Autores
Dr. Ricardo Elias Jugdar
Especialista, mestre e doutor em Implantodontia; coordenador dos cursos de cirurgia básico, intermediário, avançado, mini residência e especialização em implantodontia BEO/Facsete; consultor Implacil De Bortoli e especialista em Radiologia.
Dr. André Felipe de Miranda Murad
Especialista em cirurgia e traumatologia bucomaxilofacial; especialista em Implantodontia; professor dos cursos de especialização em Implantodontia e mini residência em Implantodontia BEO/Facsete e cirurgião bucomaxilofacial do Hospital Municipal Dr. Arthur Ribeiro Saboya.
Dra. Maria Amelia Calandra Jugdar
Especialista em Implantodontia; pós-graduanda em Periodontia; professora assistente nos cursos de especialização em Implantodontia e básico e intermediário de cirurgia de implantes da BEO.
Atualmente, a indicação de implantes osseointegrados na reabilitação do paciente com perda dentária parcial ou total se apresenta como uma ótima alternativa, desde que apresentem ótimo posicionamento tridimensional. Porém, muitos desses podem apresentar quantidade e qualidade óssea insuficientes para a instalação imediata do implante dentário, fazendo-se necessária a realização de enxertos ósseos. O uso de parafusos do tipo tenda ou “Screw Tent Pole” tornou-se um excelente recurso para ganho do tecido ósseo no sentindo horizontal, para maxilas parcialmente atróficas. O conhecimento das possibilidades em técnicas de enxerto ósseo pode auxiliar o profissional a escolher a que melhor se adapte à sua preferência e as peculiaridades de cada caso.
Nesse contexto, a técnica de parafusos tenda na regeneração óssea guiada é pouco conhecida e auxilia na estabilidade de forma do enxerto, fator essencial em tratamentos de regeneração óssea guiada. O caso clínico de grande atrofia óssea foi tratado com quatro parafusos do tipo tenda para enxerto horizontal anterior em maxila. Para a região anterior foram utilizados quatro parafusos tenda de 10 mm (Implacil De Bortoli) associados a substitutos ósseos particulados e membranas autólogas de PRF, para auxiliar na manutenção e prognóstico da forma do enxerto. Uma discussão sobre os princípios para utilização dos parafusos e seus materiais utilizados no caso clínico também é apresentada.
Introdução
Tratamentos de enxertos ósseos para viabilizar instalação de implantes dentários são comumente complexos, especialmente ao considerar casos extensos. Existe uma grande diversidade de materiais, técnicas e recursos a serem considerados, que somados a custo, prognóstico e características do tratamento, podem trazer dúvidas na indicação pelo cirurgião. Quando considerada a técnica utilizada para ganho ósseo horizontal, um dos fatores mais importantes, se não o principal, é seu índice de sucesso. Diversas técnicas1 tem demonstrado bom desempenho clínico, como regeneração óssea guiada (ROG) convencional2, bloco ósseo3 e expansão óssea alveolar4. Por outro lado, revisões de literatura e meta-análises comumente levam a conclusões limitadas sobre a melhor técnica, visto que o desempenho do tratamento é fortemente influenciado por fatores como o material de preenchimento enxertado e a habilidade do profissional. Sem uma opção claramente superior, a escolha da técnica é comumente baseada em fatores como custo, preferência pessoal e características individuais do tratamento.
Uma técnica menos conhecida, mas de desempenho comprovado 5, 6 é a que utiliza o princípio “Tent Pole”, que poderia ser traduzido como vigas ou mastros tenda, e consiste no uso de um ou mais parafusos para manter o espaço a ser preenchido com biomaterial. Nesse contexto, o conhecimento dessa técnica pode trazer mais opções ao profissional na escolha da que melhor se adapta ao tratamento e sua preferência.
O objetivo do presente trabalho é apresentar, através de caso clínico, o uso de parafusos tenda para ganho horizontal da crista óssea.
Relato do caso clínico
Paciente do sexo feminino, com 52 anos de idade, apresentou-se a clínica escola BEO -Ensino Odontológico Avançado – Vila Clementino, São Paulo – Brasil, com queixa de instabilidade e dor no uso da prótese fixa anterior. O exame clínico e radiográfico revelou grande atrofia da crista óssea, incluindo possibilidade de fratura radicular nas raízes dos dentes anteriores. A dor era causada por trauma da prótese mal adaptada. A paciente relatou também insatisfação com a estética na região anterior da maxila.
Após explicação das opções de tratamento, a paciente optou por reconstrução óssea de toda maxila anterior, bem como a extração dos dentes remanescentes. Para tanto, foi realizado o enxerto do tipo tenda em região dos dentes anteriores com biomaterial, para ganho ósseo horizontal para posterior instalação de implantes dentários do tipo Cone Morse Maestro – Implacil De Bortoli, em ótimo posicionamento tridimensional. A reabilitação protética final da paciente levou exatos doze meses de trabalho.



