Parte 1 – Perfil de emergência
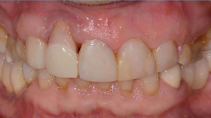
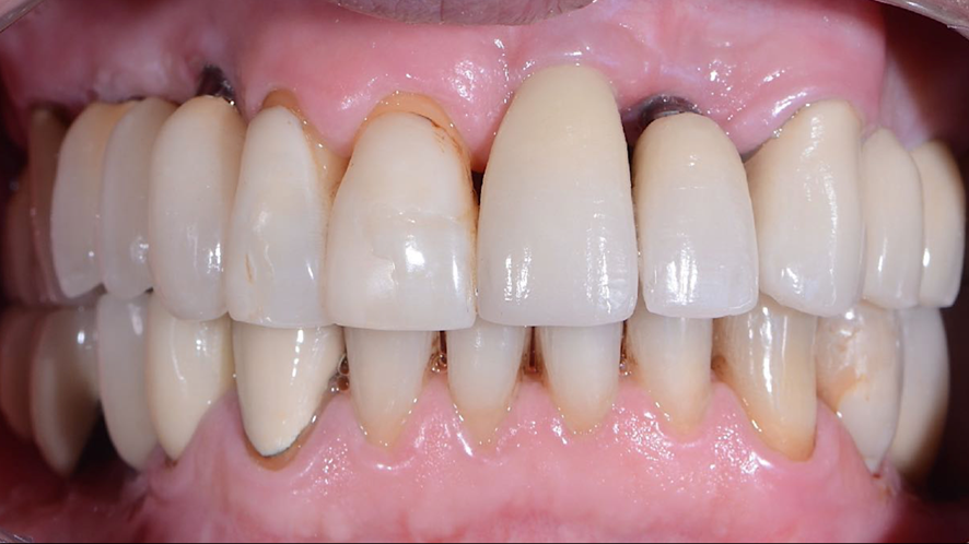
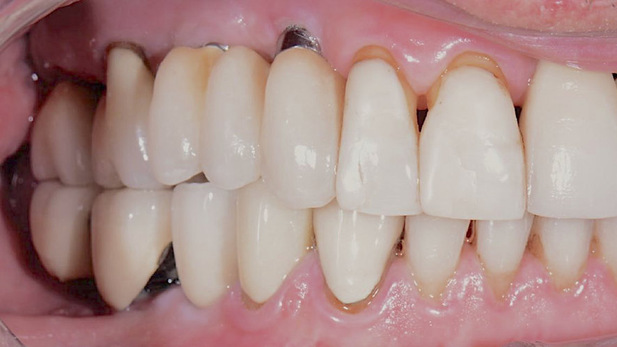
A reabilitação unitária ou múltipla deve seguir as referências dos dentes naturais, onde buscamos a estética branca (material reabilitador) e a estética rosa (papila e zenit gengival) equilibradas. Esta harmonia irá promover a proporção áurea dos dentes e, consequentemente, uma bela estética do sorriso (SON & JANG, 2011).

Outro fator determinante para o cirurgião-dentista ter sucesso nas restaurações dento-gengivais é a compreensão do processo de reabsorção do processo alveolar e dos tecidos moles no momento das extrações dentárias e das fraturas radiculares.
Em alguns momentos o cirurgião-dentista terá que interpretar e escolher, dentro do portifólio de técnicas, para preservar o arcabouço do processo alveolar ou regenerar os tecidos que já foram perdidos, a fim de atenuar as perdas volumétricas(Gomez-Meda, Ramon et al 2021).


Quando o paciente procura um implantodontista, na realidade, é para promover este equilíbrio. Para tanto, o reabilitador precisa entender deste mecanismo para alcançar a naturalidade dos dentes reabilitados sobre implante.
O equilíbrio da estética branca/rosa se dá por vários fatores:
– posição tridimensional correta do implante;
– manutenção do processo alveolar e das estruturas dos tecidos moles;
– regeneração do tecido ósseo perdido;
– tecido mole queratinizado de boa qualidade, de boa espessura e altura para durabilidade da saúde do implante;
– papila e osso estáveis nas proximais;
– formato adequado do provisório;
– perfil de emergência maduro, estável e adequado para receber a restauração protética definitiva.
A falta de observância nestes itens acabam gerando desequilíbrio estético, dificuldade de higienização (dor – ausência de tecido queratinizado), retenção alimentar, falta de proporção áurea, componentes e metais aparentes(TESTORI et al, 2018).



