Por Thayane Furtado e Felipe Pohlmann
Introdução
Pacientes idosos com histórico de doença periodontal avançada frequentemente apresentam perda dentária e reabsorção óssea significativa. No caso em questão, um paciente de 75 anos apresentava mobilidade acentuada e comprometimento periodontal nos incisivos inferiores centrais (dentes 31 e 41), indicando prognóstico desfavorável e a necessidade de exodontia.
A perda desses elementos na região anteroinferior representa um desafio tanto funcional quanto estético. Planejou-se então uma reabilitação imediata com implantes osseointegrados, visando minimizar o tempo de edentulismo e preservar ao máximo as estruturas ósseas e gengivais remanescentes. Estudos clínicos suportam a abordagem de implante imediato pós-extração, mostrando taxas de sobrevivência semelhantes à de implantes colocados tardiamente em osso cicatrizado. Além disso, a instalação imediata do implante após uma extração atraumática pode manter a altura e espessura do rebordo alveolar e a integridade dos tecidos moles, favorecendo a posição tridimensional ideal do implante e um resultado estético superior. Neste relato, discute-se detalhadamente a sequência de tratamento – da exodontia atraumárica com instalação de implantes de diâmetro reduzido (Stretto) ao uso de biomateriais de enxertia (Extra Graft XG-13) e seleção de componentes protéticos, ressaltando fundamentos técnicos e evidências relevantes para uma reabilitação previsível em regiões de espaço restrito.

Justificativa clínica e planejamento do caso
A decisão pela extração dos dentes 31 e 41 baseou-se em critérios de severidade periodontal (mobilidade grau III e perda óssea vertical) e na falta de suporte adequado para manter esses elementos. A substituição por implantes imediatos foi indicada a fim de evitar a remodelação óssea excessiva pós-extração e preservar o contorno gengival papilar da região anterior. O procedimento foi meticulosamente planejado com abordagem minimamente invasiva: optou-se pela técnica sem abertura de retalho, executando exodontias minimamente traumáticas para manter intactos o periósteo e as paredes alveolares. Essa abordagem visa reduzir a invasividade cirúrgica e preservar suprimento sanguíneo periosteal, contribuindo para menor reabsorção óssea e melhor manutenção das papilas interdentais. Na literatura, a preservação dos tecidos duros e moles obtida com exodontia atraumática e instalação imediata do implante está associada à estabilidade volumétrica do rebordo alveolar, facilitando a estética das papilas e do perfil de emergência da futura prótese. Adicionalmente, ao evitar um período prolongado de edentulismo ou o uso de próteses removíveis temporárias, promove-se maior conforto e aceitação por parte da paciente, alinhando a conduta clínica às expectativas funcionais e psicológicas.

Do ponto de vista protético, havia um fator crítico a ser considerado: o espaço mésio-distal reduzido na região dos incisivos inferiores. Frequentemente, o espaço entre raízes de incisivos inferiores ou entre um canino e a linha média é inferior a 6 mm, tornando inviável a instalação de implantes convencionais (>3,5 mm) sem risco de invadir o espaço periodontal dos dentes vizinhos. Nesse contexto, implantes de diâmetro reduzido são indicados para reabilitar áreas com disponibilidade óssea limitada, como incisivos laterais superiores ou incisivos inferiores. Optou-se pelo implante Stretto (Implacil Osstem) de 3,0 mm de diâmetro e 11,5 mm de comprimento exatamente por essa limitação de espaço. Essa linha de implantes, por possuir conexão interna cônica do tipo cone morse indexado, maximiza a área de contato osso-implante e a estabilidade do pilar protético mesmo em diâmetros estreitos. Vale destacar que estudos relatam que a redução do diâmetro do implante, quando compensada por comprimento adequado e por um desenho de conexão interna, não prejudica as taxas de sucesso ou a perda óssea marginal em comparação a implantes de diâmetro padrão. Em suma, o planejamento considerou a necessidade de preservar os tecidos, a escolha de um implante compatível com o espaço anatômico disponível e a preparação de medidas para manutenção do volume alveolar pós-extração.

