Por Tárcio Skiba, Jalisson Vicente, Bruno Sá, Renata Tarnoschi, Mariane Pedott, Matheus Coutinho e Silvani Oliveira.
Resumo
Para uma reabilitação com implantes dentários se faz necessário o uso de um planejamento minucioso no pré-operatório através de softwares específicos para então realizar o procedimento cirúrgico. Este artigo tem como objetivo apresentar um relato de caso clínico de cirurgia de instalação de implante com guia prototipado para protocolo em região de mandíbula com carga imediata de provisório prototipado confeccionado por manufatura aditiva (impressão 3D). A técnica utilizada neste artigo se mostrou eficiente e previsível de sucesso. O paciente relatou satisfação quanto ao procedimento cirúrgico e a instalação da prótese.
Descritores: Prótese dentária, reabilitação, estética dentária, implantes dentários, planejamento de prótese dentária.
1- Introdução
Com os estudos realizado por Brånemark foi possível dar início a uma nova era odontológica, nos possibilitando explorar e empregar o conceito de osseointegração. Uma revolução colossal surgiu naquele momento, onde pacientes tidos como inválidos orais, fossem totais ou parciais, passaram a ter a chance de receber um tratamento reabilitador que lhes devolveria com muita eficiência a função e a estética, além da qualidade de vida social, psicológica e nutricional2.
Atualmente, o conceito osseointegração já está bem consolidado na literatura, não sendo mais um desafio os seus mecanismos, entretanto, a posição na qual os implantes deverão ser instalados seguindo o princípio protético/cirúrgico ainda segue como um grande desafio5.
As primeiras cirurgias de implantes eram realizadas tendo como referência modelos de gesso e exames de Raio X panorâmico, o que demandava do cirurgião um grande conhecimento e experiência nas instalações de implantes perto de estruturas nobres, pois se fazia necessária a tomada de muitas decisões no transcirúrgico1.
Os exames de Raio X panorâmico proporcionam uma noção de altura de osso disponível, mas jamais de espessura por se tratar de um exame bidimensional de estruturas tridimensionais. Uma vez que os exames de imagem panorâmicos apresentam limitações por oferecerem imagens bidimensionais, a tomografia Cone Beam vem ganhando espaço no âmbito cirúrgico odontológico por apresentar imagens nítidas, sem distorções e com dimensões reais, consolidando-se como um exame útil e exato para avaliar tecido mole e ósseo1.
Para a reabilitação com implantes dentários se faz necessário um planejamento minucioso no pré-operatório, no qual haverá a instalação dos implantes na inclinação ideal para uma prótese com funções oclusais. Ao compreendermos o implante dentário como um meio e não um fim, ou seja, ele será o elemento onde será fixado a prótese, é imprescindível que sua posição esteja tridimensionalmente correta14.
A cirurgia guiada prototipada vem como uma técnica que associa as informações de uma tomografia computadorizada com as do planejamento protético, trazendo mais segurança para a execução do implante dentário15.
Os dados obtidos através da tomografia são organizados em um programa específico, tal como o NobelGuide, Simplant, DentalSlice e Blue Sky Plan, por exemplo. Depois de organizados, os dados do escaneamento e tomográficos são cruzados no software onde é feito o planejamento e a confecção virtual da guia, processo denominado CAD (Computer Aided Desgn). Depois, exportados em formato STL (Standard Triangle Language) para ser realizada a manufatura no processo denominado CAM (Computer Aided Manufacturing), funcionando assim como um guia cirúrgico de alta precisão15.
O planejamento das cirurgias guiadas nos permite fazer uso de técnicas avançadas, como da cirurgia flapless, a qual consiste em uma cirurgia minimamente invasiva sem uso de retalhos, proporcionando ao paciente um menor trauma e menor tempo cirúrgico, melhor pós-operatório, ausência de suturas, além da manutenção da integridade dos tecidos peri-implantares10.