Figuras A,B,C, D e E – Imagens evidenciando grande perda óssea anterior no sentido horizontal, bem como a vestibularização do rebordo anterior, o que impossibilita a instalação dos implantes em um bom posicionamento tridimensional.


Figuras 1 e 2 – Visão intrabucal da paciente, evidenciando instabilidade da prótese fixa de resina, bem como sua deficiência estética.






Figuras 3,4,5,6,7 e 8 – Sequência do primeiro ato cirúrgico, onde podemos observar (imagem 3) a incisão do tipo Newmann modificada para ampla visualização do campo operatório e as extrações dentárias. Podemos observar também a descorticalização do processo alveolar e a instalação dos parafusos tipo tenda Implacil De Bortoli de 10 mm, respeitando a distância de pelo menos 2 mm entre cabeças (imagem 4). Foram colocados dois gramas de biomaterial Bio-Oss Geistlich, preenchendo toda cavidade e alvéolos até a delimitação da cabeça dos parafusos (imagens 5 e 6). Antes do fechamento completo da ferida cirúrgica, colocamos membranas de PRF para auxílio na reparação tecidual e proteção do material de enxerto (imagem 7). Para fechamento da ferida cirúrgica, usamos fio do tipo Cytoplast, fornecido pela Implacil De Bortoli. É de extrema importância sua utilização, pois apresenta excelente elasticidade, acompanhando edema cirúrgico pós-operatório, o que diminui o risco de deiscência no pós-operatório.


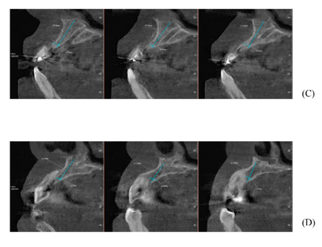
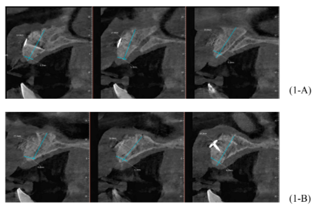
Após oito meses, foi realizada outra tomografia computadorizada (TC) na própria clínica escola, onde foram realizadas medidas de altura e espessura evidenciando grande ganho ósseo horizontal. Não ocorreu quaisquer tipo de complicação no pós-operatório tardio (imagens 1-A, 1-B, 1-C, 1-D).




Foram planejados três implantes do tipo Cone Morse Maestro Implacil De Bortoli 3.5 x 13 mm. Após remoção de maneira facilitada dos parafusos tenda, foram instalados três implantes em ótimo posicionamento tridimensional (imagens 1-E, 1-F, 1-G, 1-H). Todos apresentaram estabilidade primária de 35 Ncm de torque e aguardamos quatro meses para posterior reabilitação protética definitiva com próteses individualizadas de metalocerâmica do tipo parafusada.

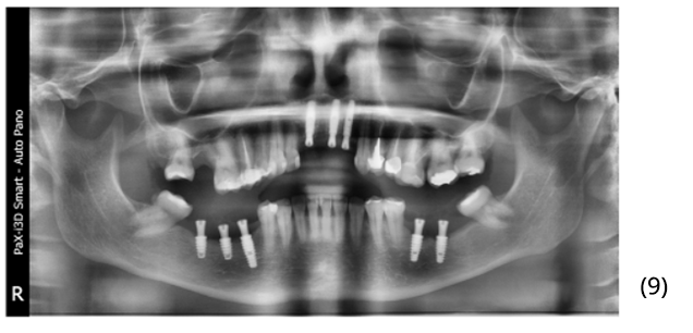
Após quatro meses, uma nova radiografia panorâmica foi realizada para planejamento reabilitador protético, onde nenhum sinal de anormalidade foi observado (imagem 9).



