Por Ronaldo Fabiano
Objetivo
O objetivo deste relato de caso é mostrar a utilização do implante de diâmetro reduzido em região anterior de maxila com limitação óssea, respeitando a anatomia do processo alveolar e consequentemente utilizando um componente angulado para corrigir a posição da saída do parafuso para confecção de uma prótese aparafusada.
Introdução
A colocação imediata de implantes em alvéolos frescos é um procedimento odontológico avançado que oferece inúmeros benefícios. Uma das principais vantagens da colocação imediata do implante é uma redução significativa no tempo total de tratamento.
Ao contrário dos métodos tradicionais de colocação de implantes que requerem um período de cicatrização após a extração do dente, a colocação imediata do implante permite que o implante seja inserido imediatamente após a extração. Isso elimina a necessidade de um procedimento cirúrgico separado e reduz a duração total do tratamento para os pacientes. Além disso, a colocação imediata do implante pode levar a melhores resultados estéticos, pois a preservação de tecidos moles e duros é mais bem-sucedida em comparação com a colocação tardia do implante. A preservação desses tecidos pode contribuir para um resultado final com aspecto mais natural e funcional.
A colocação imediata bem-sucedida do implante requer consideração cuidadosa de vários fatores. A seleção do caso desempenha um papel crucial para determinar a adequação e colocação imediata do implante. Fatores como a presença de infecção ou inflamação no alvéolo de extração podem afetar o sucesso do procedimento. Uma curetagem completa e limpeza do alvéolo são necessárias para remover qualquer tecido infectado ou inflamado antes da colocação do implante. A qualidade e a quantidade adequadas de osso também são considerações importantes para a colocação de implantes imediatos bem-sucedidos.
O planejamento do tratamento deve envolver uma avaliação abrangente da saúde bucal do paciente, incluindo a avaliação da densidade óssea e a disponibilidade de osso adequado para a estabilidade do implante. A colocação do implante em um posicionamento tridimensional perfeito e a estabilidade primária adequada são essenciais para o sucesso a longo prazo.
Conforme discutido na literatura, a colocação imediata de implantes na zona estética requer que o clínico tenha conhecimento e experiência em diversas áreas. Isso inclui diagnóstico estético, técnicas de extração minimamente invasivas, procedimentos cirúrgicos plásticos orais (por exemplo, enxerto de tecidos duros e moles) e colocação de implantes tridimensionais (3D) precisos com o uso de um implante mais estreito (3,3 mm a 4,3 mm), o que garante um espaço vestibular de pelo menos 2 a 3 mm adjacente à parede do alvéolo bucal intacto. Isso pode ser pré-planejado com uma análise cuidadosa através de exames de imagem para uma melhor compreensão do plano restaurador. O uso de técnicas avançadas de imagem, como a tomografia computadorizada de feixe cônico (CBCT), pode auxiliar no planejamento preciso do tratamento e na colocação do implante.
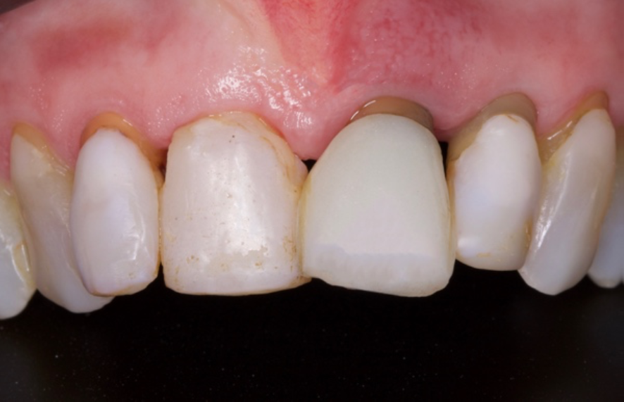
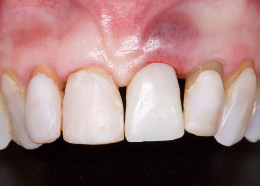
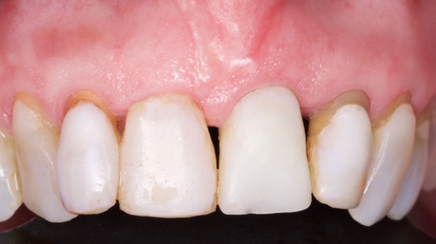
Relato do Caso










Conclusão
O planejamento no tratamento de implante imediato deve incluir uma avaliaçãocompleta do alvéolo de extração, osso circundante e tecidos moles. Essa avaliação ajuda a determinar o tamanho, o tipo e a técnica de colocação do implante.
Ao considerar esses fatores e seguir os protocolos adequados, os profissionais podem obter resultados bem-sucedidos com a colocação imediata de implantes em alvéolos frescos.
REFERÊNCIAS
1- Araújo MG, Lindhe J. Alterações dimensionais do rebordo após extração dentária. Um estudo experimental no cão.J Clin Periodontal. 2005; 32:212-218.
2- Chappuis V, Araújo MG, Buser D. Relevância clínica das alterações dimensionais ósseas e de tecidos moles pós-extração em sítios estéticos. Periodontia 2000.2017;73:73-83.
3- Levine RA, Ganeles J, Gonzaga L, et al. 10 chaves para implantes imediatos únicos de zona estética bem-sucedidos. Compend Contin Educ Dent. 2017;38(4):248-260.
4- Tarnow DP, Chu SJ, Salama MA, et al. Colocação de implante de alvéolo pós-extração sem retalho na zona estética: parte 1. O efeito do enxerto ósseo e/ou restauração provisória na mudança dimensional do rebordo palatino-facial – um estudo de corte retrospectivo. Int J Periodontia Restauradora Dent. 2014;34:323-331.
5- Kan JY, Roe P, Rungcharassaeng K, Patel RD, Waki T, Lozada JL, et al. Classificação da posição sagital da raiz em relação ao alojamento ósseo maxilar anterior para colocação imediata de implantes: um estudo de tomografia computadorizada de feixe cônico. Int J Oral Maxillofac Implants 2011;26:873-6.
6- Chappuis V, Engel O, Reyes M, Shahim K, Nolte LP, Buser D. Alterações do rebordo pós-extração na zona estética: uma análise 3D com CBCT. J Dent Res 2013;92:195s-201s.
7- Buser D, Chappuis V, Belser UC, Chen S. Colocação de implantes pós-extração em locais estéticos de dentes unitários: quando imediato, quando precoce, quando tardio? Periodonto l 2000;2017(73):84-102.
8- Wang HM, Shen JW, Yu MF, Chen XY, Jiang QH, He FM. Análise das dimensões da parede óssea facial e posição sagital da raiz na zona estética maxilar: um estudo retrospectivo usando tomografia computadorizada de feixe cônico. Int J Oral Maxillofac Implants 2014;29:1123-9.
9- Chen ST, Buser D. Resultados clínicos e estéticos de implantes colocados em locais pós-extração. Int J Oral Maxillofac Implants 2009;24(suppl):186-217.
10- Gluckman H, Pontes C C, Du Toit J. Posição do dente no plano radial e dimensões da parede óssea na maxila anterior: uma classificação com CBCT para colocação de implante imediato. The Jornal of Prosthetic Dentistry, 2017.