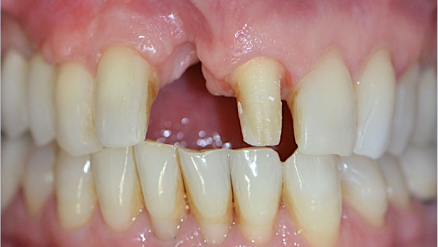
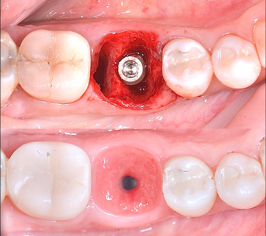
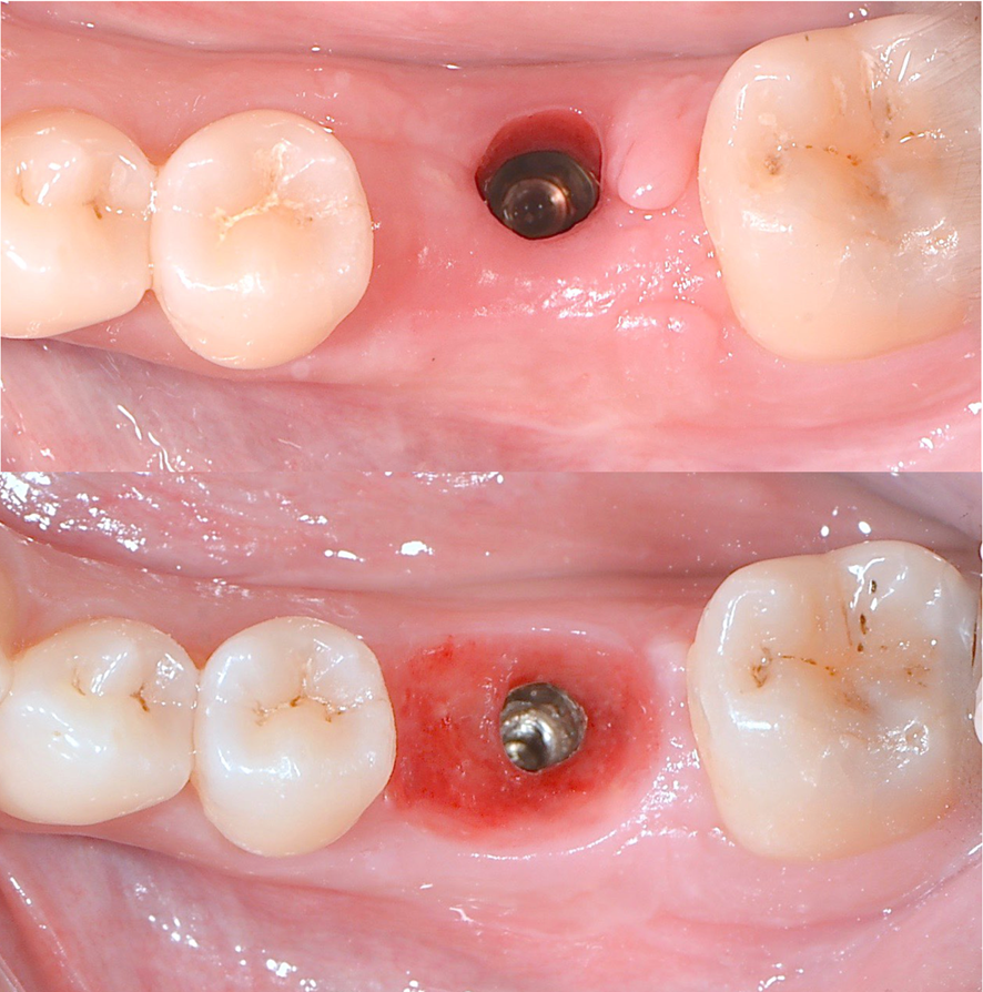
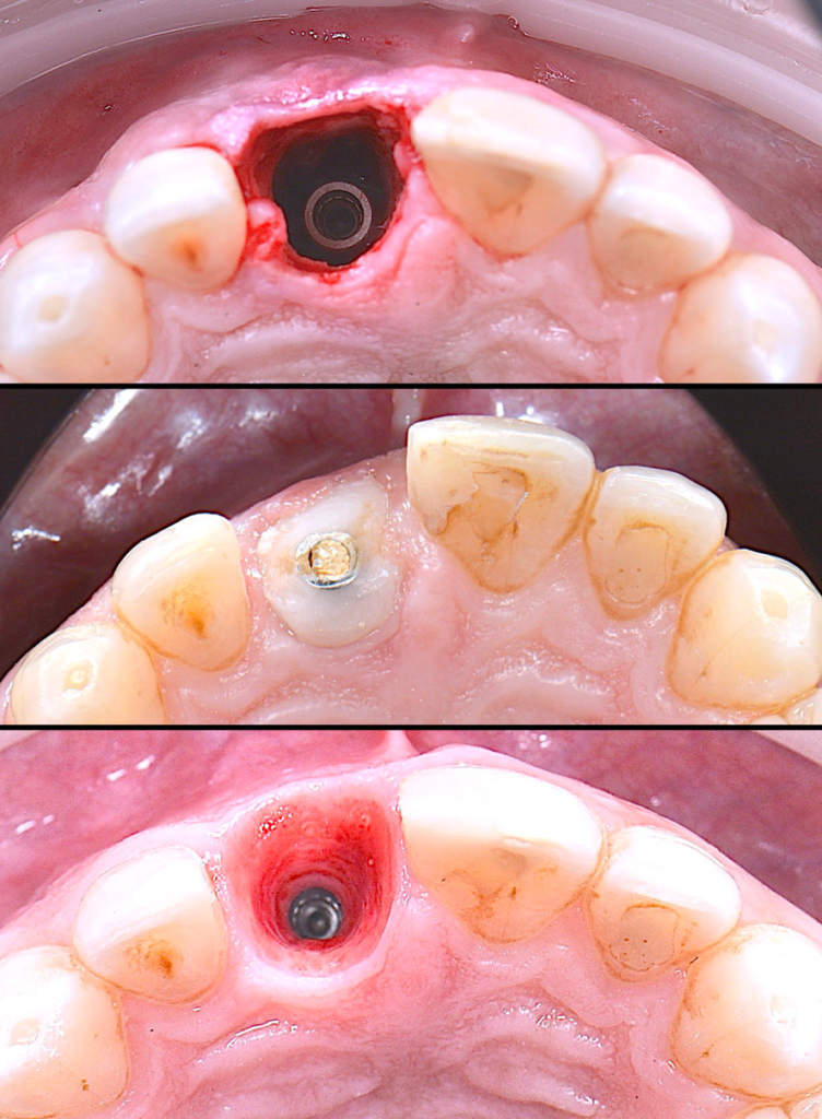
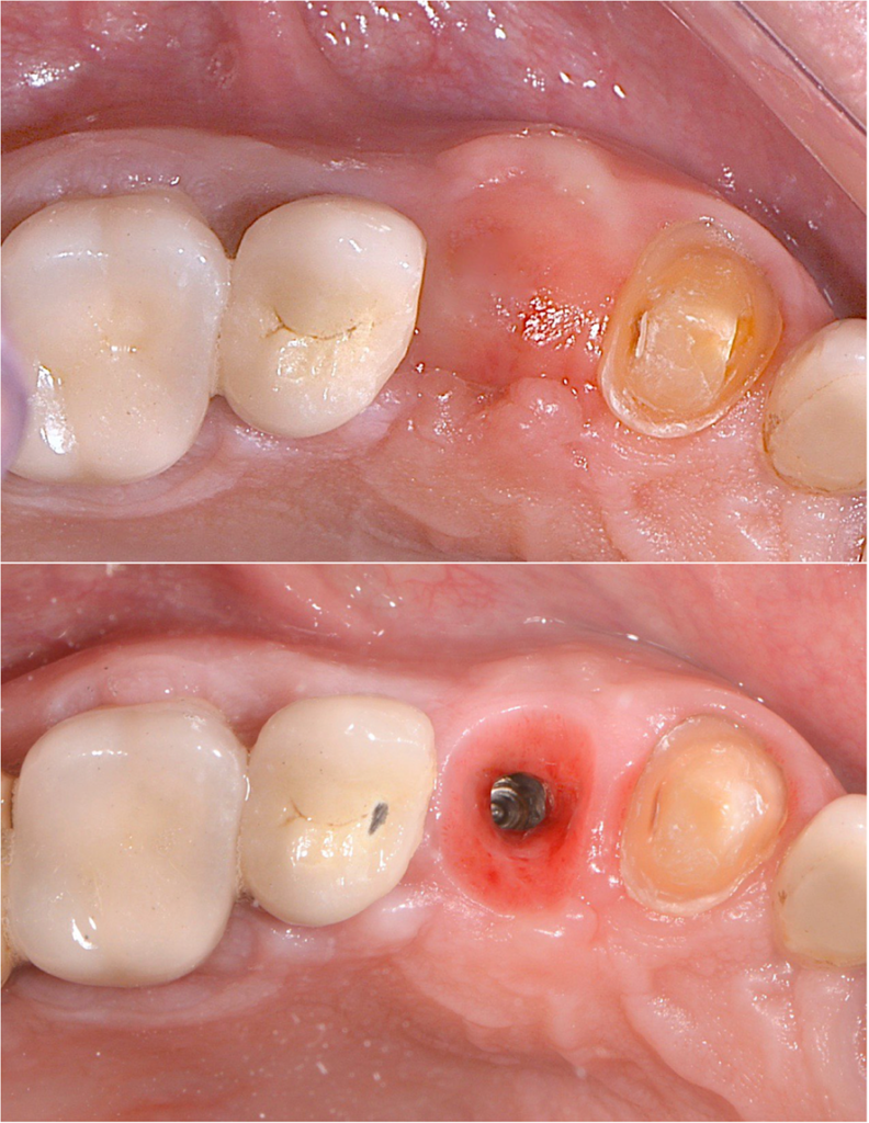
O perfil de emergência é uma área responsável pela transição da coroa protética emergindo do implante. Através desta faixa, faremos a conexão da estética branca e a estética rosa(AZER, 2010).

