Por Tárcio Skiba, Bruno Sá, Davidney Silva Morais e Luanna Farias Melo.
Introdução
A estética, com o passar do tempo, se tornou o foco na Odontologia, culminando no desenvolvimento de técnicas que promovem harmonia bucal ao paciente. Os implantes dentários são promissores, pois aliado às técnicas de enxertos para aumento de tecido mole, permitem a substituição de dentes perdidos1.
Frequentemente, a ausência dentária envolve defeitos em tecido mole e na espessura do tecido duro, onde uma deformidade localizada na crista alveolar dificulta a correta colocação de implantes e proporciona problemas estéticos e de higiene2. Da mesma forma, após uma perda dentária ocorre dano ósseo, havendo a redução do volume do rebordo alveolar, promovendo um colapso da placa cortical. Esse colapso pode ser resultante de algumas intercorrências como: defeitos de desenvolvimento, extração traumática de dentes, traumas externos, formação de abcessos, tumores bucais e outros2-3.
Logo, essas intercorrências podem prejudicar a reabilitação bucal ao fornecer um perfil estético deficiente, além de uma higiene oral prejudicada, instabilidade na colocação de um implante e dificuldade na fonética dos pacientes2-3. Portanto, alguns procedimentos destinados ao aumento de tecidos moles foram desenvolvidos para corrigir os defeitos alveolares e aumentar a espessura de tecido mole. Essas técnicas são os enxertos gengivais, de tecido conjuntivo, técnica de rolo e técnica de rolo modificada3.
A técnica de rolo modificada aborda uma quantidade maior de tecido conjuntivo que poderia ser enrolado, minimizando a exposição do osso e preservando o epitélio sobre ele, contribuindo com uma técnica mais confortável aos pacientes2.
Essa técnica é indicada para correção de tecidos moles horizontais leves à moderados5. A sua vantagem sobre a técnica de rolo tradicional inclui o máximo de quantidade de tecido conjuntivo que pode ser enrolado na região bucal, minimizando a quantidade de osso exposto, preservando o epitélio sobre ele e assim, minimizando o desconforto ao paciente3.
Deste modo, diante dessas informações, o objetivo desse relato de caso foi realizar a técnica de rolo modificada para correção dos tecidos moles horizontais leves e moderados.
Relato de Caso
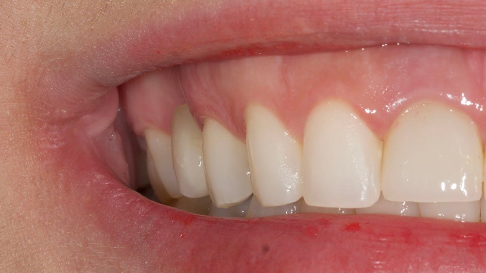
Para este relato de caso clínico selecionou-se a paciente A. S. P, do gênero feminino, de 22 anos, que procurou a Clínica de Especialização em Implantodontia devido a uma perda dentária do elemento 15 por trauma, culminando como queixa principal a ausência do elemento dental e a gengiva aprofundada.

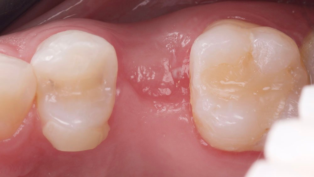
Durante a anamnese, a paciente apresentou um bom estado de saúde geral e não relatou nenhum dado médico relevante que impossibilitasse o tratamento. No exame físico intraoral, observou uma boa condição de saúde bucal, notando-se apenas a ausência do elemento 15 com uma depressão óssea no vestibular. Dessa forma, objetivou-se um plano de tratamento baseado na utilização da técnica de rolo modificada e colocação de dente provisório.
Para dar início ao procedimento cirúrgico, realizou-se o preparo pré-operatório com terapia medicamentosa, onde foi prescrito duas cápsulas de Amoxicilina 500 mg (EMS – Germed Farmacêutica, São Paulo-Brasil), um comprimido de Dexametasona 4 mg (EMS S/A, São Paulo- Brasil) e um comprimido de Dipirona 500 mg (EMS S/A, São Paulo- Brasil). Todos administrados uma hora antes da cirurgia.
