Por: Tárcio Skiba, Renata Tarnoschi Bernardo Bordignon, Maycol Ugaz Urviola e Bruno Costa Martins de Sá.
Resumo
O desenvolvimento de implantes dentários revolucionou as possibilidades de reabilitação oral em pacientes que necessitam de substituição dentária. Os procedimentos de carga imediata para maxilares edêntulos tornaram-se amplamente populares entre os dentistas e também entre os pacientes. O objetivo deste artigo é relatar um caso de instalação de quatro implantes Flapless através de cirurgia guiada prototipada e carregamento imediato de uma prótese provisória impressa e prototipada.
Introdução
A técnica All-on-four é um sistema que permite a reabilitação completa fixa com implantes dentários na mandíbula superior e inferior do paciente desdentado. Esse procedimento proporciona ao paciente dentes fixos imediatamente, evitando períodos de transição com próteses provisórias removíveis.3,10
Atualmente, a tomografia computadorizada e softwares especializados (Exoplan, Nobel Guide, Simplant, BTI Scan II, Implant Viewer, Dental Slice, Blue Sky Plan) têm possibilitado o planejamento cirúrgico e protético virtual baseado na visualização tridimensional precisa do osso e sua relação com a futura prótese. Ao realizar o planejamento virtual é possível avaliar e mensurar a densidade óssea; selecionar tipo, tamanho e número de implantes; determinar a sua localização, inclinação e nível de profundidade em relação ao osso; analisar as características dos pilares intermediários e surgimento do parafuso de fixação da futura prótese; verificar o correto posicionamento dos anéis na guia cirúrgica e a localização ideal dos pinos de fixação, que são responsáveis pela estabilidade da guia na boca durante a cirurgia.1,8
O planejamento cirúrgico guiado permite utilizar técnicas avançadas, como a cirurgia minimamente invasiva sem retalho, que proporciona ao paciente menor trauma e menor tempo cirúrgico, melhores resultados pós-operatórios e ausência de suturas, mantendo a integridade dos tecidos peri-implantares.2,7
Os procedimentos de carga imediata para maxilares edêntulos tornaram-se amplamente populares entre os dentistas e também entre os pacientes. Altas taxas de sobrevivência e baixa incidência de complicações demonstram a previsibilidade do tratamento com implantes, independentemente do regime de carga envolvido. O desafio hoje não é provar a funcionalidade, mas desenvolver protocolos simples e de baixo custo.4,10
Este artigo tem como objetivo apresentar um caso clínico em que foram realizadas exodontias múltiplas, osteotomia, colocação imediata de implante e instalação de prótese híbrida de resina por impressão 3D. Todos os procedimentos foram planejados e realizados sob guia informatizado.
Relato de Caso
Paciente JATS visitou nossa clínica relatando dificuldade para mastigar alimentos e ausência de dentes desde a infância.
Na primeira consulta foram realizados anamnese e exame clínico. Também foram feitas fotos iniciais e prescrito exame tomográfico. Não houve contraindicações locais ou sistêmicas relevantes para a realização do procedimento cirúrgico.
Para o planejamento da prótese foram feitos exames da prótese removível que o paciente utilizava, além de exames tomográficos com materiais radiopacos para poder cruzar as telas. Os arquivos DICOM e STL foram convertidos para o formato Blue Sky Plan (Blue Sky Bio-Libertyville, Illinois, EUA), o que possibilitou a transformação das imagens tomográficas em objetos 3D. A partir deste recurso foi possível planejar a colocação dos implantes em sua posição ideal, guiado pelo computador.
Os arquivos foram enviados para a empresa Raio 3D (Porto Velho – RO) para criação de uma guia empilhável; consistia em três partes que são mencionadas na discussão; e impressão da prótese provisória em resina através do processo de estereolitografia. A base da guia tomográfica e personalizada foi comparada e o exame clínico não mostrou sinais de desalinhamento ou pressão em qualquer área.
A cirurgia guiada para colocação dos implantes foi realizada em clínica odontológica sob anestesia local, Cloridrato de Mepivacaína 2% com adrenalina. Anteriormente, a guia era testada na boca para verificar o encaixe perfeito.
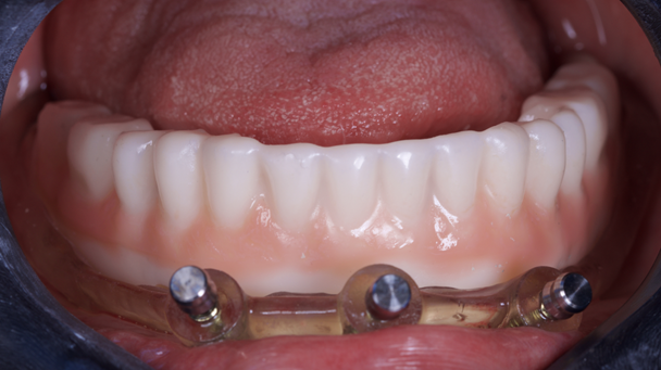
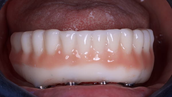
O guia foi fixado após estabilização em oclusão com a prótese superior. Após a retirada do guia de oclusão, foi fixada a guia de fresagem e instalação dos implantes, que foram instalados com torques superiores a 32N, o que permitiu a captura imediata da prótese provisória através do pilar de titânio e resina de fluxo.