Exodontia atraumática e instalação imediata dos implantes
Em um primeiro momento foi feito um pequeno desgaste com ponta diamantada nas faces mesiais dos dentes 32 e 42 para aumentar o espaço mésio-distal. Com a paciente sob anestesia local adequada, procedeu-se às exodontias dos incisivos 31 e 41 utilizando técnica minimamente traumática. Realizou-se incisão intrasulcular ao redor dos dentes e uso delicado de periótomo e alavancas de pequeno porte, promovendo a luxação e remoção cuidadosa das raízes sem descolar retalhos mucoperiostais. Essa técnica conservadora preservou os tecidos peri-implantares – em especial a papila interdental entre os dentes 32 e 42 – e manteve a integridade das paredes ósseas alveolares, fundamentais para a estética e cicatrização. Confirmada a ausência de fenestrações ou deiscências ósseas pós-exodontia, prosseguiu-se imediatamente com a osteotomia para instalação dos implantes. Seguiu-se o protocolo de fresagem recomendado pelo fabricante para o implante Stretto, utilizando sequência de brocas de diâmetro incremental adequado à densidade óssea presente. O conjunto Stretto apresenta brocas desenhadas para preparos precisos e minimamente invasivos, facilitando a instalação em sítios com espaço limitado. A preparação atingiu estabilidade primária suficiente apicalmente, permitindo o travamento dos implantes nos alvéolos frescos. Foram instalados dois implantes cone morse Stretto (Ø 3,0 mm x 11,5 mm) nas posições 31 e 41, posicionados de forma centralizada nos respectivos alvéolos e com paralelismo adequado entre si. Importante notar que o implante Stretto foi desenvolvido especificamente para situações críticas de espaço protético e ósseo reduzido, combinando facilidade cirúrgica e versatilidade protética para reabilitar tais casos.

Importante notar que o implante Stretto foi desenvolvido especificamente para situações críticas de espaço protético e ósseo reduzido, combinando facilidade cirúrgica e versatilidade protética para reabilitar tais casos. Ao término da inserção, os implantes apresentavam boa estabilidade primária (torque moderado), e optou-se por não os submeter à carga imediata direta, priorizando a preservação do enxerto e a osseointegração sem micro movimentação excessiva. Então, foi instalado um cicatrizador com altura transmucosa baixa.

Extra Graft XG-13 na preservação alveolar
Neste caso, a preservação do volume alveolar pós-extração — especialmente da delicada tábua óssea vestibular dos incisivos inferiores — foi fundamental para garantir a previsibilidade estética e funcional do tratamento. Após a instalação dos implantes, os GAPs peri-implantares foram preenchidos com o Extra Graft XG-13 (Implacil Osstem), um biomaterial xenógeno composto por 75% de hidroxiapatita bovina e 25% de colágeno tipo I. Sua aplicação visa controlar a remodelação óssea natural e sustentar os tecidos moles, mantendo o contorno gengival e a estabilidade óssea ao longo do tempo.
As principais vantagens do Extra Graft XG-13 incluem:
- biocompatibilidade e osteocondução: a hidroxiapatita bovina mimetiza a composição do osso humano, oferecendo uma matriz bioativa para adesão celular. Associado a isso, o colágeno tipo I atua como arcabouço tridimensional que facilita a migração celular e carrega proteínas osteoindutoras, acelerando a regeneração óssea;
- manutenção de espaço e volume ósseo: seus grânulos de lenta reabsorção sustentam o perfil do rebordo, preservando a anatomia do alvéolo durante a osseointegração, especialmente importante em regiões estéticas;
- estabilidade do coágulo e apoio à cicatrização: a presença do colágeno confere coesão ao material, facilita o manuseio e estabiliza o coágulo, promovendo revascularização eficiente e favorecendo a formação óssea precoce.
A utilização deste biomaterial proporcionou suporte mecânico, estímulo biológico e redução da morbidade cirúrgica, sem necessidade de enxerto autógeno. Neste caso, não foi necessária a colocação de membrana, pois a técnica sem retalho, associada à boa adaptação gengival garantiu cobertura adequada do enxerto durante as fases iniciais de cicatrização.