Os nervos alveolares superiores anterior, médio e o palatino maior foram anestesiados com dois tubetes de Cloridrato de Mepivacaína 2% (Cristália Produtos Químicos Farmacêuticos Ltda., São Paulo-Brasil). Com o auxílio de uma lâmina 15C (Syann Morton – Cód.11810 (HOS11810A)), foi realizada uma incisão ligeiramente palatinizada em retalho dividido, paralela ao tecido ósseo palatino, de modo a separar a porção mais epitelial do tecido conjuntivo palatino (aproximadamente 2 mm) da porção mais profunda (aproximadamente 3 mm), para que em seguida, uma segunda incisão no tecido palatino (abaixo do alçapão formado pela primeira incisão) pudesse liberar essa porção mais profunda (juntamente a periósteo) e a mesma seja rotacionada para a vestibular do defeito. Na sequência, outras duas incisões em retalho total (até periósteo) foram realizadas de modo a dar a forma das futuras papilas proximais. Uma última incisão superficial foi realizada na porção oclusal do defeito com a finalidade de desepitelização para que o tecido oclusal também fosse rotacionando para a vestibular. Para o descolamento do enxerto e mucosa vestibular foram utilizadas curetas Molt (Supremo Instrumentais).
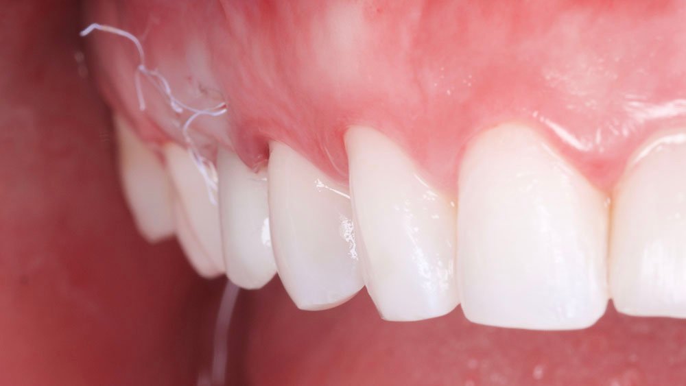
Com auxílio de uma pinça porta agulha Castroviejo e pinça Dietrich 16 (Supremo Instrumentais), e fio de sutura Micro PTFE 5.0 (GolnitTM, Ucrânia-Europa – MICROSUTURE), foi realizado a sutura da região com pontos do tipo colchoeiro horizontal, posicionando o rolo dentro do retalho, tipo envelope na região vestibular.
Confeccionou-se um dente provisório aparafusado com coifa de titânio 4,5 x 4 mm – Linha Ideale (Implacil De Bortoli, São Paulo-Brasil), sobre o Pilar Ideale 4,5 x 4 x 2,5 (Implacil De Bortoli, São Paulo-Brasil), apoiado no Implante Maestro 4 x 11 (Implacil De Bortoli, São Paulo-Brasil), obtendo um torque aproximado de 40N. E por fim, realizou-se a proservação e acompanhamento radiográfico.
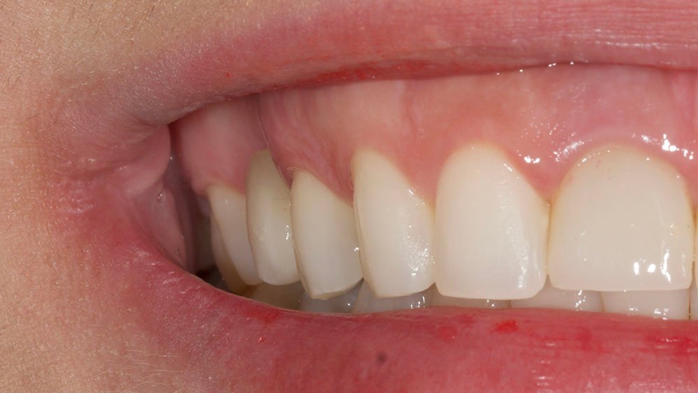
O procedimento selecionado para esse relato de caso promoveu resultados satisfatórios e melhorou a estética. No término do procedimento cirúrgico, a paciente foi orientada a tomar uma cápsula de Amoxicilina 500 mg (EMS – Germed Farmacêutica, São Paulo- Brasil) a cada 8 horas por sete dias; um comprimido de Nimesulida 100 mg (Eurofarma Laboratórios S/A, São Paulo-Brasil) a cada 12 horas por três dias; e um comprimido de Dipirona 500 mg (Sanofi Medley Farmacêutica Ltda., São Paulo-Brasil) a cada 6 horas. Além disso, foi indicado à paciente que evitasse alimentos pastosos e pegajosos, que preferisse alimentos frios ou gelados e utilizasse bolsa de gelo no local.




















