Lançamentos versus técnicas consagradas
Marco Bianchini fala sobre a importância de avaliar criticamente os lançamentos apresentados pelo mercado diante das técnicas consagradas que ele já domina
As novidades em um primeiro momento são sempre encantadoras. Geralmente, quando estamos em algum congresso e nos deparamos com alguma inovação ou novidade técnica, sentimos uma atração especial e um desejo quase incontrolável de adquiri-la.
Dentista em congresso é assim mesmo, acaba comprando muita coisa que nunca usa. Quem nunca comprou um produto em um evento e acabou nunca usando, ou usando pouquíssimas vezes? Ainda assim, em muitas situações, estas novidades nos deixam bastante tentados a mudar o produto que estamos utilizando pelo novo que se apresenta no mercado. Acabamos jogando fora todo o sucesso de muitos anos por uma empolgação de momento, exatamente como vinha acontecendo com esta onda do futebol espanhol nos últimos anos. Parece que tudo o que foi feito no mundo da bola não tinha mais valor, apenas o toque de bola ibérico, conhecido como “tic-tac”. Felizmente, nós vimos que trocar anos de sucesso por novidades traiçoeiras pode não ser o melhor caminho.
No mundo maravilhoso da Implantodontia acontece a mesma coisa. Existem técnicas e materiais consagrados com comprovação científica de décadas. Mas, nós, dentistas, seduzidos pelo novo e moderno, muitas vezes nos deixamos levar e trocamos o certo pelo duvidoso. Não esperamos a devida comprovação de resultados em longo prazo e nos adiantamos no processo da ciência, levando os nossos clientes a utilizar materiais e procedimentos que deveriam ter mais estudos e pesquisas científicas. Desta forma, quando os insucessos aparecem, nós acabamos por abandonar produtos que poderiam ser promissores, mas que foram colocados no mercado apressadamente.
Generalizando bem, o maior problema que enfrentamos para colocação de implantes é a ausência de tecido ósseo. Osso fino, osso baixo, osso pobre, osso poroso etc. Várias são as denominações para classificarmos uma área com osso insuficiente. Para corrigir este problema, temos os enxertos ósseos e os mais diferentes desenhos e tratamentos de superfície de implantes. Com essas alternativas, conseguimos equilibrar o jogo e transformar um caso desfavorável em extremamente favorável. Sendo assim, se fizermos o raciocínio inverso, quando temos uma boa quantidade e qualidade óssea, podemos colocar qualquer tipo de implante que vai osseointegrar. Simplista demais? Talvez, mas se aplica em alguns casos e nos faz pensar que, talvez seja melhor investir no ganho ósseo, através dos enxertos, ao invés de arriscar nos mais variados tipos de implantes (finos, curtos, tratados etc.) que vêm surgindo no mercado ultimamente, sendo que alguns deles necessitam de uma maior comprovação científica em longo prazo.
Abaixo, trago pra vocês um caso clínico isolado que faz parte de uma pesquisa que estamos desenvolvendo na USP-Fundecto, onde implantes tradicionais sem grandes alterações de desenho e superfície, colocados há mais de cinco anos, vêm sendo avaliados clínica e radiograficamente. Os resultados iniciais têm sido promissores, mostrando altos índices de sucesso com resoluções protético-cirúrgicas bastante simples.
Este caso resume bem o conteúdo do texto desta semana. Quando temos situações favoráveis e utilizamos implantes e técnicas consagradas, a possibilidade de sucesso em longo prazo é muito grande, principalmente porque estamos replicando aquilo que já foi exaustivamente comprovado na literatura científica.
As inovações são sempre bem-vindas, desde que sejam comprovadas e que nós, dentistas, não estejamos sendo utilizados como corpos de prova para validação de produtos. Assim como no futebol, não se pode desprezar aquilo que vem dando certo há muito tempo. Jogar fora anos de pesquisa e resultados clínicos é a mesma coisa que desprezar um futebol pentacampeão do mundo, que encanta o planeta há mais de 50 anos, por uma escola que se baseou no nosso modo de jogar, porém com uma robotização que impede a improvisação e criatividade de gênios como o Neymar.

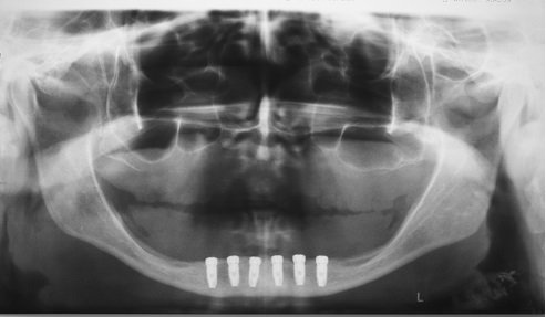
Figura 1 – Radiografia panorâmica imediatamente após a colocação dos implantes. Observar a boa disponibilidade óssea e a excelente disposição dos implantes

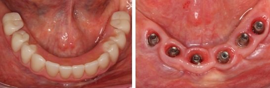
Figuras 2 e 3 – Controle após dez anos da colocação de implantes. Observar a prótese protocolo em posição e o aspecto clínico após sua remoção. Observar a boa condição dos tecidos moles peri-implantares.

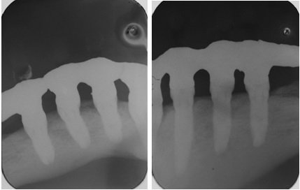
Figuras 4 e 5 – Controle radiográfico periapical após dez anos da colocação de implantes. Observar o bom contorno ósseo peri-implantar




