Por Rafael Manfro, Gislaine Fernandes Felipe Garcia, Mauricio Rosa, Wilson Morelli e Vilton Zimmermann de Souza
Resumo
As atresias horizontais da região posterior da maxila podem ser tratadas de diversas formas: com enxertos em bloco, regenerações ósseas guiadas ou divisão de crista do rebordo. Todas estas técnicas exigem conhecimento técnico e uso de matérias especiais aumentando a morbidade e o tempo de tratamento.
Os autores apresentam um caso clinico de atrofia severa em espessura do reboro posterior da maxila tratado com osseodensificação e enxerto ósseo com material inorgânico bovino associado à fibra colágena tipo I. Esta técnica permitiu a instalação dos implantes e a reabilitação protética de maneira satisfatória, com baixa morbidade e com uma técnica mais simples que as outras indicadas paro o caso.
Introdução
Uma quantidade mínima de osso em altura e espessura é a condição essencial para a instalação de implantes osseointegrados. Casos de atrofias severas necessitam de reconstruções ósseas para permitir a instalação dos implantes em posição correta.
Várias técnicas são descritas na literatura para o tratamento destas atrofias. Os aumentos ósseos em bloco ou através das técnicas de regeneração tecidual guiada permitem este aumento de forma previsível, mas apresentam como desvantagem a instalação dos implantes em uma segunda intervenção, aumentando o tempo de tratamento e a morbidade (BRUGNAMI F ET AL 2009; CORDARO L ET AL 2002; PISTILLI R ET AL 2022).
As técnicas de divisão de crista (split crest) também apresentam bons resultados na literatura, inclusive com a instalação simultânea dos implantes. A desvantagem está na necessidade de artefatos especiais e, principalmente, na sensibilidade e dificuldade da técnica. Outra desvantagem é a dificuldade de instalar o implante na posição ideal (GARCEZ-FILHO ET AL 2010; SIMION ET AL 1992).
A osseodensificação permite o aumento ósseo em altura e espessura através dos sistemas de fresagem, que ao invés de cortar osso provoca uma densificação dos tecidos causada pela geometria das fresas e pela pressão hidrostática da irrigação (GASPAR J ETAL 2021).
Apesar de possibilitar a instalação dos implantes em posição adequada, em casos de atrofias severas é necessário o uso de reconstruções ósseas simultâneas. A maneira mais utilizada são os substitutos ósseos particulados associados à membranas absorvíveis. A associação da fibra colágena bovina a uma matriz inorgânica tem mostrado formação óssea precoce, favorecendo as células ósseas na competição celular (GEHRKE AS ET AL 2022) e diminuindo a função das membranas nas regenerações guiadas.
Este artigo apresenta um caso de atrofia severa da região posterior da maxila com instalação dos implantes com osseodensificação e o aumento ósseo utilizando osso inorgânico bovino com fibra colágena sem o uso de membranas.
Relato do caso
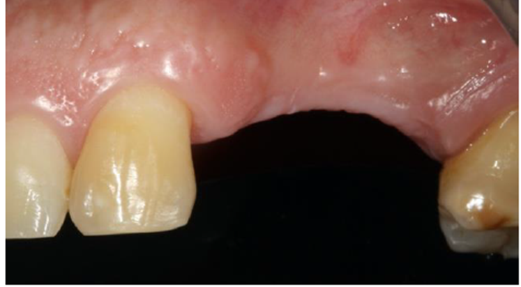
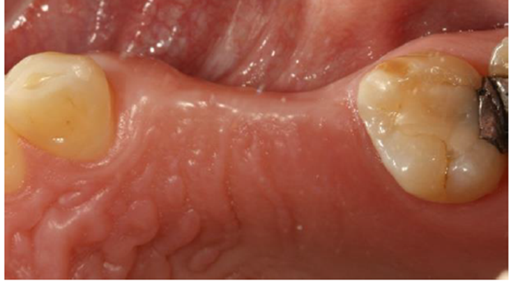
Paciente do gênero masculino, com 52 anos, procurou o curso de cirurgia avançada para Implantodontia UNISUL-SC, buscando reabilitação com implantes na região posterior esquerda da maxila, relatando ter pedido os dentes há aproximadamente 20 anos (Figuras 1 e 2).