A reabilitação final ocorreu após um ano do início do tratamento cirúrgico da enxertia óssea. Foram confeccionados provisórios para preparo do perfil gengival, visando uma ótima estética rosa.
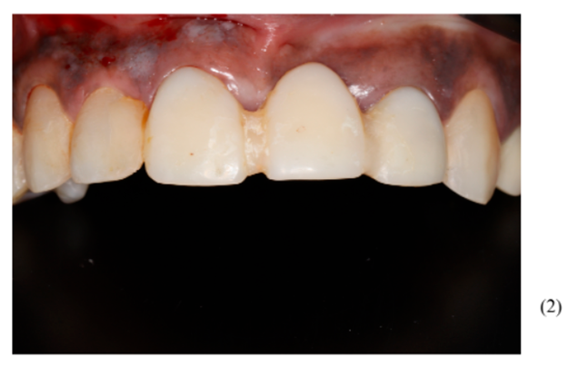
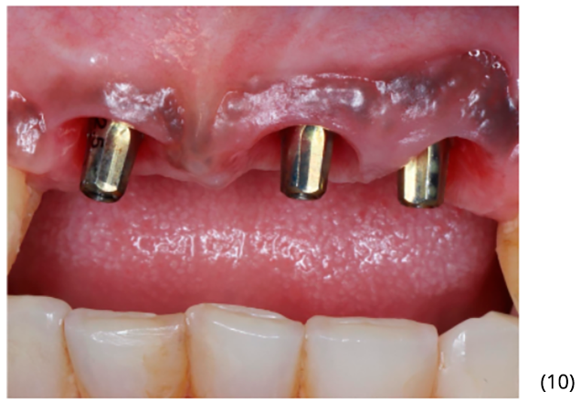
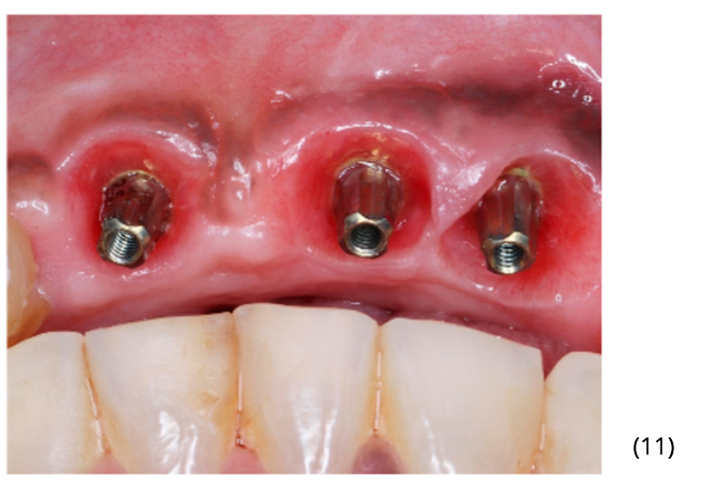
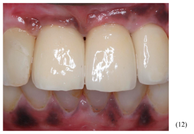
Utilizamos três munhões do tipo Ideale – Implacil De Bortoli de altura 3.3×2.5×4 mm para confecção das próteses do tipo parafusada (imagens 10 e 11). A foto final foi no acompanhamento de seis meses, onde podemos observar ótima estabilidade do tecido peri-implantar (imagem 12).
Conclusão
Parafusos tenda podem ser utilizados com sucesso em enxertos ósseos horizontais, extensos ou não. Contudo, sua evidência científica continua baixa por ser uma técnica nova. É necessário respeitar todos os princípios existentes na literatura para obtermos um ótimo resultado. A técnica se mostrou de fácil manipulação cirúrgica e com ótimo prognóstico para a reabilitação com implantes osseointegráveis.
Referências
1. Tolstunov L, Hamrick JFE, Broumand V, Shilo D, Rachmiel A. Bone Augmentation Techniques for Horizontal and Vertical Alveolar Ridge Deficiency in Oral Implantology. Oral Maxillofac Surg Clin North Am. 2019; 31(2):163-91.
2. Wessing B, Lettner S, Zechner W. Guided Bone Regeneration with Collagen Membranes and Particulate Graft Materials: A Systematic Review and Meta-Analysis. Int J Oral Maxillofac Implants. 2018; 33(1):87-100.
3. Troeltzsch M, Troeltzsch M, Kauffmann P, Gruber R, Brockmeyer P, Moser N, et al. Clinical efficacy of grafting materials in alveolar ridge augmentation: A systematic review. J Craniomaxillofac Surg. 2016; 44(10):1618-29.
4. Bassetti MA, Bassetti RG, Bosshardt DD. The alveolar ridge splitting/expansion technique: a systematic review. Clin Oral Implants Res. 2016; 27(3):310-24.
5. Deeb GR, Tran D, Carrico CK, Block E, Laskin DM, Deeb JG. How Effective Is the Tent Screw Pole Technique Compared to Other Forms of Horizontal Ridge Augmentation? J Oral Maxillofac Surg. 2017; 75(10):2093-8.
6. Yuan S, Mu Z, Huang Y, Bai S, Xu P, Chen T. Comparison of in-situ bone ring technique and tent-pole technique for horizontally deficient alveolar ridge in the anterior maxilla. Clin Implant Dent Relat Res. 2020;22(2):167-76.
7. Jayme SJ, Jugdar RE, Franco LD, Pita PPC, Paglia G, Shibli JA. Utilização de PRF líquido como biomaterial auxiliar em enxertos particulados. ImplantNewsPerio. 2017; 2(2):247-57.
8. Atieh MA, Alsabeeha NH, Tawse-Smith A, Faggion CM, Jr., Duncan WJ. Piezoelectric surgery vs rotary instruments for lateral maxillary sinus floor elevation: a systematic review and meta-analysis of intra- and postoperative complications. Int J Oral Maxillofac Implants. 2015;30(6): 1262-71.