Sutura e provisório pós-operatório
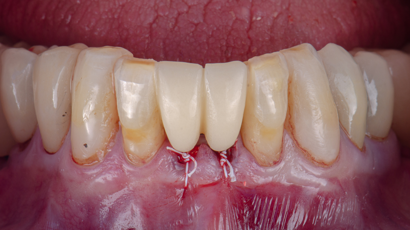
Após o preenchimento dos GAPs com enxerto, foi realizada a sutura visando estabilizar os tecidos e proteger o coágulo. Utilizou-se fio de PTFE (politetrafluoretileno) monofilamentar (Cytoplast – Implacil Osstem), material não reabsorvível altamente indicado em situações de tecidos finos ou áreas de regeneração óssea. Esse tipo de fio de sutura apresenta baixa aderência bacteriana e é biologicamente inerte, gerando mínima reação inflamatória nos tecidos. Tais propriedades são desejáveis para garantir uma cicatrização previsível, pois reduzem o risco de infecção do sítio cirúrgico e evitam isquemia marginal por excesso de tensão. O fio de PTFE também possui superfície lisa (baixo coeficiente de atrito) e boa maleabilidade, deslizando facilmente no tecido e facilitando a obtenção de nós firmes. No presente caso, isso permitiu manter as papilas suturadas com estabilidade, sem irritação aos tecidos – uma consideração importante dada o periodonto fino da região anterior inferior.

No pós-operatório imediato, a paciente recebeu um provisório fixo, confeccionado previamente de forma digital e executado em impressora 3D. Trata-se de uma prótese adesiva provisória impressa em resina, projetada para substituir os incisivos ausentes sem necessidade de apoiar-se sobre os implantes recém-colocados. Essa prótese possuía extensões em forma de aletas que foram cimentadas na face lingual dos dentes 32 e 42, previamente condicionados e discretamente preparados para receber as abas. A opção por um provisório adesivo colado aos dentes adjacentes traz diversas vantagens neste contexto: (1) preservação do implante em osseointegração: evita-se aplicar carga ou microtrauma sobre os implantes imediatos durante seu período crítico de cicatrização, uma vez que a prótese não exerce pressão sobre a região enxertada; (2) conforto e estética imediata: a paciente sai da cirurgia já com elementos dentários na região anterior, melhorando a fonética, estética do sorriso e a auto-estima, sem necessidade de prótese removível; (3) simplicidade e minimamente invasivo: o preparo nos dentes 32 e 42 foi leve, restringindo-se ao necessário para acomodação das aletas, preservando em grande parte a estrutura dental. Em resumo, o provisório adesivo funcionou como uma excelente solução transitória, protegendo o sítio cirúrgico enquanto devolvia função mastigatória leve e estética satisfatória no período de espera pela reabilitação definitiva.


Retorno pós-operatório e planejamento protético
Após cerca de três meses de pós-operatório (tempo necessário para os implantes osseointegrarem e os tecidos se maturarem), a paciente retornou para iniciar a fase protética definitiva. A decisão de prosseguir nesse momento baseou-se em sinais clínicos favoráveis de sucesso: ausência de inflamação gengival, estabilidade do rebordo alveolar e boa condição dos tecidos peri-implantares. Com a região devidamente cicatrizada e saudável, foi possível planejar com segurança a reabilitação protética final.