A cirurgia guiada prototipada está indicada em casos de colocação de implantes dentários sem retalho e instalação de prótese imediata e tardia, reabilitações unitárias com prótese pré-fabricada, fixações zigomáticas, entre outras indicações6.
Este artigo tem como objetivo realizar uma revisão de literatura sobre cirurgia guiada prototipada de fresagem e instalação de implantes dentários, além de apresentar um relato de caso clínico de cirurgia de implante com guia prototipado para protocolo em região de mandíbula com carga imediata de provisório prototipado confeccionado por manufatura aditiva 3D (impressão).
2- Relato de Caso
Paciente SJD, de gênero masculino, 74 anos, leucodermo, compareceu à clínica de especialização em Implantodontia (FACSETE – Porto Velho – RO, Brasil), queixando-se das ausências dentárias. Paciente fazia uso de prótese total removível na região inferior e superior.
No primeiro atendimento foi realizado exame clínico e anamnese, onde o paciente relatou possuir diabetes, pressão alta e fazer uso de Xigduo xr 10 mg/ 1000 mg e Espironolactona 25 mg para controle das doenças respectivamente citadas. Também foram realizadas fotografias iniciais (Figura 1) e solicitados exames complementares de colesterol total, hemograma completo, hemoglobina glicada, fosfatase alcalina, CTX (interligadores C do colágeno tipo 1 ou telopeptídeo), além do exame tomográfico. Não foram observadas contraindicações locais ou sistêmicas relevantes para realizar o procedimento cirúrgico de implante dentário.

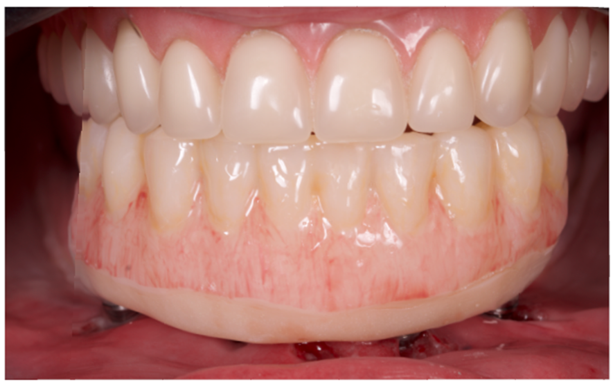
Após a avaliação do paciente e levando em consideração o conceito de tratamento com planejamento reverso, foi proposto uma prótese muco suportada superior e implantossuportada inferior ancorada em quatro implantes, utilizando a técnica de cirurgia guiada.
Para o planejamento das próteses, foi realizado uma moldagem convencional e obtido os modelos das arcadas do paciente, superior e inferior. Foram confeccionados a base de prova em rolete de cera e provados no paciente, e realizado os devidos ajustes. Após retornar do laboratório, foi realizada a prova dos dentes em rolete de cera da arcada superior e inferior, os quais foram aprovados pelo paciente e, posteriormente, enviados para acrilizar as próteses.