O conhecimento da anatomia desta faixa de tecido mole que irá receber a coroa definitiva é de suma relevância para o reabilitador, pois o provisório deve ser confeccionado seguindo alguns preceitos anatômicos:
– zona subcrítica;
– zona crítica;
– contorno proximal;
– subcontorno da coroa;
– coroa protética.

Após a confecção da coroa provisória ou do cicatrizador customizado, o tecido mole necessita de 60 a 90 dias para que haja uma boa maturação e estabilidade do tecido mole que está sendo “modelado” para receber uma coroa definitiva(QUESADA, Gustavo Adolfo Terra et al. 2014).




O entendimento da anatomia das zonas crítica e subcrítica e do tempo de maturação do tecido mole de um perfil de emergência estável e adequado é um dos principais objetivos na reabilitação protética sobre implantes. Um bom perfil de emergência garante uma adequada condição para a reabilitação, permitindo a formação de papilas, estabilidade tecidual, evitando a formação de “blackspaces”, impacção alimentar, evita a peri-implantite, evita a mucosite e favorece a estética final (BOSSHARDT et al, 2017).


Isto pode ser alcançado com a realização de coroas provisórias bem adaptadas, imediatas à realização da cirurgia de implantes, evitando a necessidade de reaberturas gengivais na região. Quando não for possível esta reabilitação imediata (baixa estabilidade primária do implante), o uso de cicatrizadores personalizados é uma excelente alternativa(JURADO et al, 2022).

Para atingirmos um perfil otimizado, deve-se evitar a excessiva manipulação do mesmo, preservando a integridade da camada celular ao máximo (hemidesmossomos).




Conclusão
Ambas as técnicas permitem a obtenção e um correto perfil de emergência através do selamento alveolar, favorecendo a manutenção do coágulo e arquitetura do arcabouço alveolar, além de garantirem estabilidade física e biológica para enxertos ósseos (Azer, Shereen S. 2010;).
REFERÊNCIAS
1- Azer, Shereen S. “A simplified technique for creating a customized gingival emergence profile for implant-supported crowns.” Journal of prosthodontics : official journal of the American College of Prosthodontists vol. 19,6 (2010): 497-501. doi:10.1111/j.1532-849X.2010.00604.x.
2-BOSSHARDT DD, CHAPPUIS V, BUSER D: Osseointegration of titanium, titanium alloy and zirconia dental implants: current knowledge and open questions. Periodontol 2000. 2017, 73:22-40. 10.1111/prd.12179.
3-Gomez-Meda, Ramon et al. “The esthetic biological contour concept for implant restoration emergence profile design.” Journal of esthetic and restorative dentistry : official publication of the American Academy of Esthetic Dentistry … [et al.] vol. 33,1 (2021): 173-184. doi:10.1111/jerd.12714.
4- JURADO, Carlos A. et al. Soft Tissue Management on Pontic and Implant Sites Before Implants Insertion. Cureus, v. 14, n. 4, 2022.
5-QUESADA, Gustavo Adolfo Terra et al. Condicionamento gengival visando o perfil de emergência em prótese sobre implante. Saúde (Santa Maria), p. 9-18, 2014.
6-TESTORI T, WEINSTEIN T, SCUTELLÀ F, WANG HL, ZUCCHELLI G: Implant placement in the esthetic area: criteria for positioning single and multiple implants. Periodontol 2000. 2018, 77:176-96. 10.1111/prd.12211.
7-SON MK, JANG HS. Gingival recontoring by provisional implant restoration for optimal emergence profile: report of two cases. J Periodontal Implant Sci. 2011;41:302-8.





