Acredito que uma das reabilitações que mais satisfazem os implantodontistas são os protocolos. Especialmente naqueles casos em que o paciente já é um desdentado total e não possui seus elementos dentais há muitos anos, usando uma dentadura removível, que é bastante constrangedora. Reabilitar uma arcada total, devolvendo ao paciente a sua capacidade de mastigar novamente com firmeza em um aparelho fixo, realmente nos deixa bastante realizados com o nosso trabalho. E os pacientes? Eles também ficam satisfeitos da mesma maneira que nós?
Sabemos que muitos dos casos nos quais realizamos os nossos protocolos ainda possuem alguns dentes que deverão ser extraídos para possibilitarem o tratamento tipo protocolo. Quem faz implantes, especialmente a parte protética, sabe muito bem que vários pacientes se sentem, de certa forma, decepcionados quando instalamos um protocolo em suas bocas. Em especial aqueles que ainda tinham alguns dentes que foram extraídos para possibilitar a colocação de implantes – segundo a nossa justificativa – em locais que tinham melhor qualidade óssea. Uma das frases que mais escutamos dos nossos pacientes é: “ficou lindo, doutor, mas não dá pra passar o fio dental entre os dentes. Eu gostava mais da sensação de ter os dentes separados”.
Objetivando discutir melhor esta técnica, sob a visão do paciente, apresento hoje um caso bastante interessante, no qual eu vivi exatamente este dilema da instalação de um protocolo em uma paciente que ainda possuía remanescentes dentais. As Figuras 1 a 7 ilustram o caso.
Após a conclusão do tratamento, esta paciente ficou bastante satisfeita com o resultado estético do protocolo superior. Entretanto, queixava-se frequentemente de ter todos os seus dentes unidos no arco superior, relatando que estava mais confortável com os seus dentes inferiores, pois a sensação era de que eles eram realmente seus, enquanto no arco superior, ela sentia como algo “estranho” em sua boca.
Após dois anos de acompanhamento, a doença periodontal que a paciente tinha evoluiu e condenou mais alguns dos seus dentes inferiores. Na verdade, a opção pela exodontia de todos os elementos inferiores e a confecção de um protocolo inferior seria interessante. Entretanto, baseados nas respostas que a paciente teve ao tratamento superior, modificamos o planejamento do arco inferior. As Figuras 3 a 7 demonstram o resultado final.
Reabilitar pacientes parcialmente desdentados, ou que tenham a maioria dos seus dentes condenados, continua sendo um desafio para o implantodontista. Estes casos exigem uma reflexão maior e planejamentos que fujam do trivial, objetivando manter os dentes naturais, restabelecendo uma situação que seja o mais próxima possível da situação original dos pacientes, quando estes tinham seus dentes naturais sadios.
A opção pela mutilação bucal, extraindo todos os dentes – inclusive dentes sadios – para a colocação de próteses protocolo, vem sendo aceita pela maioria da classe odontológica. Embora eu já tenha realizado inúmeros casos desta forma, particularmente, considero que este tipo de conduta é um erro gigantesco que estamos cometendo e pelo qual seremos cobrados pelas gerações futuras, da mesma forma que cobramos os colegas do passado que extraíam dentes baseados na teoria da infecção focal para colocar dentaduras. É preciso coragem para mudar!

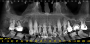
Figura 1 – Corte panorâmico de tomografia volumétrica do cone-bean. Observar o comprometimento de praticamente todos os elementos dentais superiores, devido à doença periodontal importante. Apenas os dentes 14, 13 e 23 poderiam ser mantidos.

Figura 2 – Prótese protocolo superior fixa em seis implantes tipo hexágono externo (Implaci De Bortoli, São Paulo/Brasil) e manutenção dos dentes remanescentes inferiores. Os dentes 14, 13 e 23 foram extraídos, apesar da boa condição, para viabilizarem a colocação dos implantes superiores no planejamento para uma prótese fixa tipo protocolo.

Figura 3 – Corte panorâmico de tomografia volumétrica do cone-bean. Observar o comprometimento da maioria dos elementos dentais inferiores.

Figura 4 – Controle de um ano através de radiografia panorâmica da reabilitação inferior com implantes Cone-Morse Due Cone (Implaci De Bortoli, São Paulo/Brasil) e coroas unitárias, mantendo os remanescentes dentais do 33 ao 43 também como elementos unitários individualizados.

Figura 5 – Radiografias periapicais de controle de um ano após a instalação dos implantes. Observar a excelente adaptação intraóssea dos implantes cone-morse.

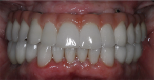
Figura 6 – Aspecto intraoral em oclusão da reabilitação final dos arcos superior e inferior em cerâmica. Próteses confeccionadas pela Dra. Joraci Teixeira.

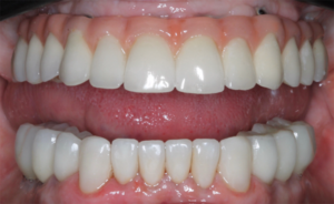
Figura 7 – Aspecto final da reabilitação dos arcos superior e inferior em cerâmica. Próteses confeccionadas pela Dra. Joraci Teixeira.