Durante os exames de imagem foi observado que o paciente apresentava uma atresia em espessura, impossibilitando a instalação dos implantes em posição ideal.
Após a solicitação de exames tomográficos foi observado que na região do implante anterior a espessura era de apenas 3,3 mm (Figura 3) e na região do implante posterior era de 4,4 mm (Figura 4).


Diante de tudo isso, optamos por instalar os implantes com a técnica de osseodensificação e enxertia simultânea. O procedimento foi realizado sob anestesia local com articaina 4% com adrenalina 1:100.000 (DFL – Rio de Janeiro – Brasil). No pré-operatório foi utilizado profilaxia antibiótica com Cefadroxila 1g, uma hora antes e mantida por sete dias.
Foi realizado também um retalho total com relaxante distal na região do molar, seguido de um retalho dividido após o descolamento passar da gengiva inserida para permitir um fechamento primário sem tensão. A fresagem foi realizada com o sistema de osseodensificação (Neobiotech – Nova IM3 – Coreia do Sul). No implante proximal foram utilizadas fresas sequenciais (16 mm, cônica 16/28 mm e cônica 22/34 mm), conforme figura 5, para a instalação de um implante Maestro de 3,5 x 11 (Implacil De Bortoli – São Paulo – Brasil). O implante distal foi instalado utilizando o mesmo sistema de osseodensificação com as mesmas fresas anteriores, mais a fresa cônica 28/40 mm, permitindo a instalação de um implante Maestro de 4,0 x 9 (Implacil De Bortoli – São Paulo – Brasil).

Apesar da técnica de osseodensificação permitir a expansão do rebordo suficiente para a instalação das fixações, o aumento não foi suficiente para corrigir o tamanho da atresia (Figura 6).

Para corrigir a deficiência residual foi utilizado um parafuso de cabeça expandida de 5,7 mm de diâmetro (Implacil De Bortoli – São Paulo – Brasil), que foi instalado com contra ângulo redutor, montado em motor elétrico com torque de 60 Ncm e com velocidade de 60 RPM (Figura 7).

O espaço criado pelo parafuso foi preenchido com osso inorgânico bovino associado à fibra colágena bovina na proporção de 75/25 (Extra Graft XG-13 – Implacil De Bortoli – São Paulo – Brasil). O retalho foi fechado cobrindo o material sem a adição de membranas (Figura 8).

Após seis meses, os implantes foram reabertos e foi observado osso neoformado pelo material até o nível do parafuso, corrigindo o defeito em espessura e mantendo uma parede óssea vestibular espessa suficiente para manter o implante em função (Figura 9).

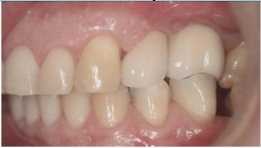
O paciente foi reabilitado com próteses parafusadas metalocerâmicas instaladas sobre pilares Ideale (Implacil De Bortoli – São Paulo – Brasil), conforme Figura 10.

