Por Luiz Fernando Martins André e Samara Caroline Fernandes Galvani
Resumo
Os implantes dentários imediatos são uma opção de tratamento para reabilitação que apresentam elevadas taxas de sucesso. Entretanto, em casos de perdas ósseas extensas, podem representar um desafio para o cirurgião.
No presente caso, a paciente apresentou-se com comprometimento do elemento 11 devido a lesão periapical extensa, sendo necessária a exodontia do mesmo e curetagem da lesão. Para a reabilitação foi realizada a instalação imediata de implante Cone Morse, seguida de regeneração óssea guiada com biomaterial de origem bovina e membrana de PTFE. Na etapa protética foi utilizado o pilar Ideale angulado de 17 graus, o que proporcionou a utilização de coroa protética parafusada. A possibilidade da utilização do pilar Ideale mostrou ser uma alternativa viável de tratamento, aumentando assim a versatilidade na escolha do melhor posicionamento do implante em relação ao rebordo residual e do tipo de contenção da coroa protética, possibilitando bons resultados funcionais e estéticos.
Introdução
A instalação de implantes dentáriosem locais com baixa quantidade e qualidade óssea tem sido um desafio na Implantodontia. Embora a utilização de implantes em tratamentos seja bastante previsível, determinados defeitos no osso alveolar podem representar uma adversidade à terapia com implantes dentários, desencadeando comprometimentos estéticos e funcionais (DE SOUZA et al., 2022).
As publicações nacionais sobre a funcionalidade de biomateriais para regeneração óssea guiada (ROG) em Odontologia tem evidenciado grande popularização do uso de enxertos ósseos na prática clínica (ARAÚJO et al., 2020). O avanço das técnicas de reconstrução alveolar e dos biomateriais na ROG vêm trazendo altas taxas de sucesso, tanto funcionais quanto estéticas (BARBOSA et al., 2019).
Quanto aos tipos de fixação da coroa protética, existem dois tipos usuais: coroas parafusadas e coroas cimentadas, cada qual com vantagens e desvantagens. Alguns fatores estão relacionados aos diferentes métodos de fixação das próteses sobre implantes, tais como o acesso, restrição da posição do implante, oclusão, saúde dos tecidos peri-implantares, retenção, passividade de ajuste, estética e custo (RAMOS et al., 2017).
Atualmente não há consenso sobre qual é o método ideal a ser utilizado para a fixação da coroa protética. Porém, o excesso de cimento em coroas cimentadas pode desempenhar um papel importante no desenvolvimento da doença peri-implantar e consequentes falhas (COSTA et al, 2021).
A estética da prótese sobre implante está relacionada a posição do implante. Entretanto, nas situações de perda óssea alveolar, o posicionamento do implante pode ficar comprometido para aproveitamento satisfatório da totalidade da viabilidade óssea (ANITUA, ALKHRAISAT, 2019).
A utilização dos pilares angulados da linha Ideale aumentam a versatilidade na escolha do método de fixação da coroa protética, proporcionando resultados funcionais e estéticos favoráveis (GEHRKE et al., 2021).
O presente trabalho teve por objetivo elucidar, através do relato de caso clinico, o tratamento de uma paciente com lesão periapical extensa envolvendo o elemento 11, onde foi realizada implantação imediata, enxerto com biomaterial de origem bovina, membrana de PTFE-d e reabilitação protética com coroa parafusada, que só foi possível através da utilização do pilar angulado da linha Ideale.
Relato de caso
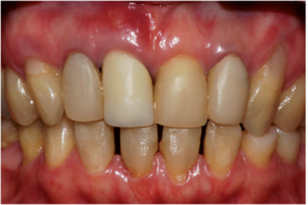
Paciente A.N., sexo feminino, 54 anos, procurou a clínica odontológica com fistula na região do elemento 11 (Figura 1). Foi solicitada tomografia computadorizada Cone Beam da região (Figura 2). Ao exame tomográfico foi diagnosticada a lesão periapical extensa, com perda óssea, envolvendo o elemento 11 (Figura 3). O plano de tratamento proposto foi a exodontia do elemento 11, curetagem da lesão e instalação imediata de um implante Cone Morse, juntamente com o procedimento de ROG, fazendo uso de biomaterial de origem bovina (Bio-Oss 0,25) e membrana de PTFE-d (Cytoplast TXT–200, Osteogenics – Lubbock TX, EUA) no mesmo momento cirúrgico.
