signifikanz, Ursachen und Therapie [Periodontal recession–prevalence, significance, causes and therapy]. ZWR. 1985 Dec;94(12):968, 971-4. German. PMID: 3869404.

6- Thoma, D. S., Buranawat, B., Hämmerle, C. H. F., Held, U. & Jung, R. E. Efficacy of soft tissue augmentation around dental implants and in partially edentulous areas: a systematic review. J Clin Periodontol 41, S77–S91 (2014).

7- Urban, I. A. & Monje, A. Guided Bone Regeneration in Alveolar Bone Reconstruction. Oral Maxil Surg Clin 31, 331–338 (2019).

8- Zucchelli, G., Sharma, P. & Mounssif, I. Esthetics in periodontics and implantology. Periodontol 2000 77, 7–18 (2018).