Por Ulisses Dayube e Luciana Dayube
O perfil de emergência subgengival ideal da restauração provisória é a chave para esculpir, apoiar e estabilizar o contorno ideal do tecido mole, que influencia a saúde e a estética a longo prazo dos tecidos moles peri-implantares 1, 2, 3, 4.
Durante um escaneamento intraoral digital para uma restauração implantossuportada, o tecido mole peri-implantar entrará em colapso rapidamente após a restauração provisória ser removida, dificultando o escaneamento do perfil de emergência estabelecido. Sabemos que após a remoção da restauração provisória, a espessura do tecido mole aumenta ao longo do tempo e que no perfil de emergência uma discrepância significativa ocorre imediatamente e continua a aumentar ao longo do tempo 5.
Para pacientes que requerem mais tempo de escaneamento ou quando queremos mais precisão do escaneamento de tecidos moles, Liu et al6 propuseram uma sequência para capturar o perfil de emergência adquirido usando um novo método digital. A técnica pode ser realizada com muita precisão em qualquer tipo de scanner e processada desde softwares proprietários, como o DentalCad (Exocad), até softwares livres, como o Meshmixer (Autodesk)7.
Caso Clínico
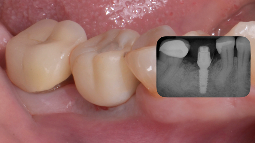
Paciente apresentava um espaço edêntulo posterior na região do dente 46 e, segundo informações colhidas, tinha muita dificuldade na mastigação. Neste caso, foi realizada uma cirurgia virtualmente guiada com guia prototipada e a instalação de um implante Maestro 3,5x11mm e uma carga imediata utilizando o pilar Ideale 4.5x4x2,5 e a coifa provisória de titânio do pilar ideale, para capturar uma coroa provisória CAD/CAM.
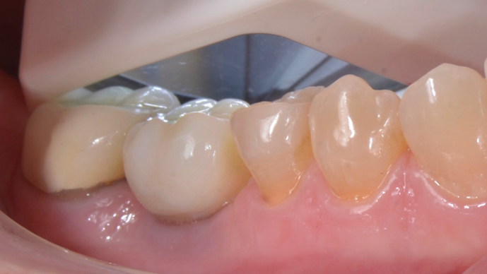
Iniciamos o planejamento com o escaneamento intraoral e uma tomografia computadorizada cone beam da mandíbula. De posse das informações, foi realizado o planejamento virtual do implante no Exoplan (Exocad) e o desenho e impressão da guia cirúrgica, bem como de uma coroa provisória CAD/CAM. A cirurgia guiada foi realizada com o Kit Implaguide CM 3.5, seguindo a sequência de fresas preconizadas pela Implacil De Bortoli. Foi instalado o implante Maestro de 3,5x11mm (Figura 1) e, logo após, o pilar Ideale 4,5x4x2,5. A coroa provisória CAD/CAM foi capturada utilizado a coifa provisória de titânio do pilar ideale(Figura 2). Após 60 dias de pós-operatório, a coroa provisória foi removida e observada em excelente perfil de emergência (Figura 3). Solicitamos uma nova tomografia e começamos a planejar a coroa definitiva, num fluxo restaurativo 100% digital com o iTero.



Com o scanner iTero, executamos escaneamento no modo restaurativo e fizemos a opção de realizar um escaneamento pré-tratamento. Essa é uma ferramenta muito importante e não muito utilizada.

Marque a caixa de seleção “Escaneamento Pré-tratamento”(Figura 4)toda vez que desejar digitalizar o paciente que possui uma coroa provisória e que esteja excelente, tanto esteticamente quanto funcionalmente. Nesse caso, o paciente deve ser digitalizado duas vezes – antes e depois da remoção da coroa provisória. O escaneamento pré-tratamento permite que o laboratório de prótese dentária copie a anatomia original da coroa provisória para a restauração definitiva.
Passo a passo da técnica
1-Fazemos o escaneamento primeiramente da coroa provisória instalada na boca (Figura 5). Com isso, o laboratório de prótese dentária consegue visualizar a posição da coroa provisória, tendo como referência para o desenho da coroa definitiva.

2- Depois, fazemos o escaneamento do antagonista e o escaneamento do registro oclusal (Figura 6).