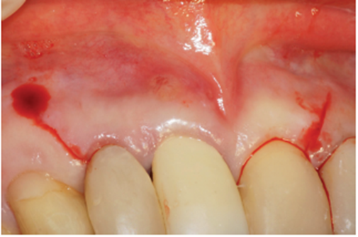
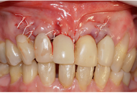
O procedimento cirúrgico foi iniciado através de uma anestesia infiltrativa com articaína 4%. Foram realizadas incisões relaxantes (Figura 4) para expor o leito cirúrgico e, consequentemente, a lesão periapical (Figura 5). Após o deslocamento do retalho, foi realizada a exodontia de forma atraumática (Figura 6) e na sequência, foi feita a curetagem do alvéolo removendo todo o tecido de granulação (Figura 7). Uma vez realizada a toalete do leito cirúrgico (Figuras 8 e 9), o implante Cone Morse Due Cone de 3.5 X 13 mm (Implacil De Bortoli) foi instalado seguindo o melhor posicionamento dentro do rebordo residual, conforme planejado (Figuras 10 e 11). Em sequência, foi realizada a instalação do Cover Screw (Figura 12) e o preenchimento do defeito ósseo com biomaterial (Bio-Oss 0,25), conforme figuras 13 e 14). O fechamento foi realizado com membrana de PTFE-d (Cytoplast TXT–200, Osteogenics – Lubbock TX, EUA), customizada para ser adaptada sobre o defeito ósseo, estendendo-se de 3 a 5 mm da margem do defeito ósseo e intencionalmente exposta (Figura 15). A sutura foi realizada com fio de PTFE (Cytoplast), como podemos observar na figura 16, e instalado um provisório adesivo na região (Figura 17).
Para a restauração protética foi planejada uma prótese parafusada. No entanto, se os protocolos convencionais fossem seguidos, dificilmente seria possível o travamento do implante na posição desejada para esse procedimento utilizando um pilar reto. Dessa forma, foi utilizada a linha de pilares Ideale (Implacil De Bortoli), por possuir pilares angulados que permitem o aparafusamento das próteses em reabilitações unitárias. Esses pilares podem ser de 17 ou 30 graus, aumentando assim a versatilidade na escolha do melhor posicionamento do implante em relação ao rebordo residual.











posicionamento dentro do rebordo residual.










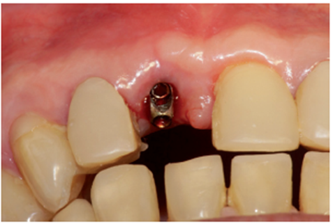
Após quatro meses foi realizado o segundo tempo cirúrgico com fresa cilíndrica diamantada, acessando somente o Cover Screw (Figura 22). O Cover Screw foi removido com a chave de 1.2 (Figura 23), um cicatrizador foi instalado (Figura 24) e o provisório foi reposicionado.
Na consulta seguinte, o cicatrizador foi removido e através do Kit de seleção de componentes, o pilar protético foi selecionado. O pilar de escolha foi o Ideale 3.3 x 4.0 x 1.5 angulado de 30 graus. Neste momento foi realizada uma moldagem com transferente de moldeira fechada (Figuras 25 e 26) para copiar o posicionamento tridimensional do implante e o modelo de trabalho foi obtido.





