RESUMO
Reabilitações orais por meio de próteses aparafusadas sobre implante são procedimentos em constante evolução, os implantes, os componentes protéticos e a maneira de confecção estão a cada ano em um novo patamar. A introdução e evolução da tecnologia CAD/CAM nos permite trabalhar de diferentes maneiras mantendo os conceitos de clássicos de reabilitação oral.
Este relato de caso tem como objetivo apresentar a transformação do sorriso por intermédio da união entre a maneira analógica e a digital de trabalho para a realização de próteses do tipo protocolo.
Foram realizadas exodontias, adequação de rebordo ósseo, implantes ósseo integrados e próteses aparafusadas na maxila e na mandíbula da paciente para restabelecer a oclusão e a estética da paciente.
A inclusão de ferramentas tecnológicas nos permite trabalhar de novas maneiras, incluindo possibilidades de provar em materiais provisórios antes da confecção do definitivo de maneira mais ágil, diminuindo assim o tempo e possíveis falhas durante o tratamento e aumentando a previsibilidade.
INTRODUÇÃO
O tratamento com prótese fixas implanto suportada é amplamente utilizado para pacientes desdentados totais e parciais beneficiando os pacientes com vantagens funcionais e biológicas quando comparado ao tratamento com próteses totais convencionais e próteses parciais removíveis, além de apresentar excelente resultado a longo prazo, com sobrevida de 95% no período de 10 anos. [1-4] Os objetivos primários da reabilitação com implante são: alcançar resultados de tratamento bem-sucedidos do ponto de vista funcional, estético e fonético, com alta previsibilidade e boa estabilidade a longo prazo; além de, ter baixo risco de complicações durante a cicatrização e após o tratamento. Os objetivos secundários do tratamento com implantes incluem o menor número possível de intervenções cirúrgicas, baixa dor e morbidade durante a cicatrização, curtos períodos de cicatrização e curto tempo total de tratamento. [5]
Ao longo das décadas os aspectos estéticos das próteses implanto suportadas também foi se desenvolvendo e alcançando altos níveis de naturalidade e beleza, com a evolução dos componentes e com a melhor compreensão do posicionamento tridimensional do implante. [1, 6]
O sucesso deste tipo de tratamento em diretamente relacionado com o sucesso de cada etapa do mesmo, falhas nas etapas clínicas, como de moldagem ou escaneamento, ou na confecção laboratorial podem gerar desajustes entre a barra e o componente protético [7]. Esta falha na adaptação / passividade da prótese pode gerar altos níveis de estresse na interface osso-implante [8], podendo comprometer a ósseo integração. [9]
Para melhorar o assentamento desse tipo de prótese, e reduzir as tensões transmitidas pelo sistema diversas tecnologias foram sendo aprimoradas e desenvolvidas ao longo dos anos, incluindo a utilização do sistema CAD/CAM nos tratamentos com implantes. [10] E estruturas fabricadas com esses sistemas demonstram melhor ajuste e passividade do que aquelas feitas por peças fundidas convencionais. [11] Outras vantagens do CAD-CAM são sua previsibilidade e consistência. [12, 13] Embora a tecnologia CAD-CAM elimine várias etapas, ela introduz outras, como digitalização, design de software e usinagem. [14] Este relato de caso clínico tem como objetivo apresentar um caso onde foram extraídos elementos dentários, realizada redução dos rebordos maxilares, instalação de implantes na maxila e na mandíbula na mesma sessão assim como a instalação de próteses totais provisórias. Após o período de osteointegração foram realizadas duas próteses fixas sobre implantes, utilizando em parte do processo a tecnologia CAD/CAM.
RELATO DE CASO CLÍNICO
Paciente MLLN, 54 anos, buscou a clinica Instituto Guy Puglisi com a principal queixa de insatisfação estética com o sorriso e mobilidade em alguns dentes, com alta expectativa estética. Após exame clínico extra e intra oral, protocolo fotográfico e radiográfico, tomografia computadorizada, a paciente apresentava sorriso assimétrico do ponto de vista extra oral muscular como do ponto de vista ósseo da maxila, próteses fixas sobre dentes com desadaptações, diferentes formatos e cores e ausência de alguns elementos, uma prótese fixa superior do lado esquerdo (23 ao 26) com grande mobilidade resultante do comprometimento periodontal dos pilares, frente ao enceramento diagnóstico o plano de tratamento principal apresentado para a paciente foi de próteses do tipo protocolo sobre implante superior e inferior. Com redução de rebordo superior e instalação dos implantes imediatamente após as exodontias. (fig 1. a 4)




Previamente a realização da cirurgia foram confeccionadas próteses totais (superior e inferior), as quais a paciente utilizou durante o período pós cirúrgico. (fig. 5). Em um único ato cirúrgico, foram realizadas as exodontias, a redução de rebordo e a instalação dos implantes superiores e inferiores. Na mesma consulta, as próteses provisórias foram instaladas (fig. 6).