O tempo do procedimento desde a anestesia até a finalização da prótese provisória foi de 2h10.
Conclusão
Este artigo demonstrou que a utilização de protótipos provisórios e cirurgia guiada podem trazer resultados satisfatórios e imediatos ao paciente, proporcionando conforto e praticidade ao consultório odontológico.
Discussão
Os rápidos avanços da tecnologia permitiram grandes mudanças em todas as áreas da Odontologia. A Implantologia não é alheia a estas mudanças, e agora dispomos de software específico para realizar quase todos os procedimentos cirúrgicos guiados por computador, dando-nos assim mais precisão e clarividência aos procedimentos que realizamos. Nestes novos tempos é valioso para o cirurgião ter todo o suporte que a tecnologia pode oferecer. Por outro lado, é necessário que o profissional esteja preparado para aproveitar ao máximo a tecnologia, reduzindo riscos e tempos em benefício do paciente.
A digitalização tem um forte impacto em todas as áreas da Odontologia, permitindo-nos realizar os nossos tratamentos com maior precisão, previsibilidade e menos tempo de operação. Porém, para isso, o profissional deve investir mais tempo no planejamento do caso, ter maior comunicação com o laboratório digital, estar mais alinhado com o gerenciamento dos diferentes softwares de planejamento e com a impressão das guias cirúrgicas necessárias ao caso.
Embora a carga imediata na mandíbula superior esteja amplamente documentada na literatura, relatos sobre osteotomia, instalação e reabilitação de implantes, todos assistidos digitalmente, são escassos. O objetivo deste protocolo totalmente digital é oferecer uma solução eficaz, previsível, com maior precisão, rapidez e com o menor custo possível para o paciente. Para o desenvolvimento deste case, precisávamos de uma guia empilhável. A guia empilhável a ser planejada para transferir intraoralmente o plano virtual para o campo operatório consistia em três componentes:
– guia porta-transporte: toma seu apoio na dentição remanescente e possui uma base de fundação fixada por travas. Sua função é deslocar a base da fundação para seu local exato na boca do paciente;
– base de fundação: fixada ao osso durante todo o tempo da cirurgia por meio de pinos de fixação, possui travas para sua fixação com guias de perfuração posteriores. Também serve como guia de osteotomia;
– guia de perfuração: contém o furo por onde será guiada a broca do implante.
A vantagem desta guia empilhável é que garante uma reprodução exata do que foi planejado digitalmente no computador no campo operatório, proporcionando maior precisão em todas as etapas cirúrgicas. Além disso, facilita o ajuste perfeito da prótese impressa desenhada digitalmente. Para isso, o posicionamento do primeiro guia transportador é de vital importância para o sucesso deste protocolo de reabilitação cirúrgica. É essencial dedicar o tempo necessário para garantir o ajuste perfeito deste guia. Qualquer falha nesta primeira guia afetará a instalação da prótese final. Esta solução de guia empilhável é perfeita para casos complexos que exigem altos níveis de precisão, adaptabilidade e flexibilidade. Um processo abrangente de design digital 3D é usado para criar uma solução eficiente e confiável para procedimentos complexos.













Referências
- Contreras Molina I., Contreras Molina G., Bez L., Souza Magini R., & Maziero C. (2013). Guided Surgery in Implantology Practice. Odont. Mex, 17(2).
- Kan J. & Kitichai R. (2000). Immediate placement and provisionalization of maxillary anterior single implants: A surgical and prosthetic rationale. Practical periodontics and esthetic dentistry: PPAD.
- Soto-Peñaloza D., Zaragozi R., Peñarrocha M., & Peñarrocha M. (2017). The All-on-four Treatment Concept: Systematic Review. Journal of Clinical and Experimental Dentistry, 9(3). e474-e488.
- Taneja Bhasin M., Bhasin P., Gambhir N., & Shewale A. (2018). All-on-four Technique Assisted with Computer Guided Surgery. A Case Report with 18 months Follow Up. IP International Journal of Periodontology and Implantology, 3(3), 118-121.
- Christopher CK. Implant rehabilitation in the edentulous jaw: the “Allon-4” immediate function concept. Aust Dent Pract. 2012;p. 138–48.
- Malo P, Nobre MDA, Lopes A, Francischone C, Rigolizzo M. All-on-4” Immediate-Function Concept for Completely Edentulous Maxillae: A Clinical Report on the Medium (3 Years) and Long-Term (5 Years) Outcomes. Clin Implant Dent Relat Res. 2011;14(1):139–50.
- Kim KS, Kum YL, Bae JM, Cho HW. Biomechanical comparison of axial and tilted implants for mandibular full arch fixed prosthesis. Int J Oral Maxillofac Implants. 2011;26(5):976–84.
- Menassa M, de Grandmont P, Audy N, Durand R, Rompré P, Emami E. Patients’ expectations, satisfaction, and quality of life with immediate loading protocol. Clin Oral Implants Res. 2016; 27: 83- 89.
- Patzelt SB, Bahat O, Reynolds MA, Strub JR. The all-on-four treatment concept: a systematic review. Clin Implant Dent Relat Res. 2014; 16: 836- 855.
- Chochlidakis KM, Papaspyridakos P, Geminiani A, et al: Digital versus conventional impressions for fixed prosthodontics: a systematic review and meta-analysis. J Prosthet Dent 2016; 116: 184- 190.





