O objetivo deste relato de caso é demonstrar a importância da provisionalização e o manejo do tecido periimplantar com intuito de ganho estético/funcional de uma coroa sobre implante em um incisivo central superior 21 (Clavijo, 2015).
Paciente JCS, sexo feminino, 19 anos foi encaminhada para reabilitação implanto suportada na região do dente 21, a mesma já apresentava implante na região, porém após avaliação tomográfica foi avaliado que o implante presente não possuía osso remanescente ao seu redor e consequentemente estava fibrointegrado. Fig.1

Foi estabelecido tratamento regenerativo prévio (Urban, 2013) (Fig.2/3) com membrana de PTFE-d (Cytoplast TXT250 Vestibular 17mm x 25mm) e posterior instalação de implante do tipo cone morse (Due Cone – Implacil De Bortoli) e tapa implante (Max Cover – 2mm), obedecendo todos os critérios de filosofia de tratamento para tal (Nentwig, 1987). Fig.4A/B

Fig. 2 
Fig. 3 
Fig. 4A 
Fig. 4B
Após 6 meses de regeneração óssea guiada e mais 2 meses de processo de osseointegração tardia do implante, iniciamos a fase de reabertura e manejo do tecido com uma diferente abordagem de técnica de retalho (de Sanctis, 2014) com enxerto de tecido conjuntivo subepitelial (ETCS) removido da porção palatina da região do dente 21 onde havia um volume sobressalente proveniente da ROG, o mesmo foi estabilizado através de um cicatrizador com cinta de 3 mm e sutura colchoeiro horizontal. O manejo do tecido modifica o fenótipo gengival, proporciona estabilidade, reduz a recessão da margem periimplantar, proporciona um melhor contorno da crista alveolar e aumenta a espessura dos tecidos moles (Frizzera, 2018). Fig.5

Em 15 dias após o manejo, removemos a sutura e aguardamos 25 dias para o início da fase de provisionalização que é a etapa de condicionamento do perfil gengival, que promove a estabilidade e os contornos dos tecidos para uma futura coroa definitiva (Furze, 2019).
Utilizamos inicialmente um pilar de titânio anti-rotacional (AR) provisório para a captura do dente que estava na contenção estética removível. Assim, delimitamos todos os contornos e subcontornos das áreas críticas e subcríticas favorecendo a migração coronal da gengiva, resultando em uma melhor condição estética na posição da margem cervical do tecido mole (Frizzera, 2018). Fig.6A/B/C

Ao instalar o provisório, ainda pudemos melhorar a arquitetura do tecido em relação aos tecidos adjacentes utilizando um método clínico que é a técnica de compressão dinâmica, o objetivo desta técnica é estabelecer um perfil de emergência adequado, nivelar o contorno da margem gengival, zênite, largura da papila e a forma triangular do perfil e estabelecer um ponto de contato (Wittneben, 2013). Fig.7A/B/C

Criado essa zona de transferência (implate/perfil), selecionamos o abutment Ideale, mensurando a altura da cinta através do Túnel Check, onde na margem gengival marcava 4,5 foi subtraído 2mm para escolhermos uma cinta de 2,5mm, altura do munhão 4mm em relação ao espaço interoclusal e diâmetro de 3,3ø para dar a dimensão exata para acomodar todo tecido adjacente (Kan, 2003). Fig.8A/B

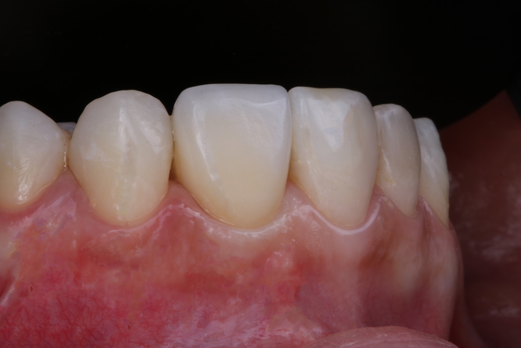
Sendo assim, instalado o componente definitivo (Ideale), o provisório foi adaptado sobre uma coifa de titânio e aparafusado na posição obedecendo todos os conceitos já citados. Para a confecção do dente definitivo, o provisório acoplado a um análogo, foi imerso em um silicone dentro de um pote dappen, adaptado o transferente, e acrescentado resina acrílica (Pattern Resin®) no perfil para copiar e transferir a posição do implante e os contornos da coroa em uma moldagem de moldeira fechada (Cardoso, 2005). Fig.9A/B/C

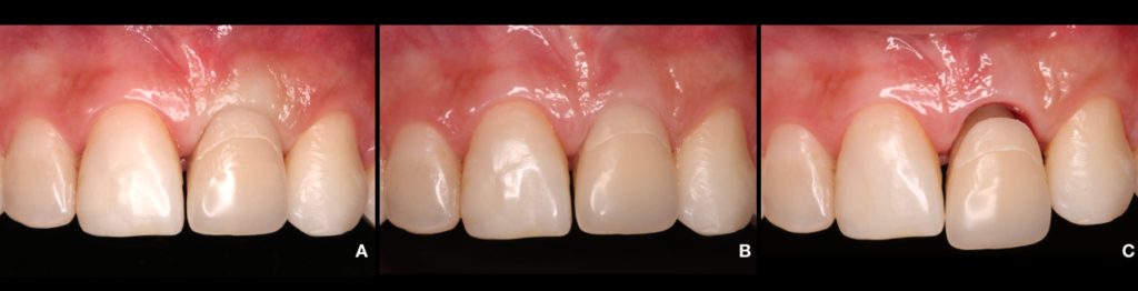
Contudo, após finalizado a coroa e baseado nas evidências clínicas e científicas, concluo que devemos obedecer a sequência correta do tratamento proposto, saber identificar a qualidade do tecido mole, indicar pilares que favoreçam a migração e acomodação do tecido e respeitar os limites de cada caso. Fig.10A/B/C


Ronaldo G. Fabiano – Especialista em Implantodontia; Mestre em Implantodontia; Doutorando em Implantodontia (UNG)