Preparos dentários e escaneamento digital
No primeiro momento clínico da reabilitação, foram realizados os preparos conservadores dos dentes adjacentes (32, 33, 42 e 43) que receberiam laminados. Em seguida, procedeu-se ao escaneamento intraoral digital, já com os transferentes digitais (scan bodies) acoplados sobre os implantes integrados. Esse fluxo digital permitiu capturar simultaneamente a posição tridimensional exata dos implantes e a forma dos preparos dentários. Com esses dados, foi possível planejar as coroas definitivas virtualmente em software CAD/CAM, de forma personalizada, respeitando o espaço protético disponível, a oclusão e a estética do sorriso. Esse processo integrado garante que todas as peças protéticas – tanto sobre dentes quanto sobre implantes – sejam confeccionadas de maneira precisa e harmônica em relação entre si.
Seleção e instalação dos pilares protéticos
Para os implantes, foram selecionados pilares protéticos retos da linha Stretto compatíveis com a plataforma reduzida dos implantes utilizados (diâmetro aproximado de 3,5 mm). Devido ao correto posicionamento tridimensional dos implantes, não houve necessidade de pilares angulados, simplificando a reabilitação. Esses pilares retos foram instalados e avaliados clinicamente (prova dos pilares), apresentando excelente adaptação e estabilidade. Com os pilares definitivos posicionados e aprovados, prosseguiu-se para a etapa de confecção das restaurações finais sobre implante.
O sistema de implantes Stretto apresenta uma variedade de componentes protéticos versáteis, projetados especificamente para viabilizar restaurações em regiões de espaço restrito, como a dos incisivos inferiores. Dentre as opções disponíveis, destacam-se:
- Pilar Base T (Ti-base CAD/CAM): trata-se de um intermediário cilíndrico de titânio, compatível com a conexão cone morse do implante, que serve de base para a confecção de coroas personalizadas em CAD/CAM. Esse componente pode ser utilizado para confeccionar próteses unitárias parafusadas – tanto provisórias quanto definitivas – onde a coroa é cimentada sobre o pilar Base T fora da boca, e então, todo o conjunto é instalado no implante com um único parafuso oclusal. Em espaços reduzidos, o uso de uma Base T permite otimizar a forma da coroa (pela liberdade do desenho CAD/CAM) e ainda manter a conveniência de uma prótese parafusada, facilitando eventuais manutenções. Adicionalmente, o pilar Base T pode ser empregado como cicatrizador personalizado durante a fase de osseointegração – por exemplo, adicionando resina composta em sua porção coronal –, moldando o perfil gengival antes mesmo da etapa restauradora final.
- pilares retos: são mini pilares usinados em titânio que se conectam internamente ao implante Stretto, disponíveis em diferentes alturas de colo (para acomodar espessuras gengivais variadas) e servem como munhão para coroas cimentadas ou parafusadas. A vantagem, em espaços curtos, é que esses pilares possuem diâmetro compatível com o implante de 3,0 mm e perfil emergente estreito, permitindo a confecção de coroas com proporção adequada sem “englobar” excessivamente a área de papila ou tocar dentes vizinhos. Em reabilitações anteriores, o pilar reto é ideal quando o implante já está bem posicionado axialmente, exigindo mínimo ou nenhum ajuste de angulação protética.
- pilares angulados: para situações em que o implante precise ser instalado com certa inclinação (seja por desvio de raízes adjacentes, ou por necessidade de acompanhar a curvatura do arco mandibular, por exemplo), o sistema oferece pilares angulados (angulações pré-definidas como 20°). Esses componentes permitem corrigir a emergência da futura coroa, direcionando-a para uma posição mais favorável dentro do corredor protético. Os pilares angulados Stretto podem viabilizar próteses cimentadas e parafusadas, a depender do design, e sua existência amplia as possibilidades restauradoras em áreas anteriores estreitas, onde a posição ideal do implante nem sempre é possível; o pilar angulado compensa discrepâncias, mantendo a coroa final alinhada esteticamente com os demais dentes.
A aplicabilidade desses componentes na região anterior de espaço reduzido é notável. O implante Stretto, com diâmetro de apenas 3,0 mm foi concebido exatamente para situações em que há menos de 6 mm entre dentes ou uma crista óssea muito delgada. Em vez de recorrer a soluções protéticas convencionais que demandariam preparo de dentes adjacentes (como próteses fixas adesivas ou pontes convencionais), ou ainda em áreas onde implantes de diâmetro maior exigiriam aumento ósseo, o uso do Stretto possibilita a instalação implantar direta, minimizando intervenções complementares e preservando as estruturas vizinhas. Seus pilares protéticos – Base T, retos e angulados – asseguram que, mesmo com a miniaturização do implante, não se perca em versatilidade restauradora. Pelo contrário, o sistema foi desenhado para proporcionar um fluxo integrado entre cirurgia e prótese, agilizando o tratamento e reduzindo o número de etapas clínicas necessárias. O resultado são reabilitações estéticas em áreas antes desafiadoras, com coroas de contorno anatômico adequado, papilas bem sustentadas e facilidade de manutenção de higiene pelo paciente.

