Implante Maestro e pilar Ideale – uma dupla de sucesso

Matéria da semana 11-08-22 - Luiz Fernando M. André

Implante Maestro e pilar Ideale – uma dupla de sucesso

Um dos maiores desafios na Implantodontia é, sem dúvida alguma, a reabilitação dos dentes anteriores, principalmente os incisivos inferiores, por possuírem um diâmetro menor, na maioria das vezes, do que ao diâmetro do implante que será instalado.

Para podermos compreender essa afirmação, os incisivos inferiores possuem um diâmetro médio na região do colo de 3,0 a 3,5 mm, enquanto a maioria dos implantes utilizados possuem um diâmetro de 3,5 mm.

Outra dificuldade encontrada nessa região é a instalação imediata de implantes nesses alvéolos estreitos devido à proximidade das raízes dos dentes adjacentes. Essa característica sugere que ao selecionarmos os implantes, os mesmos tenham uma configuração cônica, facilitando assim a sua instalação.

Outro fator importante é a conexão protética. Nesta situação é condição sine qua non que a conexão protética seja Cone Morse, a qual tem como uma de suas principais características a emergência do pilar protético de dentro do implante, tendo assim um diâmetro no perfil de emergência desse pilar inferior ao diâmetro do implante instalado. Para elucidar melhor essa situação, podemos dar como exemplo o pilar Ideale, que para essas situações passa a ser uma excelente indicação, pois sua emergência é de dentro do implante e possui um diâmetro de 2,5 mm, que vai abrindo até 3,3 mm, sendo assim, inferior em seu diâmetro em relação ao implante de 3.5 mm instalado.

Para demonstrar essa situação, iremos descrever um caso clínico de implante imediato no incisivo central inferior, onde foi utilizado como implante de eleição o implante Maestro Cone Morse e, como componente protético, o pilar Ideale.

Caso Clínico
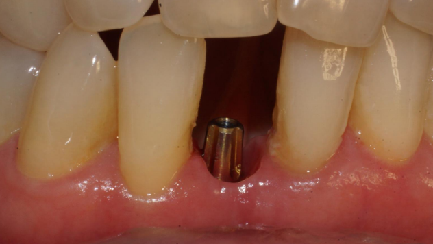
Paciente do sexo feminino, 65 anos, compareceu na clínica com o elemento 41fraturado. Porém, o fragmento estava estabilizado com resina acrílica, unindo-o aos dentes adjacentes. Foi solicitado o exame tomográfico e a anamnese foi realizada. Ao examinarmos a tomografia, optou-se pela exodontia e as instalações imediatas do implante Maestro de 3.5 X 11 mm e de uma prótese adesiva para aguardar o período necessário para o carregamento do implante. A terapêutica medicamentosa utilizada foi a administração de antibiótico por sete dias, acompanhado do uso de anti-inflamatório durante três dias após o procedimento cirúrgico.

O fragmento coronário e a raiz residual foram removidos e após a curetagem do alvéolo iniciou-se a fresagem do mesmo, seguindo o protocolo de instalação do implante Maestro para o mesmo ser ativado de forma precoce (35 dias após a instalação). Utilizamos a fresa lança helicoidal e na sequência foi utilizada a fresa cônica de 3.5, ambas as fresas com rotação de 600 RPM. Após a fresagem, o implante Maestro de 3.5 X 11.0 mm foi inserido no alvéolo, atingindo um torque de instalação de 25 Ncm, seguindo assim o protocolo de instalação do implante Maestro para carga precoce. Na sequência, foi realizada a sutura e a prótese adesiva foi instalada.

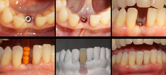
Após 35 dias da instalação do implante foi realizada a abertura do implante através de um bisturi circular e o pilar Ideale reto de 3.3 X 4.0 X 2.5 mm foi torqueado no implante a 20 Ncm. Foi realizada também uma moldagem deste pilar com o seu transferente correspondente e a prótese adesiva voltou a ser instalada. Depois de uma semana, o provisório parafusado confeccionado no laboratório foi instalado e mantido em posição durante 15 dias para formar um novo perfil de emergência, aproximando as características dos tecidos circundantes às características de um incisivo central inferior. Neste momento, foi realizada uma nova moldagem da região e uma coroa metalocerâmica foi confeccionada e instalada após uma semana. Foi também realizada a radiografia.

O resultado clínico alcançado com sucesso foi fruto das escolhas corretas durante o planejamento cirúrgico/protético e somente apresentou essas características clinicas de naturalidade por ser uma conexão Cone Morse e por ter um pilar protético mais estreito do que o diâmetro do implante.