3- Só então que realizamos o escaneamento do transfer digital (do implante ou pilar protético), neste caso, do pilar Ideale 4,5×4 (Figura 7).

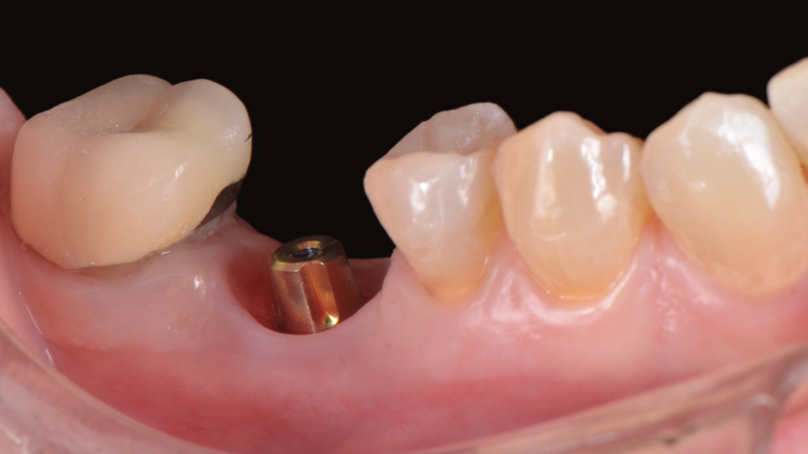
4 – E por último, fazemos o escaneamento da coroa provisória fora da boca, instalada em um análogo (Figura 8).

Terminamos com três malhas de provenientes dos escaneamentos (Figura 9). Assim, o laboratório de prótese consegue subtrair digitalmente a coroa provisória e ter exatamente o perfil de emergência adquirido com a manipulação tecidual através da coroa provisória.


Uma coroa definitiva em zircônia pura foi escolhida neste caso. Desenhada no DentalCad (Exocad), depois de fresada foi maquiada e ajustada num modelo impresso, onde o perfil da mucosa também é impresso em uma resina rosa soft (Figura 11). O análogo digital do pilar Ideale 4,5×4 é inserido no modelo impresso, dando a possibilidade da coroa fresada em Zircônia ser ajustada com mais segurança e precisão.

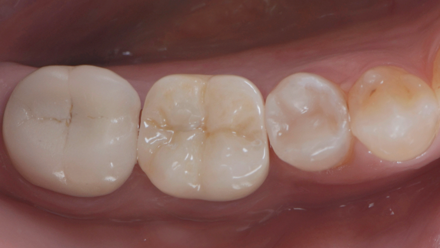
A instalação da coroa é feita utilizando um parafuso da coifa do pilar Ideale (Figura 12) e nenhum ajuste oclusal e/ou interproximal foi necessário, mostrando a excelente acurácia e adaptação da coroa realizada em fluxo restaurativo 100% digital com o iTero.

REFERÊNCIAS
1-T. De Rouck, K. Collys, I. Wyn, J. Cosyn. Instant provisionalization of immediate single-tooth implants is essential to optimize esthetic treatment outcome. Clin Oral Implants Res, 20 (2009), pp. 566-570.
2- H. Su, O. Gonzalez-Martin, A. Weisgold, E. Lee. Considerations of implant abutment and crown contour: critical contour and subcritical contour. Int J Periodontics Restorative Dent, 30 (2010), pp. 335-343.
3- Y.C. Chow, H.-L. Wang. Factors and techniques influencing peri-implant papillae. Implant Dent, 19 (2010), pp. 208-219.
4- D.P. Tarnow, A.W. Magner, P. Fletcher. The effect of the distance from the contact point to the crest of bone on the presence or absence of the interproximal dental papilla. J Periodontol, 63 (1992), pp. 995-996.
5- Li J, Chen Z, Wang M, Wang HL, Yu H. Dynamic changes of peri-implant soft tissue after interim restoration removal during a digital intraoral scan. J Prosthet Dent. 2019 Sep;122(3):288-294.
6- Liu X, Liu J, Mao H, Tan J. A digital technique for replicating peri-implant soft tissue contours and the emergence profile. J Prosthet Dent 2017;118:264-7.
7- Crockett R, Benko J, Chao D, Shah KC. Digital custom implant impression technique for capturing the acquired emergence profile. J Prosthet Dent. 2019 Oct;122(4):348-350.




