Reabilitação total de mandíbula: relato de caso com cirurgia guiada e sistema Cone Morse Maestro

Matéria da semana - Maria Amélia Jugdar

Reabilitação total de mandíbula: relato de caso com cirurgia guiada e sistema Cone Morse Maestro

Por Maria Amélia Jugdar

Introdução

Em uma sociedade cada vez mais tecnológica e ansiosa, a busca por resultados rápidos, minimamente invasivos e que aliam estética, funcionalidade, longevidade da reabilitação oral e saúde sistêmica representa um desafio constante na prática clínica. No entanto, os avanços tecnológicos na Implantodontia — como o desenvolvimento da macrogeometria e o tratamento de superfície dos implantes, a qualidade e precisão dos sistemas de fresagem, bem como a evolução das conexões e soluções protéticas —, somados ao uso de guias cirúrgicos, proporcionam maior previsibilidade, conforto ao paciente e resultados clínicos cada vez mais próximos da excelência.

Resumo

Este relato de caso clínico tem como objetivo demonstrar a previsibilidade de uma reabilitação cirúrgico-protética total de mandíbula, utilizando o sistema Cone Morse Maestro, por meio de cirurgia guiada com carga precoce, mostrando toda a estabilidade e previsibilidade do conjunto implante, periodontia e prótese.

Relato do caso

Paciente do sexo feminino, 61 anos, compareceu ao consultório apresentando ausência de todos os dentes da arcada inferior, com exceção do dente 33. Apesar da condição edêntula parcial, apresentava boa quantidade e qualidade de tecido ósseo remanescente. Utilizava uma prótese parcial removível e relatava como principais queixas a dificuldade mastigatória e a insegurança causada pela ausência de dentes fixos.

Considerando o medo relatado em relação ao tratamento odontológico e o desejo por um resultado rápido, optou-se pela reabilitação com protocolo de carga precoce, por meio de cirurgia guiada, utilizando implantes Maestro Cone Morse.

Figura 1 – Foto inicial da paciente em oclusão com prótese parcial removível e prótese total em posição.
Figura 2 – Foto inicial da paciente com a boca entreaberta, com prótese parcial removível e prótese total em boca.
Figura 3 – Raio-X panorâmico inicial sem próteses removíveis em boca.

Para o planejamento da cirurgia guiada, foi necessária a duplicação da prótese da paciente em resina acrílica. A peça duplicada recebeu marcações com guta-percha para servir como referência radiográfica. Foram realizadas duas tomografias: uma com a prótese posicionada em boca e outra da prótese isoladamente, a fim de possibilitar a sobreposição das imagens e o planejamento virtual preciso da cirurgia.

Figura 4 – Prótese parcial removível da paciente duplicada e com marcações em guta-percha para tomadas tomográficas.
Figura 5 – Prótese parcial removível duplicada posicionada para tomografia.

Foram planejados seis implantes nas seguintes medidas: elemento 31: 3.5x11mm; elemento 33: 3.5x11mm; elemento 35: 3.5x7mm; elemento 41: 3.5x11m; elemento 43: 3.5x11mm; elemento 45: 3.5x7mm; que foram distribuídos ao longo da mandíbula. O planejamento virtual do guia cirúrgico foi realizado em parceria com a empresa TechnoGuide, sendo posteriormente validado e aprovado para a confecção do guia definitivo.

Figura 6 – Imagem do Raio-X panorâmico sem implantes e com marcações de guta-percha.
Figura 7 – Imagem do Raio-X panorâmico com planejamento digital dos seis implantes.
Figura 8 – Planejamento digital do implante 31.
Figura 9 – Planejamento digital do implante 33.
Figura 10 – Planejamento digital do implante 35.
Figura 11 – Planejamento digital do implante 41.
Figura 12 – Planejamento digital do implante 43.
Figura 13 – Planejamento digital do implante 45.
Figura 14 – Guia cirúrgico pronto.

A cirurgia teve início com a exodontia do elemento 33, seguida da realização de anestesia infiltrativa em fundo de saco para a fixação do guia cirúrgico. Com o guia devidamente posicionado e estabilizado, foram administradas anestesias adicionais por meio das anilhas direcionadas a cada sítio implantado. Em seguida, foi realizada a sequência de fresagem e instalação dos seis implantes conforme o planejamento prévio. O procedimento cirúrgico teve duração aproximada de 30 minutos, sendo necessária apenas uma sutura na região da exodontia.