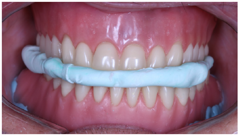
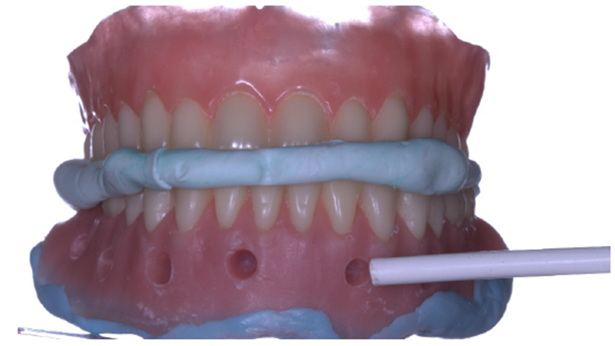
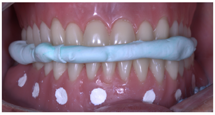
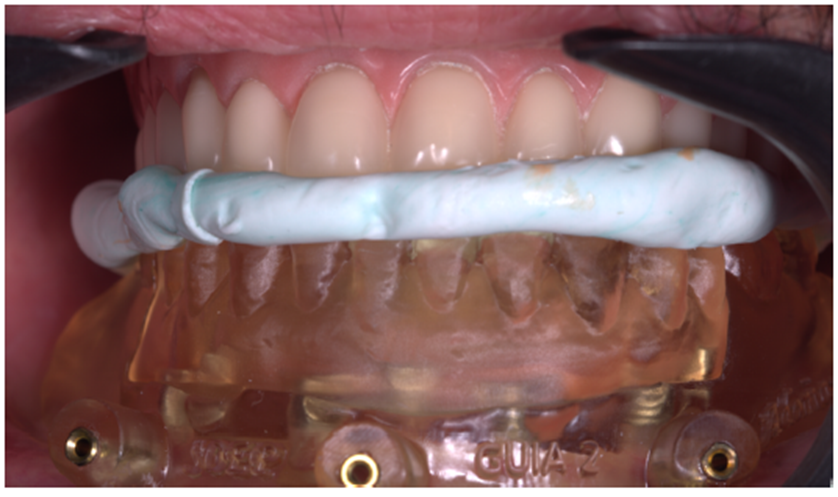
Para realizar o planejamento virtual de cirurgia guiada em pacientes desdentados totais, foi necessário a realização de alguns passos clínicos antes da tomografia. A prótese inferior foi transformada em um guia tomográfico, recebendo sete perfurações na sua face vestibular na região de flange, cerca de 3 a 4 mm acima dos dentes, que foram preenchidas com guta-percha, para servir como orientação durante o planejamento. Esta foi adaptada ao rebordo alveolar através de reembasamento com silicona flúida (Zetaplus – Zermack, SpA, Roma, Itália) e a oclusão ajustada e registrada com uma muralha de silicona pesada (Zetaplus – Zermack, SpA, Roma, Itália), visando assim a manutenção e estabilização durante o exame (Figuras 2, 3 e 4).



A fase de aquisição de imagens tomográficas foi baseada na técnica de escaneamento duplo, a qual consiste em realizar duas tomografias computadorizadas de feixe cônico (TCFC), sendo a primeira com o paciente com a prótese superior e o guia tomográfico junto com o registro de mordida, e a segunda somente do guia tomográfico.
Os exames tomográficos foram obtidos através do TCFC Gendex CB-500 (i-Cat, ImagingSciences, Hatfield, EUA). Foi utilizado o seguinte protocolo para aquisição das imagens: – FOV de 8.5 cm, com tempo de aquisição de 23 segundos e 0,25 mm de voxel, onde foi utilizado 120 KVP e 30,89 mAs.
As imagens foram segmentadas e fusionadas, possibilitando a visualização do guia tomográfico em posição e sua relação com a estrutura óssea do paciente. Os arquivos com extensão digital imaging and communications in medicine (DICOM) foram convertidos para o formato próprio do softwareBlue Sky Plan (Blue Sky Bio® – Libertyville, Illinois, EUA), que permitiu que as imagens tomográficas fossem transformadas em objetos 3D (Figura 5).

A partir desse recurso, foi possível planejar a instalação dos implantes em sua posição final. Os arquivos foram enviados para empresa Raio 3D (Porto Velho – RO) para confecção do guia prototipado através do processo de estereolitografia. A base de assentamento dos guias tomográfico e prototipado foram comparados e a prova clínica não mostrou sinais de desadaptação ou pressão em qualquer área (Figuras 6 e 7).


A cirurgia guiada para instalação dos implantes foi realizada em clínica odontológica sob anestesia local, sem a necessidade de abertura de retalhos em virtude da adequada adaptação do guia prototipado sobre o tecido mucoso. O kit de cirurgia guiada utilizado foi o Raptor (Implacil De Bortoli – São Paulo – SP, Brasil).
