Marco Bianchini relembra as dificuldades do uso das membranas no passado e destaca as vantagens do PTFE denso.
As membranas estão de volta. Não que elas tenham desaparecido totalmente, mas, durante um tempo, a ROG (regeneração óssea guiada) feita com membranas reforçadas com titânio andou meio esquecida e foi substituída por outras técnicas. Muito disso se deve ao desaparecimento destas membranas, feitas em sua maioria por uma única empresa – a norte-americana Gore-Tex – que parou de fabricá-las. Recentemente, o mercado brasileiro voltou a comercializar membranas reforçadas com titânio, além de outros modelos que permitem até mesmo que estas membranas fiquem expostas ao meio bucal, sem comprometimento dos resultados finais.
A aplicação de barreira em forma de membrana em defeitos ósseos atua através da osteopromoção. Isto é, além de manter a concentração dos fatores estimulantes da osteogênese, protege fisicamente a área do defeito contra a invasão por tecidos moles circundantes altamente proliferantes. Na teoria, esta técnica seria perfeita. Entretanto, na prática, o clínico sempre sofria com as dificuldades inerentes à manipulação do material, além das exposições precoces das membranas, que contaminavam toda a área e destruíam por completo o osso alveolar remanescente que deveria ser preservado. Nos anos 1990, usar membranas e alcançar bons resultados era privilégio de poucos habilidosos e iluminados, e exigia muito treinamento.
A dificuldade em conseguir o fechamento total do sítio cirúrgico poderia ocasionar a exposição da membrana, o que aumentava os riscos de infecções e abcessos no local com perda parcial ou total dos enxertos. Caso ocorresse a exposição, deveria ser feito o exame do local da membrana semanalmente, com uma cuidadosa curetagem na região. Adotava-se, então, um regime antimicrobiano para o paciente. Se não houvesse sinal de exsudato, a membrana deveria permanecer no local por oito semanas a partir de sua colocação. O local deveria ser irrigado com clorexidina a 0,12% e observado. Em situações de maiores comprometimentos, a membrana deveria ser removida precocemente.
Atualmente, novos tipos de membranas vêm sendo utilizados. São os chamados PTFE-densos (politetrafluoretileno expandido denso). Estas novas configurações invertem o que aprendemos sobre as membranas, pois a parte lisa – que no passado era colocada para fora, em contato com a gengiva – agora é colocada para dentro, em contato com o osso. Já a parte porosa, que antes era colocada em contato com o material de enxertia óssea, agora é colocada para fora, em contato com os tecidos moles. Acompanhe o caso clínico gentilmente cedido pelos professores Ulisses Dayube e Thayane Furtado.

Figuras 1 e 2 – Após exodontia atraumática para preservação alveolar, um biomaterial foi inserido no alvéolo e uma membrana PTFE foi adaptada no mesmo. Observar a parte rugosa voltada para os tecidos moles.

Figura 3 – Sutura cruzada para estabilizar a membrana. Observar que a membrana deve se estender 3-5 mm para além das paredes do alvéolo e, em seguida, inserir-se subperiostealmente sob o retalho vestibular e palatino, e por baixo da papila.

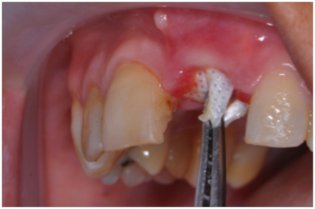
Figura 4 – A membrana é removida, não cirurgicamente, entre 21 e 28 dias. Com alvéolos intactos, a membrana pode ser removida antes de três semanas.

Figura 5 – Imediatamente após a remoção da membrana, uma matriz óssea altamente vascular densa é observada no preenchimento do alvéolo.
O PTFE denso foi projetado para suportar a exposição no ambiente oral. Isso representa uma melhoria para versões anteriores em muitas aplicações, especialmente na preservação alveolar, onde a exposição deliberada de membrana oferece várias vantagens. Após a implantação, o PTFE denso é imediatamente revestido com proteínas do plasma, o que facilita a adesão celular à superfície lisa e biocompatível. Esta adesão celular confere uma vedação hermética, o que aumenta a resistência à migração de células epiteliais e bactérias em torno e sob a membrana, quando exposta na boca.
A principal vantagem do PTFE denso é a capacidade de permanecer exposto na boca e, ao mesmo tempo, proteger o defeito e o enxerto ósseo subjacente. A membrana é mole, flexível e fácil de manusear. O fechamento primário não é necessário, e a membrana pode ser removida sem cirurgia adicional, se estiver exposta. Desta forma, temos uma maior facilidade no manuseio das membranas sem prejudicar os resultados finais, o que, em um passado não muito distante, era privilégio de poucos que tinham mãos abençoadas.
Referências: Casos clínicos e apresentações orais do Dr. Ulisses Dayube e Dra Thayane Furtado.
“Feliz é o homem que persevera na provação, porque depois de aprovado receberá a coroa da vida que Deus prometeu aos que o amam.” (Tiago 1:12)