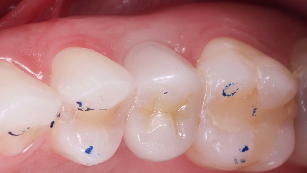
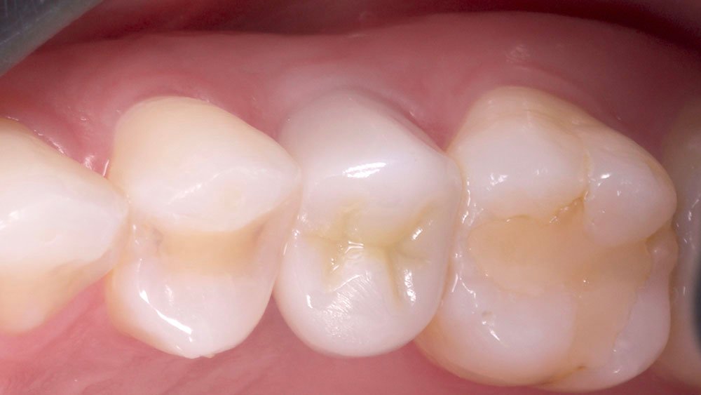
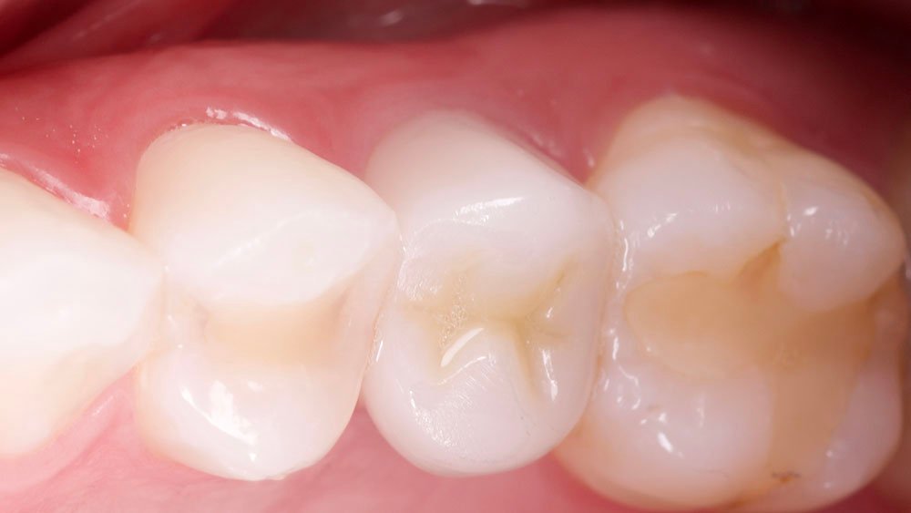
No acompanhamento mensal realizou-se proservação e radiografias periapicais da região para verificar a cicatrização dos tecidos e integridade do implante. Após o período de três meses, foi cimentada uma coroa definitiva de zircônia monolítica.


REFERÊNCIAS
1- Man Y, Wang Y, Qu Y, Wang P, Gong, P. A palatal roll envelope technique for peri-implant mucosa reconstruction: a prospective cas series study. Int. J. Oral Maxillofac. Surg. 2013; 42:660-665.