Após anestesia, o guia foi estabilizado por meio de registro interoclusal com silicona pesada e três pinos fixadores foram instalados. Procedeu-se então a instrumentação cirúrgica através da fresagem com brocas lança, broca 2.0 e 2.8, a uma velocidade de 1.200 rpm com o respectivo guia, anilhas e colheres, sob irrigação com solução salina abundante.
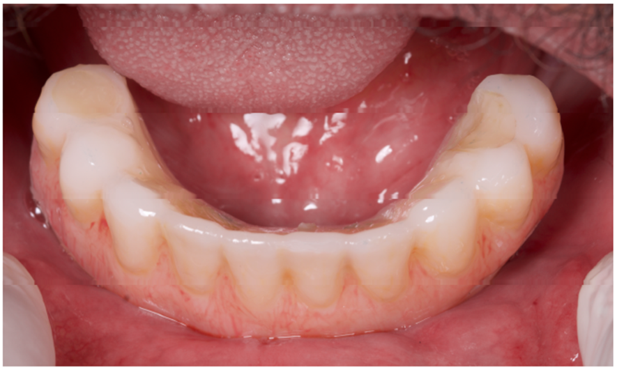
Posteriormente, os quatro implantes (Due Cone e Maestro CM, Implacil De Bortoli) foram instalados em distribuição trapezoidal, sendo: na região do dente 32, um implante de 9 mm com 60 Ncm; na região do dente 35, um implante de 9 mm com 45 Ncm; na região do dente 42, um implante de 13 mm com 60 Ncm e na região do dente 45, um implante de 11 mm com 32 Ncm (Figuras 8 e 9).
Uma vez que os implantes apresentaram adequada estabilidade primária, estes foram submetidos à técnica de carga imediata. O guia foi removido, e então instalados os mini cônicos de 4.8×2,5 (Implacil De Bortoli), com torque de 20 Ncm (Figura 10).


Em seguida, foram colocadas as coifas de titânio (Figura 11) e capturados com resina Alike 60 em uma prótese provisória, já impressa e maquiada pelo laboratório utilizando com encaixe na guia prototipada confeccionada para sua captura, e feito o devido acabamento e polimento da prótese provisória e posteriormente o ajuste de oclusão (Figuras 12 e 13).




3- Conclusão
Nesse relato de caso clínico, a técnica se mostrou eficiente e previsível de sucesso e o paciente relatou satisfação quanto ao procedimento cirúrgico e a instalação da prótese.
REFERÊNCIAS
1- ALBANI, M. Et al. Planejamento cirúrgico dos Implantes Dentários; Revista Gaúcha de odontologia; abr/2007, v. 33, p. 71-80.
2- BRANEMARK PI, ZARB G, ALBREKTSSON T. TISSUE Integrated Prostheses. Osseointegration in Clinical Dentistry. Quintessensse; 1985.
3- CARVALHO IFA. Revisão sistemática do desempenho clínico de restaurações unitárias executadas em CAD/CAM. Dissertação. Universidade católica portuguesa. 2017.
4- DELLA BONA A, CANTELLI V, BRITTO VT, COLLARES KF, STANSBURY JW. 3D printing restorative materials using a stereolithographic technique: a systematic review. Dent Mater. 2021;37(2):336–50
5- DIAS, M. Et al. Uso de guias no planejamento de próteses sobre implantes. Full Dent. Marc/2016.
6- DI GIACOMO GA, DA SILVA JV, DA SILVA AM, PASCHOAL GH, CURY PR, SZARF G. Accuracy and complications of computerdesigned selective laser sintering surgical guides for flapless dental implant placement and immediate definitive prosthesis installation. J Periodontol. 2012;83(4):410-19.
7- DREISEIDLER T, NEUGEBAUER J, RITTER L, LINGOHR T, ROTHAMEL D, MISCHKOWSKI RA, ZÖLLER JE. Accuracy of a newly developed integrated system for dental implant planning. Clin Oral Implants Res. 2009;20(11):1191-9
8- FORTIN T, BOSSON J-L, ISIDORI M, BLANCHET E. Effect of flapless surgery on pain experienced in implant placement using na image-guided system. International Journal of Oral and Maxillofacial Implants. 2006;21(2):298-304.
