Por Tárcio Hiroshi Ishimine Skiba, Andressa Maximino, Bruno Costa Martins de Sá, Lucas Carvalho, Felipe Kuriyama, Simone Vigiato e Renata Tarnoschi
INTRODUÇÃO
A reabilitação de maxilas edêntulas através da prótese protocolo superior com carga imediata tem sido otimizada pela integração do fluxo digital. A utilização de guias prototipadas empilháveis e sem anilhas representa o estado da arte em precisão e agilidade, permitindo uma transição imediata da fase cirúrgica para a protética com maior previsibilidade.
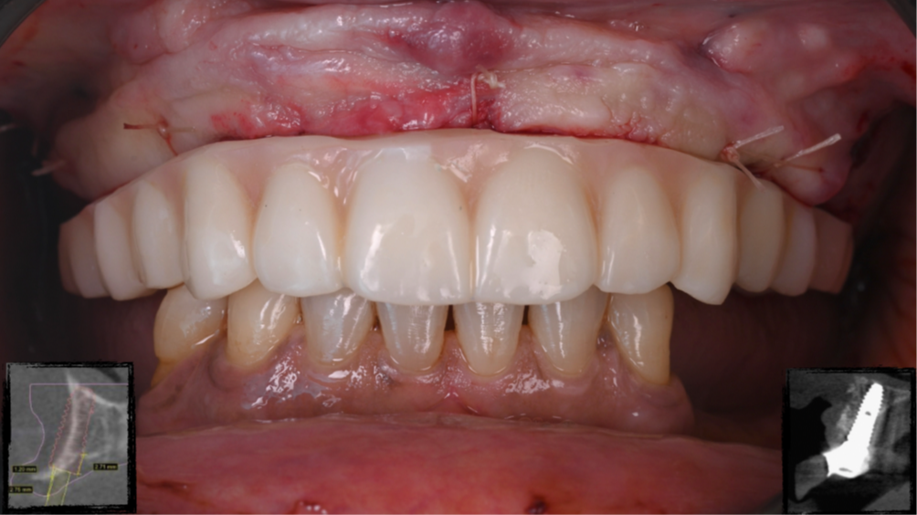
O protocolo superior é uma prótese total fixa sobre implantes que substitui as antigas dentaduras, eliminando o palato e proporcionando maior estabilidade mastigatória. Na técnica de carga imediata, a prótese provisória (ou definitiva, dependendo do torque) é instalada em até 72 horas após a cirurgia, devolvendo a estética e função quase instantaneamente.
Inovação na cirurgia guiada: guias empilháveis sem anilhas
A cirurgia guiada utiliza o planejamento virtual (TC + escaneamento) para definir a posição exata dos implantes. A evolução desse sistema trouxe as guias empilháveis, que funcionam em etapas sequenciais:
– Guia de base/redução: fixada por pinos, serve de base para as demais guias e define o nível do corte ósseo, se necessário;
– Guia cirúrgico (empilhável): encaixa-se sobre a base para a perfuração e instalação dos implantes. O diferencial do sistema sem anilhas é a utilização de guias de polímero com orifícios calibrados para as fresas específicas, eliminando a necessidade de anilhas metálicas, o que reduz desvios e melhora a refrigeração durante o corte;
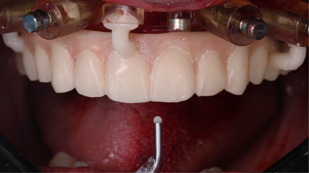
– Guia de captura/protetizada: após a instalação dos implantes, uma terceira guia (ou a própria prótese fresada) é acoplada para a captura dos cilindros, garantindo que a prótese tenha o assentamento passivo perfeito planejado no software;
– Benefícios da técnica: a combinação dessas tecnologias oferece vantagens claras, tanto para o profissional quanto para o paciente;
– Precisão cirúrgica: o planejamento virtual minimiza riscos de atingir estruturas anatômicas críticas;
– Conforto pós-operatório: muitas vezes realizada sem retalho (flapless), a cirurgia gera menos edema, sangramento e dor;
– Agilidade protética: a guia prototipada elimina etapas laboratoriais complexas no dia da cirurgia, permitindo que a prótese seja entregue com ajuste oclusal pré-definido;
– Estética previsível: os dentes são posicionados virtualmente antes da cirurgia, garantindo harmonia com a face do paciente. Para o sucesso do procedimento, é fundamental a avaliação da estabilidade primária (torque de inserção), pois a carga imediata só é segura se os implantes atingirem a fixação mecânica adequada no osso.
OBJETIVO
O presente trabalho tem como objetivo fazer um relato de caso clínico da reabilitação de maxila total de uma paciente com a instalação de seis implantes Osstem em Approach Palatino através de cirurgia guiada por protótipos.
RELATO DE CASO
A paciente procurou tratamento apresentando edentulismo de maxila. Foram planejados, através de escaneamento de face, tomografia e escaneamento intraoral, a instalação de seis implantes Osstem TS IV de 4x11mm em Approach Palatino com simultânea regeneração óssea guiada e carga imediata com prótese impressa em sistema de guias empilháveis.























CONCLUSÃO
A técnica mostrou-se previsível de sucesso, com otimização de tempo de tratamento e diminuição da quantidade de anestésico. A guia empilhável Sleeveless junto à provisória impressa possibilitou uma cirurgia rápida e livre de imprevistos.
REFERÊNCIAS BIBLIOGRÁFICAS
1- Papaspyridakos P, Chochlidakis K, Amin S. Digital workflow for implant rehabilitation of completely edentulous arches: A step-by-step guide on stackable guides. J Prosthet Dent. 2022;128(6):1120-1128.
2- Khoury S, Gauthier R, Sfeir R. Sleeveless guided surgery: Accuracy and clinical considerations in stackable systems. Int J Oral Maxillofac Implants. 2023;38(4):715-722.
3- Tallarico M, Meloni SM. Workflow for full-arch immediate loading with stackable templates and sleeveless surgery. Imp Dent Rev. 2025;12(1):14-20.