Confecção das coroas e laminados cerâmicos definitivos
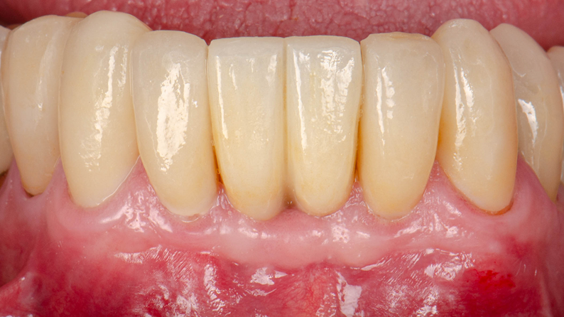
Seguindo o planejamento digital, confeccionaram-se as coroas implantossuportadas por meio de fresagem CAD/CAM. Para maximizar a resistência mecânica e a longevidade nessa região, optou-se pelo uso de coroas de zircônia monolítica maquiadas (com caracterização superficial por pigmentação). A zircônia monolítica proporciona altíssima resistência mecânica, ideal para suportar as forças mastigatórias em implantes, ao mesmo tempo em que permite a caracterização superficial (maquiagem) para atingir a cor e a forma dental desejadas. Desse modo, esse material reúne uma durabilidade excepcional aliada a uma estética satisfatória, tornando-se uma das opções preferidas para coroas sobre implantes em regiões de alta demanda mecânica. Outra característica importante é seu alto índice de biocompatibilidade; além do material apresentar uma superfície pouco aderente ao biofilme bucal, especialmente quando bem polido, favorecendo a saúde dos tecidos peri-implantares a longo prazo.
Paralelamente, os dentes naturais adjacentes (elementos 32, 33, 42 e 43) receberam laminados cerâmicos para harmonizar forma e cor com as novas coroas. Os laminados foram confeccionados em cerâmica vítrea de dissilicato de lítio (e.max), material renomado por sua estética e resistência. O dissilicato de lítio é uma cerâmica que combina excelentes propriedades mecânicas e estéticas, sendo um dos materiais mais utilizados para facetas e coroas devido a essa combinação de qualidades. Ele oferece variedade de cores e graus de translucidez que imitam com fidelidade a aparência do dente natural, além de apresentar resistência flexural na faixa de 360–400 Mpa – suficiente para uso seguro em dentes anteriores e posteriores unitários. Outra vantagem importante é sua capacidade de adesão ao dente remanescente, o que possibilita preparos minimamente invasivos e uma alta taxa de sucesso clínico a longo prazo. Com os laminados em dissilicato de lítio, obteve-se uma integração harmônica de cor e forma entre os dentes naturais restaurados e as novas coroas em implante, conferindo um sorriso estético e natural para a paciente.
Adaptação, selamento e considerações finais
Todo o processo foi conduzido visando excelência na adaptação e no selamento das interfaces protéticas. A utilização do fluxo digital, desde o escaneamento até a fresagem das peças, garantiu restaurações com margens precisas e ótimo assentamento nos preparos dentários e nos pilares dos implantes. Os laminados cerâmicos foram cimentados sob isolamento adequado, assegurando selamento marginal efetivo e proteção contra infiltrações. As coroas em zircônia sobre implante foram parafusadas aos pilares com torque controlado, garantindo estabilidade e vedamento na interface pilar-coroa. Ao final, ajustes oclusais mínimos foram necessários, dado que o planejamento virtual prévio já previu contatos balanceados.
Como resultado, a paciente recebeu uma reabilitação integrada de alta qualidade, unindo tecnologia digital e materiais cerâmicos avançados. As coroas implantossuportadas em zircônia monolítica proporcionam resistência e função, enquanto os laminados em dissilicato de lítio asseguram estética e biomimetismo. A adaptação precisa e o selamento adequado obtidos em todas as restaurações favorecem a longevidade do tratamento e a satisfação da paciente com seu novo sorriso.