Após o período de 6 meses, a paciente retornou para a reabertura dos implantes, e confecção das próteses fixas. Após a reabertura e instalação com componentes intermediários (mini cônicos, Implacil De Bortoli), os componentes foram moldados com o auxilio de transferentes e essa moldagem foi escaneada para o desenho e usinagem da barra, e vertido o gesso para a posterior aplicação de cerâmica. Previamente a usinagem da barra metálica, uma barra de prova em resina, foi usinada para a conferência da adaptação e passividade dos parafusos. (fig 7 e 8 .)


Após a aprovação do posicionamento da barra de prova, a infra-estrutura metálica para metalocerâmica foi desenhada no software e usinada. (fig 9 e 10)


Após a prova da barra usinada, a etapa de estratificação da cerâmica feldspática foi realizada. (Fig 11)

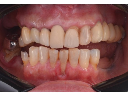
Assim as próteses fixas foram para a cavidade oral para o ajuste oclusal, oclusão mutuamente protegida, e instalação. (Fig 12 e 13)


CONCLUSÃO
Os tratamentos com próteses fixas sobre implantes já estão consagrados na literatura e na prática odontológica, porém novas ferramentas de trabalho estão cada vez mais presentes nestes tratamentos, como a tecnologia CAD/CAM. Com a evolução desta em conjunto com os conceitos tradicionais de reabilitação é possível aumentar a previsibilidade do resultado final e a longevidade do tratamento.
REFERÊNCIAS
- Buser D, Janner SF, Wittneben JG, Bragger U, Ramseier CA, Salvi GE. 10-year survival and success rates of 511 titanium implants with a sandblasted and acid-etched sur- face: a retrospective study in 303 partially edentulous patients. Clin Implant Dent Relat Res 2012: 14: 839–851.
- Degidi M, Nardi D, Piattelli A. 10-year follow-up of immediately loaded implants with TiUnite porous anodized sur- face. Clin Implant Dent Relat Res 2012: 14: 828–838.
- Fischer K, Stenberg T. Prospective 10-year cohort study based on a randomized controlled trial (RCT) on implant- supported full-arch maxillary prostheses. Part 1: sand- blasted and acid-etched implants and mucosal tissue. Clin Implant Dent Relat Res 2012: 14: 808–815.
- Gotfredsen K. A 10-year prospective study of single tooth implants placed in the anterior maxilla. Clin Implant Dent Relat Res 2012: 14: 80–87.
- De Bruyn H, Raes S, Matthys C, Cosyn J. The current use of patient-centered/reported outcomes in implant den- tistry: a systematic review. Clin Oral Implants Res 2015: 26 (Suppl 11): 45–56.
- Grunder U, Gracis S, Capelli M. Influence of the 3-D bonet implant relationship on esthetics. Int J Periodontics Restorative Dent 2005: 25: 113–119
- Manzella C, Burello V, Bignardi C, Carossa S, Schierano G. A method to
- improve passive fit of frameworks on implant-supported prostheses: an in vivo study. Int J Prosthodont 2013;26:577-9.
- Jemt T. Failures and complications in 391 consecutively inserted fixed prostheses supported by Brånemark implants in edentulous jaws: a study of treatment from the time of prosthesis placement to the first annual checkup. Int J Oral Maxillofac Implants 1991;6:270-6.
- Abduo J. Fit of CAD/CAM implant frameworks: a comprehensive review. J Oral Implantol 2014;40:758-66.
- Karl M, Holst S. Strain development of screw-retained implant-supported fixed restorations: procera implant bridge versus conventionally cast restorations. Int J Prosthodont 2012;25:166-9.
- Abduo J. Fit of CAD/CAM implant frameworks: a comprehensive review. J Oral Implantol 2014;40:758-66.
- Kapos T, Ashy LM, Gallucci GO, Weber HP, Wismeijer D. Computer-aided design and computer-assisted manufacturing in prosthetic implant dentistry. Int J Oral Maxillofac Implants 2009;24:110-7.
- Hjalmarsson L, Örtorp A, Smedberg JI, Jemt T. Precision of fit to implants: a comparison of Cresco and Procera implant bridge frameworks. Clin Implant Dent Relat Res 2010;12:271-80.
Débora Elias Calabro
Especialista em Prótese Dentária – São Leopoldo Mandic
Mestre e Doutoranda em Clínicas Odontológicas – Área Prótese Dentária – Universidade Paulista – UNIP
Coordenadora Especialização Estética Dental – Uniavan
Rafael Puglisi
Cirurgião Dentista
Professor Especialização Estética Dental Uniavan
Alfredo Mikail Melo Mesquita
Professor Titular de Prótese Dentária – UNIP
Professor do Programa de Mestrado e Doutorado- UNIP
Coordenador da Especialização em Prótese e Implante – São Leopoldo Mandic