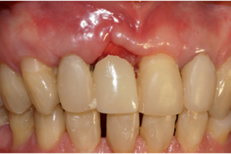
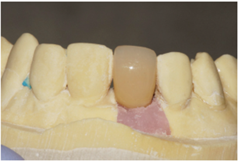
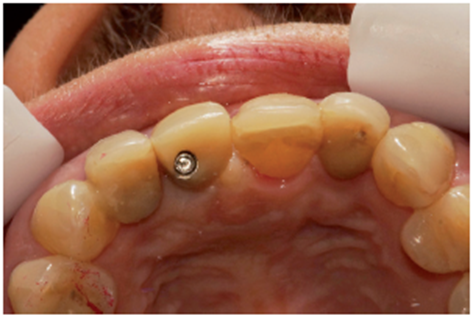
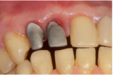
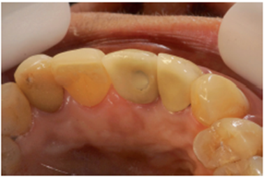
No laboratório, o técnico de prótese posicionou o pilar Ideale angulado no modelo (Figura 27) e confeccionou um incisivo central parafusado sobre ele, utilizando a coifa de provisório que o sistema oferece (Figura 28). Uma vez obtido o provisório, o cicatrizador voltou a ser removido e o pilar Ideale e o provisório foram instalados em boca (Figuras 30 e 31). O pilar foi torqueado em 20 Ncm e o parafuso da coroa foi torqueado em 10 Ncm. Após 15 dias, o provisório foi removido e observou-se o perfeito perfil de emergência que havia sido obtido (Figura 33). Neste novo momento foi posicionado sobre o pilar um transferente plástico de moldeira fechada do pilar Ideale, sendo que tanto o pilar como o dente 12 foram moldados (Figura 34) para a confecção de copings e posterior a aplicação da cerâmica (Figura 35).
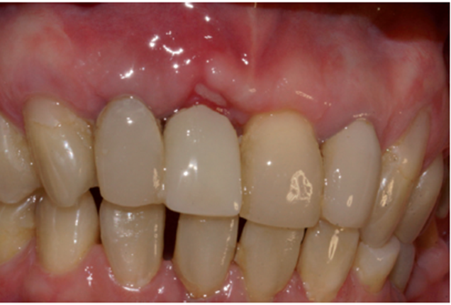
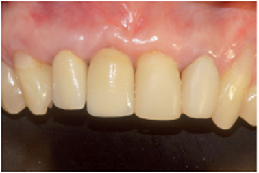
Após a conclusão desses passos pelo laboratório, a prótese do elemento 12 foi cimentada com fosfato de zinco e a prótese sobre o pilar Ideale foi parafusada e torqueada a 10 Ncm (Figura 36). O orifício de acesso foi restaurado com resina fotopolimerizável (Figura 37). Uma radiografia final foi realizada, demonstrando o perfeito assentamento da coroa sobre o pilar Ideale.













Discussão
Nos dias atuais, a utilização de implantes dentários imediatos tem sido um procedimento amplamente utilizado e bem documentado na prática odontológica. A reabilitação oral restabelece o sistema estomatognático, devolvendo função, fonética, estética, conforto e autoestima aos pacientes desdentados (JURADO et al., 2022).
A associação com a ROG tem melhorado ainda mais os resultados funcionais e estéticos. O preenchimento dos defeitos ósseos com biomateriais é bem indicado pela maioria dos autores, com altas taxas de comprovação cientifica (BARBOSA et al., 2019). A membrana de PTFE-d pode ser utilizada para proporcionar uma correta manutenção do arcabouço ósseo e dos tecidos moles (ARAÚJO et al., 2020).
Posteriormente ao período de osseointegração do implante dentário, a preocupação nos tratamentos reabilitadores é a estabilidade mecânica a longo prazo. Devem ser observados o grau de adaptação entre a interface implante-pilar, que estão ligados tanto ao torque aplicado aos parafusos quanto à precisão de fabricação dos componentes (GETURKE et al., 2017). Ainda não há um consenso entre os autores sobre o melhor tipo de fixação da coroa protética. As técnicas de fixação cimentadas e parafusadas possuem vantagens e desvantagens (COSTA et al., 2021).
Em revisão sistemática, Campos e colaboradores, em 2019, concluíram que as próteses cimentadas sobre implantes tem como principal vantagem a passividade e a integridade da superfície oclusal. Como principal desvantagem tem sido relacionada a dificuldade de remoção dos excessos de cimento, resultando na presença de fistulas e supurações e doenças peri-implantares. Outra desvantagem é a dificuldade de reversibilidade, sendo necessária a destruição da coroa protética para remoção da mesma.
Entre as principais vantagens das coroas parafusadas estão a previsibilidade de reversibilidade sem destruição da prótese, insignificante espaço entre prótese-implante, diminuindo, dessa forma, o acúmulo de placa bacteriana nos tecidos peri-implantares. A maior desvantagem é o orifício de acesso ao parafuso (CAMPOS, MELO, 2019).
