A evolução da Implantodontia nesse século é algo surpreendente. Diversos pontos podem ser exaltados, como a evolução dos biomateriais e suas técnicas de aplicação; as técnicas de instalação dos implantes, principalmente com o advento da cirurgia guiada; a macro e a microgeometria dos implantes; as conexões protéticas; os pilares protéticos, além dos softwares de diagnóstico e de planejamento, entre outros. Mas o que quero chamar a atenção é sobre a evolução dos pilares protéticos.
No início da Implantodontia, o único pilar existente e utilizado era o Abutment Standard, desenvolvido na época, exclusivamente para próteses totais tipo protocolo de Brånemark (Figura 1).

Ainda no século passado, os pilares começaram a apresentar evoluções significativas, como a chegada do pilar UCLA, que permite fazer próteses múltiplas ou unitárias. Posteriormente, surgiram os pilares Esteticone, também utilizados para próteses múltiplas e unitárias. Na sequência surgiram os pilares preparáveis, utilizados para próteses cimentadas. Até que surgiu, então, o pilar Cera One, constituindo uma grande evolução na aplicação dos pilares para próteses unitárias (Figura 2) e sendo o que mais se aproximava de um preparo convencional de retentor protético. Ainda no final do século surgiu o pilar mult-unit, exclusivamente para próteses múltiplas, sendo utilizado até hoje por quase todas as empresas de Implantodontia e conhecidos pelos nomes de micro unit, mini abutment, mini pilar e mini cônico, entre outros (Figura 3). No entanto, gostaria de ressaltar uma evolução de pilar em particular: o pilar híbrido, que permite que o profissional possa fazer uma prótese parafusada, bem como uma prótese cimentada, e pode também optar por uma prótese unitária ou múltipla, desde que haja paralelismo para sua inserção e retirada, fazendo assim, uso tanto de pilares retos, como também de pilares angulados.


Esta novidade foi lançada pela Implacil De Bortoli no início de 2019 e vem revolucionando a Implantodontia. Este pilar recebeu o nome comercial de Pilar Ideale e foi desenvolvido para os implantes de conexão cônica (Cone Morse), conforme podemos ver na Figura 4.

A liberdade oferecida por esse pilar, no poder de decisão da escolha do tipo de prótese (parafusada/cimentada), trouxe mudanças significativas nos planejamentos cirúrgicos, principalmente na região de pré-maxila, onde a exigência estética é muito elevada e a necessidade de se fazer uma prótese parafusada normalmente é requisitada.
Este pilar é de fácil instalação e de fácil moldagem. A família do Pilar Ideale é composta por um análogo, um transferente de moldagem, um coping de provisório, um coping de fundição e um parafuso de fixação quando utilizamos o fluxo analógico. Isto é, quando executamos a moldagem convencional (Figura 5).

Esse pilar é apresentado em dois tamanhos de altura (4.0 e 6.0 mm) e dois diâmetros (3.3 e 4.5 mm), conforme Figura 6. E mais, podem ser retos ou angulados (17° e 30°), conforme Figura 7.


Quando retos, apresentam um transmucoso que vai de 0.8 até 5.5 mm (Figura 8), e quando angulado, o transmucoso pode ser de 1.5, 2.5 ou 3.5 mm (Figura 9) .


O caso clínico a seguir demonstra a fácil aplicabilidade deste pilar e sua sequência de execução na obtenção de uma prótese parafusada unitária na região do incisivo inferior.
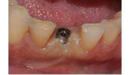
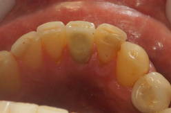
O paciente D.D.S., de 49 anos, me procurou no meu consultório indicado para a um tratamento de implante no elemento 41, devido a uma fratura ocorrida após o retratamento endodôntico (Figura 10).

Foram realizados todos os procedimentos pré-cirúrgicos, como anamnese, solicitação de exames e medicação pré-operatória e foi marcada a cirurgia para exodontia e instalação imediata de um implante.
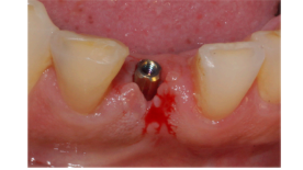
Foi instalado um implante Due Cone de 3.5 x 13.0 mm, que foi estabilizado a 45 Ncm, e uma prótese provisória adesiva, instalada para permanecer durante as 12 semanas de espera para o segundo tempo cirúrgico (Figuras 11 e 12).


Após os três meses, foi realizada a abertura do implante e foi instalado um cicatrizador, que permaneceu no local por dez minutos para manter os tecidos afastados.
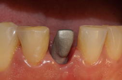
Após esse período, foi selecionado o pilar, e um Pilar Ideale reto de 3.3 X 4.0 X 1.5 mm foi instalado e torqueado a 20 Ncm (Figuras 13 e 14).


Um coping de titânio foi utilizado para a confecção do provisório que foi instalado logo em seguida e permaneceu no local por 15 dias, para formar o novo perfil de emergência do elemento 41 (Figura 15).

Após os 15 dias, o provisório foi removido, um novo perfil de emergência foi observado e o transferente de moldagem correspondente ao tamanho do pilar foi posicionado para a execução da moldagem (Figuras 16 e 17).


A moldagem foi realizada com silicone de condensação e após a polimerização do material, o molde foi retirado, arrastando consigo o transferente de moldagem (Figura 18).

O análogo foi inserido no transferente, o molde foi vazado com gesso pedra especial e no laboratório foi realizada a confecção do coping metálico (Figuras 19 e 20).


Após sete dias da moldagem, foi realizada a prova do coping em boca, para verificar a boa adaptação, fixação e a seleção da cor. Após isso, o provisório voltou a ser instalado (Figura 21).

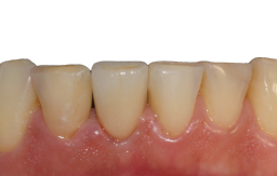
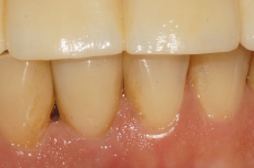
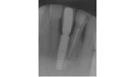
Na consulta seguinte, a coroa metalocerâmica foi instalada no elemento 41 e o orifício de acesso do parafuso foi restaurado com resina composta. Foi também realizada uma radiografia para posterior controle (Figuras 22, 23 e 24).



Após 12 meses, foi feita uma nova avaliação clínica e radiográfica, onde observou-se a boa manutenção dos tecidos peri-implantares (Figuras 25 e 26).