Discussão
As deficiências em espessura na região posterior da maxila são menos comuns do que os defeitos em altura causados pela pneumatização do seio maxilar. Porém, quando ocorrem, podem impedir ou dificultar a instalação dos implantes na posição ideal.
Muitos tratamentos são descritos na literatura. Enxertos em bloco autógeno apresentam previsibilidade a longo prazo, mas também apresentam alta morbidade, necessitando de dois leitos de cirurgia e não permitindo a instalação dos implantes no mesmo procedimento, o que ocasiona uma segunda intervenção e o aumento do tempo de tratamento (BRUGNAMI F ET AL 2009; CORDARO L ET AL 2002).
As regenerações teciduais guiadas também apresentam alta previsibilidade utilizando substitutos ósseos associados ou não ao osso autógeno (JENSEN ET AL 2009). A instalação simultânea dos implantes de forma simultânea ao enxerto ósseo pode ser considerada desde que a atrofia não seja muito grande e permita que o implante seja instalado na posição ideal (CLEMENTINI M ET AL 2013; PISTILLI R ET AL 2022). Apesar de alta previsibilidade, a técnica necessita do uso de membranas absorvíveis em casos menos severos, e do uso de membranas não absorvíveis com reforço de titânio ou mesmo malhas de titânio, que aumentam a dificuldade técnica e o índice de complicações (PRATTO ET AL 2019; POLI PP ET AL 2022; POOMPRAKOBSRI K ET AL 2022), principalmente na exposição das mesmas, o que resulta em uma diminuição acentuada do volume ósseo neoformado (PRATTO ET AL 2019; POLI PP ET AL 2022).
Técnicas de divisão de crista (split crest) permitem a separação das tábuas ósseas vestibular e palatina, aumentando a espessura do rebordo. Apesar de altos índices de sucesso, a técnica tem limites de aumento e muitas vezes dificulta a instalação dos implantes na posição ideal (GARCEZ-FILHO ET AL 2010; SIMION ET AL 1992; WAECHTER J ET AL 2017). A técnica ainda necessita de instrumentos específicos e é bastante sensível ao operador (BRUGNAMI F ET AL 2014; WAECHTER J ET AL 2017).
A osseodensificação permite um alargamento do rebordo de uma forma previsível e tecnicamente mais fácil que nas demais técnicas (KOUTOUZIZ T ETAL 2019). Como resultado de sua utilização, a qualidade do osso é melhorada e o contato osso/implante (BIC) é aumentado, melhorando o prognóstico do tratamento (GASPAR J ETAL 2021). Em casos de atrofias severas, desde que exista osso medular entre as tábuas vestibular e palatina, a técnica pode ser usada com segurança, além de permitir a associação de regenerações teciduais guiadas simultâneas.
O caso apresentado se caracteriza por uma deficiência em espessura extremamente grande, principalmente na região do dente mesial. Este rebordo apresentava uma espessura de 3,0 mm na crista do rebordo, o que impede a instalação de um implante mesmo que de diâmetro reduzido. Na região do dente distal, a espessura do rebordo era um pouco maior, permitindo a instalação de um implante de plataforma de 3,5 mm. Mas mesmo permitindo a instalação da fixação, o rebordo está posicionado palatino à posição ideal de instalação do implante. O uso do sistema de osseodensificação permitiu a instalação dos implantes, sendo um de 3,5 mm de diâmetro, na região do primeiro pré-molar, e outro de 4,0 mm, na região do molar, na posição ideal e com osso vestibular e palatina.
Mesmo com os implantes bem instalados, o aumento da espessura não corrigiu todo o defeito horizontal. O uso de parafusos de cabeça expandida permite a sustentação do arcabouço durante a cicatrização óssea (GUILLE GA ET AL 2021). Estes parafusos tornam as técnicas de regeneração tecidual guiada mais previsíveis, visto que na maioria das vezes o aumento ósseo é obtido até a posição da cabeça do parafuso.
A maioria dos autores descreve que o uso de artefatos de seleção celular, como membranas ou barreiras, são fundamentais para o resultado das regenerações teciduais guiadas. Neste caso, foi observado que quando utilizado, este substituto ósseo bovino associado à fibra colágena bovina, na relação de 75/25, não necessitou do uso de membranas, já que na reabertura foi observado osso neoformado até a altura do parafuso e de boa qualidade, sendo necessário remover osso com instrumento cortante para ter acesso à tampa do implante. Em trabalho publicado recentemente, em que este material foi comparado a outro similar mas com menor quantidade de fibra colágena na composição, foi demonstrado uma formação óssea significativamente maior e mais rápida (GEHRKE AS ET AL 2022), o que pode explicar a não necessidade de membranas, já que favoreceu a formação óssea na competição celular.
