Manutenção dos implantes em longo prazo

Manutenção dos implantes em longo prazo

Para o profissional que atua na área da implantodontia, a manutenção dos implantes em longo prazo é um dos principais objetivos do tratamento, talvez até o principal . Além disso, a manutenção clínica e radiográfica é a única maneira para o profissional avaliar a condição atual do tecido ósseo ao redor dos implantes em função. Por isso a realização de radiografias periapicais e panorâmicas torna-se imprescindível para a correta avaliação da condição óssea peri-implantar. Outra documentação de extrema importância, muitas vezes esquecida pelo cirurgião-dentista, é a radiografia obtida no momento da instalação do implante ou momentos antes do início da etapa protética (baseline). Com este documento em mãos é possível afirmar, avaliar e comparar com mais clareza as informações obtidas no dia da consulta de manutenção. Isso porque, com o conhecimento exato da posição do terço cervical do implante antes da instalação da prótese, o diagnóstico de doença peri-implantar (mucosite ou peri-implantite) tornar-se-á mais preciso. O caso abaixo mostra a sequência clínica de uma consulta de manutenção de implantes do tipo hexágono interno colocados em função há 8 anos.

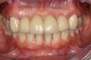
Imagem do artigo

Figura 1. Vista clínica do sorriso intra-oral do paciente durante a consulta de manutenção dos implantes. (8 anos em função)

Imagem do artigo

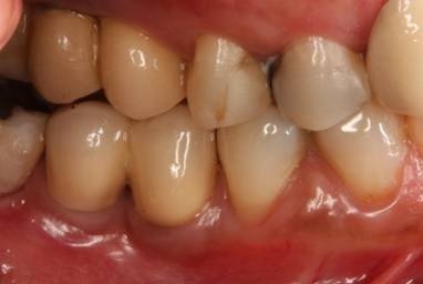
Figura 2. Vista clínica dos implantes, há 8 anos em função, instalados no lado direito do paciente (16/17 e  46/47). Observar a condição saudável do tecido mole adjacente aos implantes e da existência de espaço para higienização da prótese entre os implantes inferiores.

Imagem do artigo

Figura 3. Vista clínica do implante, há 8 anos em função, instalado no lado esquerdo do paciente (36). Observar a condição saudável do tecido mole adjacente ao implante.

Imagem do artigo

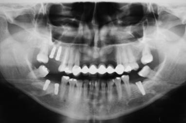
Figura 4. Radiografia panorâmica dos implantes antes do início da etapa protética – baseline.  Este exame é ideal para observar o posicionamento da plataforma do implante com relação à crista óssea distal e mesial. Observar ainda o correto posicionamento dos implantes HI (nível ósseo).

Imagem do artigo

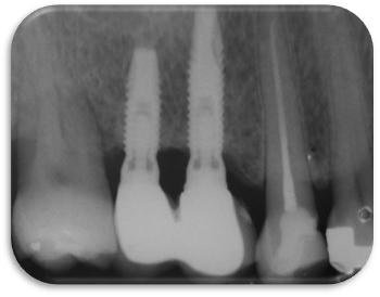
Figura 5. Radiografia periapical dos implantes instalados na região do 16 e 17 após 8 anos em função. Importante observar que a perda óssea peri-implantar limita-se à porção usinada dos implantes e que esta perda é provavelmente devido à readaptação das distâncias biológicas.

Imagem do artigo

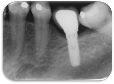
Figura 6. Radiografia periapical do implante instalado na região do 36 após 8 anos em função. Importante observar que a perda óssea peri-implantar limita-se à porção usinada dos implantes e que esta perda é provavelmente devido à readaptação das distâncias biológicas.

Imagem do artigo

Figura 7. Radiografia periapical dos implantes instalados na região do 46 e 47 após 8 anos em função. Importante observar que a perda óssea peri-implantar limita-se à porção usinada dos implantes e que esta perda é provavelmente devido à readaptação das distâncias biológicas.