Maxilas atróficas são um desafio na Implantodontia. A baixa densidade e quantidade óssea na região pode ser um obstáculo intransponível em alguns casos 1,2. Vários métodos são reportados na literatura para tratamento de maxilas atróficas, incluindo: enxertos em bloco, implantes zigomáticos, distração osteogênica, implantes curtos, implantes angulados, levantamento de seio maxilar, Regeneração Óssea Guiada (ROG), entre outros 3,4,5. Após o sucesso da enxertia óssea, a escolha de um implante com características ideais da macrogeometria, do tratamento de superfície e tipo de conexão de prótese é de suma importância para o sucesso do tratamento a longo prazo.
Nesta matéria da semana, será apresentada a evolução de um caso clínico de maxila atrófica, reabilitada com ROG e implantes Maestro com dois anos de acompanhamento.
Paciente com edentulismo total maxilar foi indicado pelo profissional protesista para a instalação de implantes na região dos elementos ausentes: 11, 21, 22, 34, 35, 36, 45 e 36. Após exame clínico inicial e complementar com radiografia panorâmica e tomografia computadorizada de feixe cônico (TCFC), notou-se severa reabsorção óssea na maxila. No caso apresentado, a técnica de levantamento de seio maxilar não estava indicada, dado as características anatômicas dos seios maxilares hipoplásicos associadas à extensa reabsorção óssea de rebordo alveolar (Figuras 1 e 2).


Para a realização da ROG, utilizou-se a técnica Barbell Technique6 (Figura 3), com um enxerto composto por osso autógeno particulado e substituto ósseo mineral inorgânico de origem bovina Bio-Oss (Geistlich) na proporção 1:1, coberto por uma membrana de colágeno reabsorvível Bio-Gide (Geistlich).

Após o período de seis meses de cicatrização do enxerto, realizou-se a uma nova TCFC, onde foi possível constatar o ganho ósseo obtido (Figura 4).

O implante Maestro tem se demonstrado como uma excelente opção em pacientes com baixa qualidade óssea, como também em regiões onde foram realizados procedimentos de enxertia óssea. Para a reabilitação desse caso clínico específico, os implantes Maestro Cone Morse e HI foram escolhidos devido às suas características diferenciadas de macrogeometria, aliadas ao seu tratamento de superfície. As câmaras de cicatrização incorporadas na macrogeometria dos implantes Maestro apresentam uma evidente aceleração no processo de osseointegração, bem como na qualidade desse processo 7,8. O design do implante favorece sua inserção com baixo torque, o que é essencial em regiões enxertadas. Os implantes foram instalados com torques de travamento primário variando entre 10 e 25 N (Figuras 5 a 8).




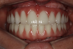
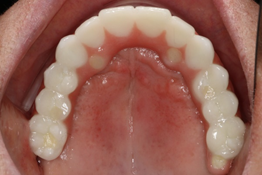
Após quatro meses, procedeu-se à cirurgia de reabertura e instalação dos pilares mini cônicos da linha de prótese do sistema CM e HI da Implacil De Bortoli e a paciente foi encaminhada para o protesista para instalação das próteses tipo protocolo. Nas figuras 9, 10 e 11 podemos observar o acompanhamento radiográfico e clínico após dois anos de follow-up.



As vantagens da utilização do implante Maestro na região enxertada de maxila atrófica foram primordiais para o sucesso desse caso clínico: baixo torque de inserção do implante evita stress desnecessário no osso neoformado e o processo de osseointegração é acelerado, graças ao tratamento de superfície e sua macrogeometria diferenciada, com câmaras de cicatrização.
REFERENCIAS:
- Baj, A et al. “An overview on bone reconstruction of atrophic maxilla: success parameters and critical issues.” Journal of biological regulators and homeostatic agents vol. 30,2 Suppl 1 (2016): 209-15.
- Corbella, Stefano et al. “Long-term outcomes for the treatment of atrophic posterior maxilla: a systematic review of literature.” Clinical implant dentistry and related research vol. 17,1 (2015): 120-32. doi:10.1111/cid.12077
- Ramezanzade, Shaqayeq et al. “Zygomatic implants placed in atrophic maxilla: an overview of current systematic reviews and meta-analysis.” Maxillofacial plastic and reconstructive surgery vol. 43,1 1. 6 Jan. 2021, doi:10.1186/s40902-020-00286-z
- Solà Pérez, Aleix, et al. “Success Rates of Zygomatic Implants for the Rehabilitation of Severely Atrophic Maxilla: A Systematic Review.” Dentistry Journal, vol. 10, no. 8, Aug. 2022, p. 151. Crossref, doi.org/10.3390/dj10080151.
- Ravidà, Andrea et al. “Prosthetic Rehabilitation of the Posterior Atrophic Maxilla, Short (≤6 mm) or Long (≥10 mm) Dental Implants? A Systematic Review, Meta-analysis, and Trial Sequential Analysis: Naples Consensus Report Working Group A.” Implant dentistry vol. 28,6 (2019): 590-602. doi:10.1097/ID.0000000000000919
- Pelegrine, André Antonio et al. “Barbell Technique: A Novel Approach for Bidirectional Bone Augmentation: Technical Note.” The Journal of oral implantology vol. 46,4 (2020): 446-452. doi:10.1563/aaid-joi-D-19-00323
- Gehrke, Sergio Alexandre et al. “Biomechanical Effects of a New Macrogeometry Design of Dental Implants: An In Vitro Experimental Analysis.” Journal of functional biomaterials vol. 10,4 47. 25 Oct. 2019, doi:10.3390/jfb10040047
- Gehrke, Sergio Alexandre, et al. “New Implant Macrogeometry to Improve and Accelerate the Osseointegration: An In Vivo Experimental Study.” Applied Sciences, vol. 9, no. 15, Aug. 2019, p. 3181. Crossref, https://doi.org/10.3390/app9153181