9. Jayme SJ, Vasco MA, Ramalho PR, Franco Ld. Análise por elementos finitos e caso clínico do uso de retenções metálicas para diminuir o risco de descolamento de dentes artificiais em próteses do tipo protocolo. ImplantNews. 2013;10(5):637-45.
10. Jayme SJ, Jugdar RE, De Franco L, Ramalho PR, Shibli JA, Vasco MA. Exposição da tela de titânio por trauma mecânico parafuncional após reconstrução óssea. ImplantNews. 2014;11(5): 613-20.
11. Rabelo GD, de Paula PM, Rocha FS, Jordao Silva C, Zanetta-Barbosa D. Retrospective study of bone grafting procedures before implant placement. Implant Dent. 2010; 19(4):342-50.
12. Lim G, Lin GH, Monje A, Chan HL, Wang HL. Wound Healing Complications Following Guided Bone Regeneration for Ridge Augmentation: A Systematic Review and Meta-Analysis. Int J Oral Maxillofac Implants. 2018; 33(1):41-50.
13. Schopper C, Goriwoda W, Moser D, Spassova E, Watzinger F, Ewers R. Long-term results after guided bone regeneration with resorbable and microporous titanium membranes. Oral and Maxillofacial Surgery Clinics of North America. 2001; 13(3):449-58.
14. Watzinger F, Luksch J, Millesi W, Schopper C, Neugebauer J, Moser D, et al. Guided bone regeneration with titanium membranes: a clinical study. Br J Oral Maxillofac Surg. 2000; 38(4): 312-5.
15. Zhao L, Xu T, Hu W, Chung KH. Preservation and augmentation of molar extraction sites affected by severe bone defect due to advanced periodontitis: A prospective clinical trial. Clin Implant Dent Relat Res. 2018; 20(3):333-44.
16. Sanz-Martin I, Ferrantino L, Vignoletti F, Nunez J, Baldini N, Duvina M, et al. Contour changes after guided bone regeneration of large non-contained mandibular buccal bone defects using deproteinized bovine bone mineral and a porcine-derived collagen membrane: an experimental in vivo investigation. Clin Oral Investig. 2018; 22(3):1273-83.
17. Rothamel D, Schwarz F, Sager M, Herten M, Sculean A, Becker J. Biodegradation of differently cross-linked collagen membranes: an experimental study in the rat. Clin Oral Implants Res. 2005;16(3):369-78.
18. Raz P, Brosh T, Ronen G, Tal H. Tensile Properties of Three Selected Collagen Membranes. Biomed Res Int. 2019; 2019:5163603.
19. Tatullo M, Marrelli M, Cassetta M, Pacifici A, Stefanelli LV, Scacco S, et al. Platelet Rich Fibrin (P.R.F.) in reconstructive surgery of atrophied maxillary bones: clinical and histological evaluations. Int J Med Sci. 2012; 9(10):872-80.
20. do Lago ES, Ferreira S, Garcia IR, Jr., Okamoto R, Mariano RC. Improvement of bone repair with l-PRF and bovine bone in calvaria of rats. histometric and immunohistochemical study. Clin Oral Investig. 2020; 24(5):1637-50.
21. Daga D, Mehrotra D, Mohammad S, Chandra S, Singh G, Mehrotra D. Tentpole technique for bone regeneration in vertically deficient alveolar ridges: A prospective study. J Oral Biol Craniofac Res. 2018; 8(1):20-4.





