Quando falamos em processo alveolar, estamos muito além do tecido ósseo ou uma simples articulação denominada especificamente de Gonfose. Falamos de um sistema de amortecimento e absorção de impactos altamente especializado e dependente do dente. Logo, a perda de dente resulta em mudanças tanto horizontais como verticais das dimensões dos tecidos duros e moles. Essas alterações podem ser acompanhadas clinicamente através de: sondagem clínico-cirúrgica, medições por imagens tomográficas e medições em modelos de estudo1.
Estudos mostram que a taxa de reabsorção óssea na face vestibular pode chegar a 56%, enquanto que a reabsorção óssea na face lingual pode atingir 30% em áreas de implantes com superfícies tratadas, colocados no momento das exodontias2.
Geralmente, o padrão de reabsorção da parede vestibular apresenta-se mais grave que a lingual. A reabsorção observada nos tecidos duros no sentido horizontal (vestíbulo-palatino) pode variar de 29% a 63% comparado ao vertical (inciso-cervical), que varia de 11% a 22% em um período de observação de três a sete meses. Acredita-se que essa diferença de porcentagem ocorra devido à presença de dentes próximos à área avaliada ou a espessura da parede vestibular3.
A Implantodontia é a especialidade que deve tratar o processo alveolar como um todo, pois somente assim trataremos a estética vermelha e a estética branca. Vários métodos têm sido descritos na literatura para devolver as dimensões originais do processo alveolar.
A preservação do alvéolo é uma opção de tratamento, evitando ou reduzindo a perda óssea. Alguns procedimentos são sugeridos com o objetivo de reduzir essa perda fisiológica, como a utilização de biomateriais preenchendo o alvéolo, barreiras, instalação de implante imediato entre outros. 4
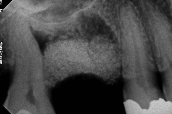
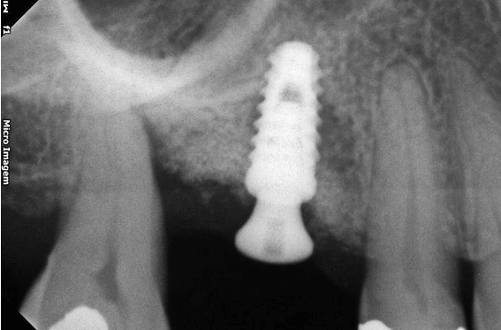
Avaliamos o desempenho do biomaterial de hidroxiapatita com colágeno tipo I (Extra Graft XG-13®) na manutenção do volume alveolar.
A aplicação como o caso clínico abaixo se mostrou uma técnica acessível a todos cirurgiões dentistas, pois se trata de um procedimento de simples execução e acessível. Logo, deveria constar na clínica diária.















Referências Bibliográficas
1. Rodd HD, Malhotra R, O´Brien CH, Elcock C, Davidson LE, North S. Change in supporting tissue following loss of a permanent maxillary incisor. Dent Traumatol 2007; 23:328-32.
2. Botticelli D, Berglundh T, Tord Berglundh, BotticelliJL et al. Hard-tissue alterations following immediate implant placement in extraction sites. J Clin Periodontol 2004; 31: 820–28.
3. Tan WL, Wg TLon, Wong MC, Lang NP. A systematic review of post-extractional alveolar hard and soft tissue dimensional changes in humans. Clin Oral Implants Res. 2012;23(5):1-21.
4. Fiamengui Filho, JF; Azevedo, FP; Cambiaghi, L; Fiamengui, LMSP; Sant’Ana, ACP; Rezende, MLR; Greghi, SLA. Preservação do rebordo ósseo alveolar após extração dentária. Perionews; 2014; 8(4): 376-382.
5. Januário AL1, Barriviera M, Duarte WR. Soft tissue cone-beam computed tomography: a novel method for the measurement of gingival tissue and the dimensions of the dentogingival unit. J Esthet Restor Dent. 2008;20(6):366-73;





