Jamil Shibli descreve uma técnica para tratar deficiências verticais severas na maxila atrófica anterior usando PTFE-d e enxerto ósseo particulado heterógeno.
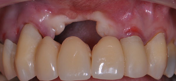
O defeito vertical severo do rebordo maxilar anterior representa um dos cenários clínicos mais desafiadores da regeneração óssea. Portanto, para obter resultados satisfatórios, é necessária uma abordagem precisa, por meio da combinação de aumento ósseo vertical e manipulação de tecidos moles. Aqui, será descrita uma técnica para tratar deficiências verticais severas na maxila atrófica anterior (Figuras 1) usando membrana de politetrafluoroetileno denso (PTFE-d) e enxerto ósseo particulado heterógeno. A manipulação do tecido mole deverá ser utilizada para superar as desvantagens do aumento vertical do osso (por exemplo, perda da profundidade vestibular e mucosa queratinizada).


O aumento vertical do rebordo alveolar continua sendo um dos procedimentos clínicos mais difíceis e complicados atualmente. Ao lidar com a deficiência do rebordo vertical, a opção de tratamento regenerativo será baseada na extensão do defeito. Embora para atrofia vertical leve (≤ 3 mm) possam ser propostas abordagens mais conservadoras, para defeitos médios (4 mm a 6 mm) ou grandes (> 7 mm) a regeneração óssea guiada (ROG) pode ser mais indicada. Para alcançar sucesso no aumento ósseo, deve-se usar os princípios de fechamento primário da ferida, angiogênese, estabilidade do coágulo e manutenção do espaço. Assim, ao realizar o aumento vertical do rebordo, são essenciais a criação e a manutenção do espaço. As membranas de PTFE-d reforçadas com titânio preenchem os critérios acima mencionados e são sugeridas para grandes aumentos verticais do rebordo.
Entretanto, é de suma importância a correta e precisa abordagem cirúrgica, no que tange à incisão do rebordo alveolar. Nesse procedimento, foi realizada uma incisão “invertida”, que seria uma modificação da técnica de Kazanjian1. Uma incisão labial foi realizada perto do limite do vermelhão do lábio (Figuras 2 e 3), produzindo um retalho de base palatina, o que é indicado sempre que há necessidade de aumento substancial na altura do rebordo maxilar anterior (Figuras 4 e 5).




O fechamento do retalho durante o aumento ósseo vertical é de grande importância. A chave para alcançar o fechamento do retalho não é apenas a capacidade do clínico de obter um retalho de liberação sem tensão, mas também uma boa qualidade e quantidade de tecido mole. Na tentativa de alcançar o fechamento do retalho e, consequentemente, a estabilidade do enxerto, a mucosa vestibular é, em geral, liberada amplamente, o que pode resultar em translocação coronal severa da linha mucogengival e perda do vestíbulo e da mucosa queratinizada. Quando o vestíbulo se torna superficial, muitas vezes, leva a um desafio estético, bem como a um problema fonético. Além disso, muitos estudos mostraram que áreas com pouca mucosa ceratinizada frequentemente apresentam maior acúmulo de placa peri-implantar, inflamação e perda de inserção.
Foi utilizada uma membrana de politetrafl uoretileno denso (PTFE-d) reforçada com titânio (Cytoplast Ti250PS 20 mm x 25 mm, Osteogenics Biomedical) e osso heterógeno bovino (Lumina Porous, Critéria Biomateriais). O desenho do retalho invertido de base palatina (descrito anteriormente) foi escolhido para garantir fechamento após o procedimento de enxerto ósseo, apesar da dimensão aumentada da crista. Após o acesso ósseo, a membrana foi fixada com parafusos na região palatina (Figura 6) e o leito receptor foi preparado com penetrações múltiplas na cortical, usando uma pequena fresa (Figura 7).


O enxerto ósseo heterógeno foi acomodado no leito receptor e coberto com a membrana Cytoplast reforçada com titânio (Figura 8), que foi estabilizada com parafusos de fixação (Kit GBR, NeoBiotech), Figura 9.


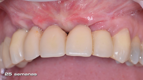
Uma vez que a membrana foi completamente fixada, o retalho foi mobilizado para permitir o fechamento primário livre de tensão. O retalho foi suturado em duas camadas: primeiro, as suturas horizontais em colchoeiro e, depois, as suturas simples para fechar as bordas do retalho (Figura 10). As suturas simples foram removidas 14 dias após a cirurgia e as suturas em colchoeiro horizontais foram removidas três semanas mais tarde. A membrana foi então removida após 25 semanas de cicatrização usando um retalho crestal de espessura total (Figuras 11 a 14).





Combinando o aumento vertical do rebordo com a incisão “invertida” observa-se maior previsibilidade nas regenerações ósseas guiadas. No entanto, normalmente ocorre a translocação coronal severa da linha mucogengival e a perda do vestíbulo e mucosa ceratinizada, que precisam ser resolvidos com um novo procedimento cirúrgico de aprofundamento de vestíbulo e ganho de mucosa ceratinizada. Portanto, no próximo caso de regeneração, por que não tentar o retalho invertido? Até a próxima.
REFERÊNCIA
1. Ponzoni D, Jardim EC, de Carvalho PS. Vestibuloplasty by modified Kazanjian technique in treatment with dental implants. J Craniofac Surg 2013;24(4):1373-5.