9- MORESCHI E, VILMAR DG, TRENTO CL, ZAMPONI M, ZARDETTO JUNIOR R, ALEIXO TRC. Cirurgia guiada por computador associada a função imediata: análise de um ano de acompanhamento clínico. ImplantNews. 2011;8(1):20-4.
10- KAN JOSEPH Y. K., KITICHAI RUNGCHARASSAENG, Immediate Placement And Provisionalization Of Maxillary Anterior Single Implants: A Surgical And Prosthodontic Rationale Practical-Periodontics and Aesthetic Dentistry: PPAD · November 2000
11- KAN JY, RUNGCHARASSAENG K, LOZADA J. Immediate placement and provisionalization of maxillary anterior single implants:1-Year prospective study. Int J Oral Maxillofac Implant. 2003;18-31.
12- KENT G. Effects of osseointegrated implants on psychological and social well-being: A literature review. J Prosthet Dent 1992; 68(3):515-518.
13- KESSLER A, HICKEL R, REYMUS M. 3D printing in dentistry-state of the art. Oper Dent. 2020;45(1):30–40.
14- KOYANAGI K. Development and clinical application of a surgical guide for optimal implant placement. J. Prosthet Dent. 2002;88(5):548-52.
15- LALEMAN I, BERNARD L, VERCRUYSSEN M, JACOBS R, BORNSTEIN MM, QUIRYNEN M. Guided implant surgery in the edentulous maxilla: a systematic review. Int J Oral Maxillofac Implants. 2016;31(Suppl):s103-17.
16- LENHARO A. Avaliação experimental da técnica de carga imediata em segmento posterior de mandibula de cães. Araçatuba: Universidade Estadual Paulista Júlio de Mesquita Filho; 2004.
17- MARGEAS RC. Predictable periimplant gingival esthetics: use of natural tooth as a provisional following implant placement. J Esthet Restot Dent 2006; 18(1):5-12.
18- MANGANO C, MANGANO F, PIATTELLI A, IEZZI G, MANGANO A, COLLA L. Prospective clinical evaluation of 1920 morse taper-connection implants: results after 4 years of functional loading. Clin Oral Impl Res 2009; 20(3):254-261.
19- MELONI., et al. Computer-guided implant surgery: A critical review of treatment concepts. Journal of Oral and Maxillofacial Surgery,Medicine, and Pathology; may/2013.
20- SCLAR AG. Guidelines for flapless surgery. J Oral Maxillofac Surg. 2007;65(7 Suppl1):20-32.
21- COELHO, P.G.; JIMBO, R. Osseointegration of metallic devices: Current trends based on implant hardware design. Arch. Biochem. Biophys. 2014, 561, 99–108.
22- DANIEL BUSER, MARTIN WILLIAM, Optimizing Esthetics for Implant Restorations in the Anterior Maxilla: Anatomic and Surgical; The International journal of oral & maxillofacial implants; January 2004
23- GEHRKE ALEXANDRE, TUMEDEI MARGHERITA, JAIME ARAMBURÚ, TREICHEL TIAGO, RONI KOLERMAN, STEFANIA LEPORE, PIATTELLI ADRIANO, LEZZI GIOVANNA; – Histological and Histomorphometrical Evaluation of a New Implant Macrogeometry. A Sheep Study; International Journal of Environmental Research and Public Health 2020, 17, 3477; doi:10.3390/ijerph17103477
24- HOWARD GLUCKMAN, CARLA CRUVINEL PONTES, AND JONATHAN DU TOIT: Radial plane tooth position and bone wall dimensions in the anterior maxilla: A CBCT classification for immediate implant placement Copyright © 2017 by the Editorial Council for The Journal of Prosthetic Dentistry