O pilar angulado da linha Ideale permite a utilização da contenção parafusada de coroas em implantes que foram instalados, aproveitando o remanescente ósseo, principalmente em casos de perdas ósseas, onde a utilização do pilar reto só proporcionaria o uso de coroas cimentadas, aumentando, dessa forma, as possibilidades de escolha do cirurgião quanto ao tipo de fixação a ser empregada em cada caso (GEHRKE et al., 2021).
No presente caso clínico, existia perda óssea causada pela lesão apical. A implantação imediata com o posicionamento adequado aproveitando a maior quantidade de remanescente ósseo foi realizada associada ao enxerto com biomaterial de origem bovina e membrana de PTFE-d. A escolha pela reabilitação com coroa protética parafusada só foi possível devido a utilização do pilar angulado da linha Ideale de 30 graus.
Conclusão
A implantação imediata, com regeneração óssea guiada, associada a utilização do pilar angulado da linha Ideale, mostrou-se uma alternativa viável de tratamento neste caso, viabilizando a confecção de prótese parafusada em região de pré-maxila com extensa lesão periapical, proporcionando resultados funcionais e estéticos satisfatórios.
REFERÊNCIAS BIBLIOGRÁFICAS
1- ABD–Elrahman, Ahmed et al. Socket shield technique vs conventional immediate implant placement with immediate temporization. Randomized clinical trial. Clinical implant dentistry and related research, v. 22, n. 5, p. 602-611, 2020.
2- Anitua E, Alkhraisat M. Clinical Performance of Short Dental Implants Supporting Single Crown Restoration in the Molar Premolar Region: Cement Versus Screw Retention. Int J Oral Maxillofac Implants. 34(4):969-976, 2019
3- Araújo, L. K., Antunes, G. S., Melo, M. M. & Castro-Silva, I. I. Brazilian dentists’ perceptions of using bone grafts: an inland survey. Acta odontologica latinoamericana, 33 (3), 153–164, 2020.
4- Araújo, Mauricio G. et al. Socket healing with and without immediate implant placement. Periodontology 2000, v. 79, n. 1, p. 168-177, 2019.
5- Barbosa Junior, Sales Antônio et al. Collagen vs expanded polytetrafluorethylene membranes during guided-bone regeneration simultaneous with implant placement: a systematic review. Journal of Oral Investigations, p. 59-72, 2019.
6- Barboza EP, Stutz B, Mandarino D, Rodrigues DM, Ferreira VF. Evaluation of a dense polytetrafluoroethylene membrane to increase keratinized tissue: a randomized controlled clinical trial. Implant Dent 2014; 23(3):289-94.
7- Bassir SH, El Kholy K, Chen CY, Lee KH, Intini G. Outcome of early dental implant placement versus other dental implant placement protocols: A systematic review and meta-analysis. J Periodontol. 2019 May;90(5):493-506. doi: 10.1002/JPER.18-0338. Epub 2018 Dec 5. PMID: 30395355; PMCID: PMC6500770.
8- Blanco J, Carral C, Argibay O, Liñares A. Implant placement in fresh extraction sockets. Periodontol 2000. 2019 Feb;79(1):151-167. doi: 10.1111/prd.12253. PMID: 30892772.
9- Campos, Fábio Alexandre de Lima, MELO, Antônio Renato. Próteses sobre implantes cone morse cimentadas versus parafusadas: vantagens e desvantagens. Brazilian Journal of Implantology and Health Sciences. v.1, n.4, p. 84-100, 2019.
10- Canellas JVDS, Medeiros PJD, Figueredo CMDS, Fischer RG, Ritto FG. Which is the best choice after tooth extraction, immediate implant placement or delayed placement with alveolar ridge preservation? A systematic review and meta-analysis. J Craniomaxillofac Surg. 2019 Nov;47(11):1793-1802. doi: 10.1016/j.jcms.2019.08.004. Epub 2019 Aug 27. PMID: 31522823.
11- Castro-Silva, Igor Iuco et al. Pesquisa odontológica brasileira em regeneração óssea guiada: um estudo bibliométrico de quatro décadas. Research, Society and Development, v. 10, n. 2, p. e25510212504-e25510212504, 2021.
