Por Diego Klee e Rodrigo Baumgardt Barbosa Lima
Introdução
A regeneração óssea guiada (ROG) é considerada um valioso método aplicado durante a reconstrução do osso alveolar para o sucesso na colocação de implantes dentários. A ROG promove a formação óssea, protegendo contra a invasão de tecidos não osteogênicos concorrentes no local do defeito ósseo.
Baseia-se no conceito de que barreiras, ou seja, membranas cirúrgicas, devem ser usadas como um componente essencial do tratamento para excluir tecidos moles de rápida proliferação.
Isso ajuda a promover a angiogênese e a migração celular osteogênica da periferia do defeito em direção ao centro, resultando em uma cicatrização óssea adequada.
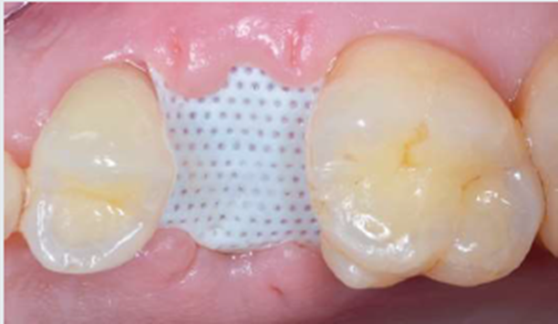
As membranas não reabsorvíveis de politetrafluoroetileno (PTFE) foram projetadas para uso em ROG, e sua principal vantagem clínica é que são capazes de manter a integridade estrutural durante a sua colocação, simplificando os procedimentos cirúrgicos e proporcionando biocompatibilidade e rigidez para manutenção de espaço no local do defeito ósseo. A Cytoplast TXT-200 (Osteogenics Biomedical Inc. – Lubbock/TX, EUA) é uma membrana não reabsorvível de PTFE-d (politetrafluoroetileno denso), com espessura de 250 μm. É especialmente indicada para enxertos de alvéolos frescos, quando o fechamento primário não é possível. Sua superfície externa texturizada (Regentex), com sulcos hexagonais e porosidade inferior a 0,3 μm, foi projetada para aumentar a área disponível, favorecendo a fixação de tecidos moles, criando uma barreira às bactérias.
Membranas expostas de PTFE posicionadas sobre alvéolos de extração frescos, associados ou não ao enxerto ósseo, permitem a formação de tecidos adequados para a colocação de implantes.
A capacidade de permanecer intencionalmente exposta é uma vantagem importante desse material, por reduzir a necessidade de grandes retalhos e incisões verticais para alcançar o fechamento primário, mantendo os contornos originais do rebordo e a linha mucogengival em posição, evitando a perda de mucosa queratinizada. O uso de membranas isoladas ou associadas a enxertos ósseos (autógeno, alógeno, xenógeno ou aloplástico) proporciona a manutenção do rebordo alveolar.
Nos casos em que as paredes ósseas encontram-se intactas, somente a membrana é utilizada. Já quando há perda de paredes ósseas do processo alveolar, a associação com enxertos ósseos é indicada para evitar o colapso da membrana.
A membrana deve ser customizada no ato cirúrgico, curvando-a para acompanhar a anatomia do rebordo.
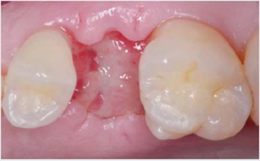
Poderá ser aparada com uma tesoura curva, visando cobrir totalmente o alvéolo de extração e pelo menos 3 mm a 5 mm do osso circundante. Os retalhos mucoperiosteais são reposicionados e suturados sem tentativa de fechamento primário. A membrana fica intencionalmente exposta e é removida entre 21 e 28 dias após a cirurgia.
A infecção é a principal razão da perda óssea neste período. O fato da membrana Cytoplast TXT-200 ser texturizada fornece uma quantidade de porosidade que possibilita a estabilidade da ferida através da adesão celular, mas com densidade suficiente para evitar a migração de bactérias através de sua estrutura. A membrana pode ser removida em um procedimento simples, semelhante à remoção da sutura. O tecido epitelial formado entre o retalho e a membrana deve ser removido com curetas periodontais, para possibilitar a exposição do tecido conjuntivo.
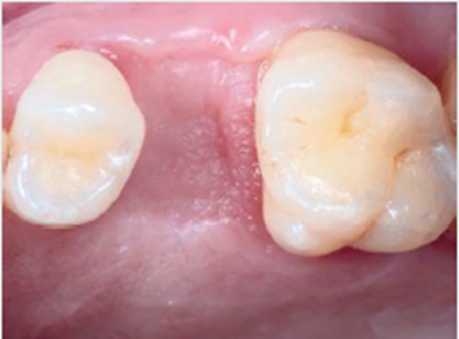
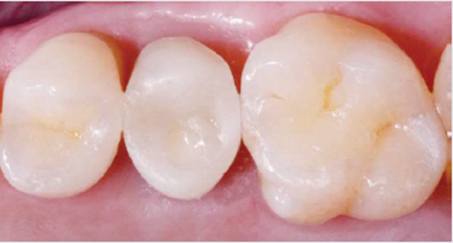
Nos locais que recebem membranas isoladamente, os implantes são colocados após três meses. Em associação com enxertos ósseos, a espera passa para seis a oito meses. No momento da colocação do implante, observa-se a mucosa queratinizada com superfície, cor, consistência e textura normais, além da posição da junção mucogengival preservada e o rebordo com formação de tecido ósseo adequado.











*Este artigo foi publicado na revista ImplantNews em 2024.