As técnicas utilizadas no caso apresentado permitiram o tratamento de uma atrofia severa de forma bastante simples quando comparada com as demais técnicas, o que permite que mais profissionais tenham condição de executar este tratamento. A morbidade do tratamento também foi menor do que as demais técnicas, o que faz com que mais pacientes aceitem o tratamento. Outro fator que facilita a aceitação do paciente é o tempo de tratamento, que é menor que a maioria das opções.
Conclusão
Apesar da limitação do trabalho apresentado, que relata um caso apenas com o uso de sistemas de osseodensificação associado ao uso de osso inorgânico bovino associado à fibra colágena tipo I, na proporção 75/25, sem o uso de membranas, esta parece ser uma boa alternativa no tratamento das atrofias horizontais severas da maxila posterior.
REFERÊNCIAS
1- Brugnami F, Caiazzo A, Leone C. Local intraoral autologous bone har- vesting for dental implant treatment: Alternative sources and criteria of choice. Keio J Med 2009;58:24–28.
2- Brugnami F, Caiazzo A, Mehra P. Piezosurgery-assisted, flapless split crest surgery for implant site preparation. J Maxillofac Oral Surg 2014;13:67–72.
3- Clementini M, Morlupi A, Agrestini C, et al. Immedi- ate versus delayed positioning of dental implants in guided bone regeneration or onlay graft regener- ated areas: a systematic review. Int J Oral Maxillofac Surg 2013;42:643–50.
4- Cordaro L, Amadé DS, Cordaro M. Clinical results of alveolar ridge augmentation with mandibular block bone grafts in partially eden- tulous patients prior to implant placement. Clin Oral Implants Res 2002;13:103–111.
5- Garcez-Filho J, Tolentino L, Sukekava F, Seabra M, Cesar-Neto JB, Araújo MG. Long-term outcomes from implants installed by using split-crest technique in posterior maxillae: 10 years of follow-up. Clin Oral Implants Res 2015;26:326–331.
6- Gaspar J, Proenca L, Botelho J, Machado V, Chambrone L, Neiva R, Mendes JJ. Implant stability of osseodensification drilling versus conventional surgical technique: A systematic review. Int J Oral Maxillofac Implants. 2021; 36: 1104-1110.
7- Gehrke SA, Aramburu Jr. J, Treichel TLE, Rodriguez F, Aza PN, Dedavid BA. Comparative evaluation of two collagen-based biomaterials with diferente compositions used for bone graft: An experimental animal study. J of Apll. Biom Func Mat. 2022 in press.
8- Guillen GA, Araujo ALD, Macedo FGC, Groppo PA, Vargas PA, Noia CF. Evaluation of the screw tent-pole technique for the repair of anterior maxilla width defects: a prospective, randomized, split-mouth study. Int. J. Oral Maxillofac. Surg. 2021; 50: 801–807.
9- Jensen SS, Terheyden H. Bone augmentation proce- dures in localized defects in the alveolar ridge: clinical results with different bone grafts and bone- substitute materials. Int J Oral Maxillofac Implants 2009;24:218–36.
10- Koutouzis T, Huwais S, Hasan F, Trahan W, Waldrop T, Neiva R. Alveolar ridge expansion by osseodensification-mediatec plastic deformation and compaction autografiting: a multicenter retrospective study. Implant dent 2019; 28: 349-355.
11- Pistilli R, Barausse C, Simion M, Bonifazi L, Karaban M, Ferri A, Felice P. Simultaneous GBR and implant placement with resorbable membranes in the rehabilitation of artialy edentulous and horizontally atrophic dental arches: A retrospective study on 97 implants with a 3- to 7-year follow-up. Int J Periodontics Restorative Dent 2022;42:371–379.
12- Poli PP, Beretta M, Maiorana C, Souza FA, Bovio A, Manfredini M. Therapeutic strategies in the management of nonresorbable membrane and titanium mesh exposures following alveolar bone augmentation: A systematic scoping review. Int J Oral Maxillofac Implants. 2022; 37: 250, 269.
13- Poomprakobsri K, Kan JY, Rungcharassaeng K, Lozada J, Oyoyo U. Exposure of barriers used in guided bone regeneration: Rate, timing, management, and effect on grafted bone – A retrospective analysis. J Oral Implantology 2022 in press.
14- Pratto LM, Manfro R, Garcia GFF, Ciotti DL. Avaliacao retrospectiva de ganho ósseo tridimensional em maxila com auxilio de malhas e telas de titânio. Braz Oral Research. 2019 PN1 198.
15- Simion M, Baldoni M, Zaffe D. Jawbone enlargement using immediate implant placement associated with a split-crest technique and guided tissue regenera- tion. Int J Periodontics Restorative Dent 1992;12(6): 462–73.
16- Waechter J, Leite FR, Nascimento GG, Carmo Filho LC, Faot F. The split crest technique and dental implants: A systematic review and meta- analysis. Int J Oral Maxillofac Surg 2017;46:116–128.