12- Castro-Silva, I. I., Guerrero, J. A. P., Gomes, M. J. P. & Souza Filho, M. S. M. Biotechnological potential of by-products of the Brazilian animal protein industry in the generation of xenogeneic biomaterials for bone regeneration. Trends in Research, 1 (3), 1–2, 2018.
13- Chrcanovic BR, Albrektsson T, Wennerberg A. Dental implants inserted in fresh extraction sockets versus healed sites: a systematic review and meta-analysis. J Dent 2015; 43(1):16-41.
14- Costa, Bruna Palmeira et al. Prótese sobre implante cimentada e parafusada: considerações clínicas atuais. RGO-Revista Gaúcha de Odontologia, v. 69, 2021.
15- Cosyn, Jan et al. The effectiveness of immediate implant placement for single tooth replacement compared to delayed implant placement: a systematic review and meta–analysis. Journal of clinical periodontology, v. 46, p. 224-241, 2019.
16- De Paula, Tereza Carla Santiago; De Souza Fernandes, Atson Carlos. Uso de membranas de barreira para regeneração óssea guiada na Implantodontia. Revista de Odontologia da UNESP, v. 49, n. Especial, p. 79-0, 2021.
17- De Souza Filho, João Batista Melo et al. Implante imediato com enxerto ósseo: Revisão de literatura Immediate implantation with bonegraft: Literature review. Brazilian Journal of Development, v. 7, n. 12, p. 118293-118306, 2021.
18- Jurado, Carlos A. et al. Soft Tissue Management on Pontic and Implant Sites Before Implants Insertion. Cureus, v. 14, n. 4, 2022.
19- Dos Santos Caetano, Adriana; Bizelli, Vinícius Ferreira; Júnior, Edgard Franco Moraes. Aumento vertical em região posterior de mandíbula com regeneração óssea guiada (ROG) associado ao uso do L-PRF: relato de caso. Revista de Odontologia da UNESP, v. 47, n. Especial, p. 0-0, 2019.
20- Gehrke, Sergio Alexandre et al.A new design of a multifunctional abutment to morse taper implant connection: Experimental mechanical analysis. Journal of the Mechanical Behavior of Biomedical Materials, 116, 104347. 2021
21- Geturke, S.A. Delgado Ruiz, B.A. Pridos Frutos. Pracos Privado, M. Decavid. IA G ro Marin, M, Calvo Citindo, L., Misfit of th e plant aument s before and after cyclic pplication in vitro study. Int J. Maxilla, 2017.
22- Lemes HD, Sartori IA, Cardoso LC, Ponzoni D. Behaviour of the buccal crestal bone levels after immediate placement of implants subjected to immediate loading. Int J Oral Maxillofac Surg 2015; 44(3):389-94.
23- Naenni N, Schneider D, Jung RE, Hüsler J, Hämmerle CHF, Thomas DS. Estudo clínico randomizado avaliando duas membranas para regeneração óssea guiada de defeitos ósseos periimplantares: resultados clínicos e histológicos em 6 meses. Clin Implantes Orais Res. 2017;28(10):1309–1317.
24- Pilger, Alan Dal’Alba et al. Membranas e barreiras para regeneração óssea guiada. Revista de Ciências Médicas e Biológicas, v. 19, n. 3, p. 441-448, 2020.
25- Ramos, Daniel Batista Caires et al. Prótese Sobre Implante Cimentada Ou Parafusada: Aplicabilidade Clínica. Journal of Dentistry & Public Health, v. 8, n. 4, p. 141-144, 2017.
26- Saima S, Jan S, Shah A, Yousuf A, Batra M. Enxertos Ósseos e Substitutos Ósseos em Odontologia. J Res. Oral Rev. 2016;8(1):36–38.
27- Seyssens, Lorenz; de Lat, Liesa; Cosyn, Jan. Immediate implant placement with or without connective tissue graft: a systematic review and meta–analysis. Journal of Clinical Periodontology, v. 48, n. 2, p. 284-301, 2021.
28- Wallner G, Rieder D, Wichmann MG, Heckmann SM: Peri-implant bone loss of tissue-level and bone-level implants in the esthetic zone with gingival biotype analysis. Int J Oral Maxillofac Implants. 2018, 33:1119-25. 10.11607/ jomi.6641
*Artigo publicado na REVISTA SULBRASILEIRA DE IMPLANTODONTIA & HOF – ANO 20 / Nº21