Figura 15 – Raio-X panorâmico pós-operatório com os seis implantes posicionados e os mini-cônicos instalados.
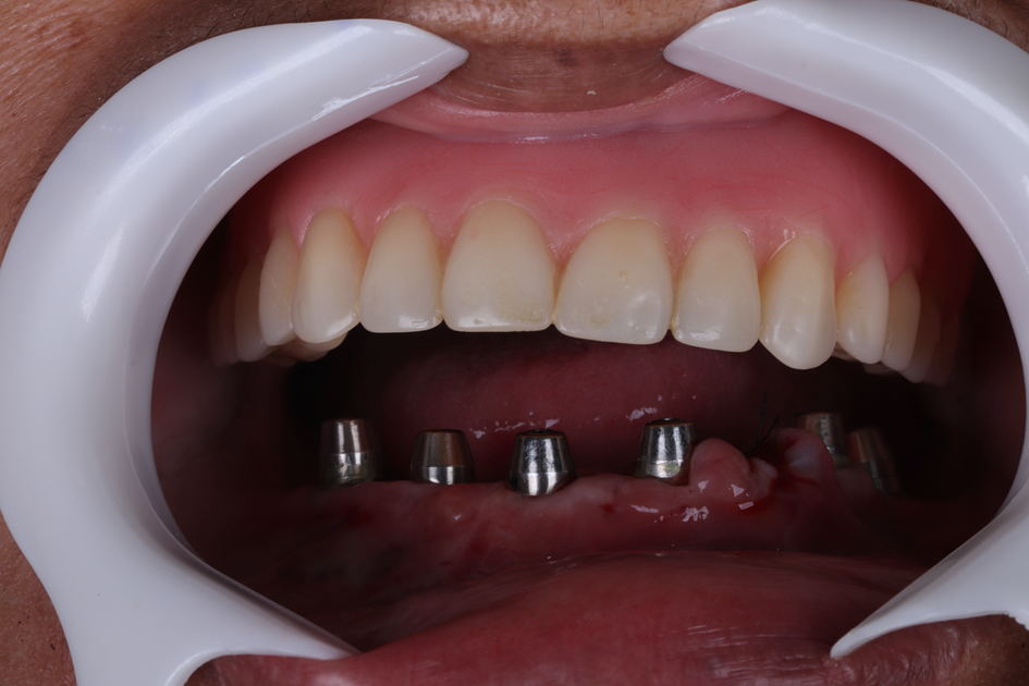
Figura 16 – Foto do pós-operatório imediato.
Figura 17 – Foto do pós-operatório imediato.
Figura 18 – Corte tomográfico implante 45.
Figura 19 – Corte tomográfico implante 43.
Figura 20 – Corte tomográfico implante 41.
Figura 21 – Corte tomográfico implante 31.
Figura 22 – Corte tomográfico implante 33.
Figura 23 – Corte tomográfico implante 35.

Logo após a instalação dos implantes foram posicionados mini-pilares cônicos em cada implante. Após 28 dias, os mini-pilares cônicos foram torqueados com 30N, e realizou-se a moldagem para confecção da prótese definitiva, em resina, respeitando o protocolo de carga precoce.

Optou-se por confeccionar a prótese em um intervalo de quatro dias, respeitando etapas essenciais para garantir adaptação e estética adequadas. Foi realizada a prova dos dentes em cera, seguida da prova dos dentes montados sobre a barra metálica, e, por fim, a instalação da prótese definitiva.

Figura 24 – Raio-X panorâmico da prova da barra.
Figura 25 – Foto da prótese protocolo inferior definitiva.
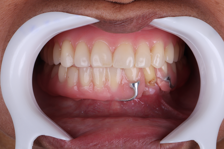
Figura 26 – Foto da prótese protocolo inferior definitiva instalada em boca.
Figura 27 – Foto da prótese protocolo inferior definitiva instalada em boca.
Figura 28 – Foto da prótese protocolo inferior definitiva instalada em boca.

Conclusão

Por meio deste relato de caso clínico, conclui-se que um planejamento pré-operatório criterioso, aliado à tecnologia de ponta dos sistemas de implantes atuais, permite a redução significativa do tempo de tratamento e do trauma cirúrgico. Esses fatores colaboram para minimizar os riscos de complicações, aumentando a previsibilidade e o sucesso das reabilitações orais com implantes dentários. Além disso, essa abordagem possibilita que pacientes com medo de procedimentos odontológicos, idade avançada ou determinadas comorbidades sejam reabilitados de forma segura, previsível e confortável.