2- Pandolfi A. A modified approach to horizontal augmention of soft tissue around the implant: omega roll envelope flap. Description of surgical technique. Clin. Ter. 2019; 169(4):e165-169.
3- Trakur K, Khade R. Modified roll flap approach for soft tissue augmentation: a case report. International Journal of Current Advanced Research. 2021; 10(6):24626-24628.
4- Scharf DR, Tarnow DP. Modified roll technique for localized alveolar ridge augmentation. The Int. J. of Periodontics & Restorative Dentistry. 1992; 12(5).
5- Giordano F, Langone G, Di Paola D, Alfieri G, Cioffi A, Sammartino G. Roll technique modification: papilla preservation,” Implant Dentistry. 2011; 20(3): e48-e52.
6- Barone R, Clauser C, Prato GP. Localized soft tissue ridge augmentation at phase 2 implant surgery: A case report. The Int. J. of Periodontics & Restorative Dentistry. 1999; 19(2).
7- Barakat K, Ali A, Meguid AA, Moniem MA. Modified roll flap a handy technique to augment the peri-implant soft tissue in the esthetic zone: A randomized controlled clinical trial. Tanta Dental Journal. 2013; 10:123-128.
8- Saade J, Sotto-Maior BS, Francischone CE, Bassani M, Castro ANA, Senna PM. Pouch roll technique for implant soft-tissue augmentation of small defects: two case reports with 5-year follow-up. Journal of Oral Implantology. 2015, XLI(3).
9- Kinaia BM, Zimmerman D, Koutrach M. Improving peri-implant soft tissue using a modified rolled connective tissue technique: case series. Journal of Advanced Oral Research. 2016; 7(2).
10- Valencia PEM, Ramirez BIY, Peñaranda AMV. Absceso gingival después de aumento de rebordo alveolar con técnica en rollo modificada. Reporte de caso. Universitas Odontológica. 2017; 36(77):2027-3444.
11- Saquib SA,Bhat MYS, Javali MA, Shamsuddin SV, Kader MA. Modified roll technique for soft tissue augmentation in prosthetic rehabilitation: a case report. Clinics and Practice. 2019; 9(1110).
12- Kotsilkov K. Modified single roll flap approach for simultaneous implant placement and gingival augmentation. Journal of IMAB – Annual Proceding (Scientific Papers). 2017; 23(3).
13- Tabanella G. The buccal pedicle flap technique for periimplant soft tissue boosting. The International Journal of Esthetic Dentistry. 2019; 14(1).
14- Dhir S. Papilla preserving modified roll technique for stage 2 soft tissue augmentation. Journal of Indian Society of Periodontology. 2014; 18(4).
15- Habeeb A, Mohsin B, Sheethi KV, Priyanka M, Karre D, Ahmed MQ. Regenerative surgical flap to maintain interdental papilla around dental implant. International Journal of Applied and Basic Medical Research. 2019; 9(3):188-190.
16- Gluckman H, Salama M, Toit JD. Esthetic tunnel exposure: A combination technique for peri-implant soft tissue development at second-stage surgery. The Journal of Prosthetic Dentistry. 2018;1-5.
17- Jiang X, Lin Y. Gain of keratinized mucosa around implants in the posterior mandible by a modified apically positioned flap and xenogeneic collagen matrix. International Journal of Applied and Basic Medical Research. 2019; 39(5):721-727.
18- Kotsilkov K. Modified single roll flap approach for simultaneous implant placement and recession coverage. Journal of IMAB – Annual Proceeding (Scientific Papers). 2021; 27(2):3778-3783.
19- Guglielmi M. Modified roll palatal flap technique in aesthetic zone. Stability of results after 4 years. AAOMS. 2013.
20- Kulkarni MR, Bakshi PV, Kavlekar AS, Thakur SL. Applications of a modified palatal roll flap in peri-implant soft-tissue augmentation – A case series. J. Indian Soc. Periodontol. 2017; 21(4):333-336.