Conclusão
O caso apresentado ilustra uma abordagem multidisciplinar bem-sucedida na reabilitação de elementos inferiores anteriores comprometidos em um paciente idoso, aliando técnicas cirúrgicas minimamente invasivas a recursos protéticos modernos. A exodontia atraumática sem retalho, seguida da instalação imediata de implantes de diâmetro reduzido, mostrou-se eficaz em preservar o contorno alveolar e a arquitetura gengival – fatores críticos para um resultado estético satisfatório na região anterior. Concomitantemente, o preenchimento dos GAPs com enxerto xenógeno de hidroxiapatita/colágeno (Extra Graft XG-13) proporcionou manutenção de volume ósseo e suporte à regeneração, prevenindo a remodelação indesejada do rebordo. A utilização de sutura de PTFE e de um provisório adesivo sem carga nos implantes contribuiu para uma cicatrização livre de intercorrências e para o conforto da paciente durante o período de osseointegração.
Do ponto de vista restaurador, a versatilidade protética do sistema Stretto permitiu a confecção de coroas implantossuportadas dentro das limitações de espaço impostas pela anatomia original, demonstrando ser uma solução viável para casos antes considerados desafiadores. A possibilidade de escolher entre pilares retos, angulados ou componentes do tipo Base T conferiu liberdade ao planejamento protético, assegurando que a reabilitação definitiva atendesse simultaneamente aos critérios de função, forma e estética. A adoção de coroas em zircônia monolítica reforça o compromisso com a longevidade e beleza do trabalho final, uma vez que esse material apresenta desempenho superior em ambientes de alta exigência mecânica, sem abrir mão da naturalidade estética.
Em síntese, a reabilitação dos incisivos inferiores com implantes imediatos de diâmetro reduzido revelou-se uma estratégia previsível e vantajosa. A combinação de preservação tecidual, seleção adequada de biomateriais e componentes protéticos específicos resultou em restaurações integrais, mimetizando com sucesso a dentição da paciente e restabelecendo função e confiança em seu sorriso. Este caso reforça a importância do planejamento integral (cirúrgico e protético) em Implantodontia, especialmente em situações de espaço limitado, e evidencia como os avanços em implantes estreitos e materiais cerâmicos de alta performance têm expandido as fronteiras para tratamentos implantossuportados minimamente invasivos e altamente estéticos. Cada decisão clínica – desde a técnica de exodontia até o material da coroa – impactou positivamente no desfecho, demonstrando que a aplicação criteriosa do conhecimento técnico-científico é fundamental para alcançar resultados de excelência em Implantodontia contemporânea.
REFERÊNCIAS BIBLIOGRÁFICAS
1- KAN, J. Y. et al. Classification of sagittal root position in relation to the anterior maxillary osseous housing for immediate implant placement: a cone beam computed tomography study. The International Journal of Oral & Maxillofacial Implants, v. 26, n. 4, p. 873–876, jul./ago. 2011.
2- KAN, J. Y.; RUNGCHARASSAENG, K. Immediate placement and provisionalization of maxillary anterior single implants: a surgical and prosthodontic rationale. Practical Periodontics and Aesthetic Dentistry, v. 12, n. 9, p. 817–824, nov./dez. 2000.
3- KAN, J. Y. K. et al. Facial implant gingival level and thickness changes following maxillary anterior immediate tooth replacement with scarf connective tissue graft: a 4-13-year retrospective study. Journal of Esthetic and Restorative Dentistry, v. 35, n. 1, p. 138–147, jan. 2023. DOI: 10.1111/jerd.12996.
4- WALTER, C. et al. Evaluation of the clinical safety and performance of a narrow diameter (2.9 mm) bone-level implant: a 1-year prospective single-arm multicenter study. International Journal of Implant Dentistry, v. 9, n. 1, p. 32, 2023. DOI: 10.1186/s40729-023-00495-x.
5- ROSA, A. C. et al. Guidelines for selecting the implant diameter during immediate implant placement of a fresh extraction socket: a case series. The International Journal of Periodontics & Restorative Dentistry, v. 36, n. 3, p. 401–407, maio/jun. 2016. DOI: 10.11607/prd.2381.
6- SCOMBATTI, S. Implante imediato à exodontia em região anterior – Preenchimento do gap com biomaterial de absorção lenta. Revista ImplantNews, 2019.
7- ARAUJO, M. G.; LINDHE, J. Dimensional ridge alterations following tooth extraction: an experimental study in the dog. Journal of Clinical Periodontology, v. 32, n. 2, p. 212–218, 2005.
8- CHEN, S. T.; BUSER, D. Esthetic outcomes following immediate and early implant placement in the anterior maxilla: a systematic review. The International Journal of Oral & Maxillofacial Implants, v. 29, supl., p. 186–215, 2014.
9- MELO, N. et al. Análise biomecânica de implantes de diâmetro reduzido para reabilitação da região anterior da maxila. Revista de Odontologia da UNESP, v. 52, p. e20230027, 2023. Disponível em: https://www.scielo.br/j/rounesp. Acesso em: 30 jul. 2025.
10- AXIS BIOTEC. Extra Graft XG-13 – Informações do produto. Silvestre Labs, 2023. Disponível em: https://www.extragraft.com.br. Acesso em: 30 jul. 2025.
11- IMPLACIL OSSTEM. Caso clínico: Instalação de implante imediato com ROG em molar fraturado. 2021. Disponível em: https://implacilosstem.com.br. Acesso em: 30 jul. 2025.
12- IMPLACIL OSSTEM. Utilização do fio de PTFE Cytoplast em cirurgias de ROG. 2020. Disponível em: https://implacilosstem.com.br. Acesso em: 30 jul. 2025.
13- BLOG DENTAL SPEED. Zircônia dental: melhores práticas para laboratório protético. 2024. Disponível em: https://blog.dentalspeed.com. Acesso em: 30 jul. 2025.
Outros artigos para leitura:





