Introdução
O politetrafluoroetileno (PTFE) é constituído por uma cadeia de carbono com dois átomos de flúor por cada átomo de carbono. A completa fluoração da cadeia de carbono, juntamente com a força das ligações carbono-flúor, faz PTFE altamente estável. Esta estabilidade resulta em um polímero sintético que é não-reabsorvível, inerte biologicamente e quimicamente não reativo, e, por conseguinte, um material ideal para muitos aplicações de dispositivos médicos. Em adição à sua longa história no campo da regeneração guiada de tecidos (GTR), PTFE tem sido utilizado há mais de 30 anos em aplicações cardiovasculares tais como a sutura, enxertos vasculares e válvulas cardíacas.
PTFE denso
O PTFE denso, também conhecido como o PTFE de alta densidade ou PTFE-d, é fabricado de forma a eliminar a expansão dos nós e fibras, resultando em um material micro-poroso que é impermeável a bactérias, enquanto continua a permitir a difusão de gases e de moléculas pequenas. O PTFE denso foi projetado para suportar a exposição no ambiente oral, o que representa uma melhoria para versões anteriores do PTFE-e em muitas aplicações, especialmente na preservação alveolar onde a exposição deliberada de membrana oferece várias vantagens.
Após a implantação, o PTFE denso é imediatamente revestido com proteínas do plasma, o que facilita a adesão celular à superfície lisa e biocompatível. Esta adesão celular confere uma vedação hermética, que confere resistência à migração de células epiteliais e bactérias em torno e sob a membrana quando é exposto na boca. A adsorção de proteína do plasma também facilita a difusão de moléculas orgânicas solúveis através da membrana. A remoção do PTFE denso é simplificada devido à falta de crescimento interno de tecido na estrutura de superfície.
Uma textura está disponível na membrana Cytoplast de PTFE densa. A texturização na membrana resulta em um aumento na área de superfície e pode aumentar a força de remoção do material por meio da fixação tridimensional no tecido mole. O aumento da estabilidade na ferida pode resultar em menos retração do retalho e reduzir o risco de movimento da membrana e o afrouxamento. A principal vantagem do PTFE denso é a capacidade de permanecer exposta na boca e ao mesmo tempo proteger o defeito e o enxerto ósseo subjacente. A membrana é mole, flexível e fácil de manusear. O fechamento primário não é necessário, e a membrana pode ser removida sem cirurgia adicional, se estiver exposta.
A membrana de PTFE denso também está disponível com reforço de titânio, o que aumenta a rigidez do material para utilização em defeitos em que é necessária a manutenção do espaço. A estrutura de titânio incorporada permite que a membrana seja conformada para se ajustar de uma variedade de defeitos sem recuperação e proporciona estabilidade adicional em grandes defeitos ósseos em altura e espessura.
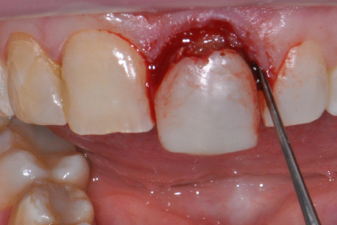
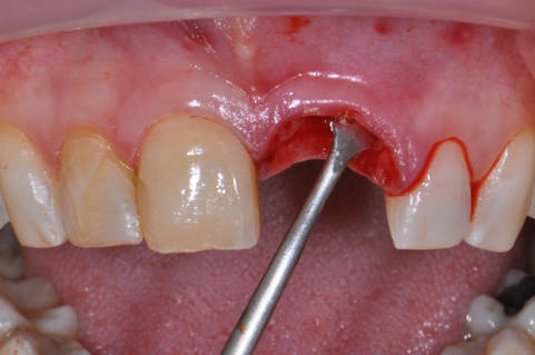
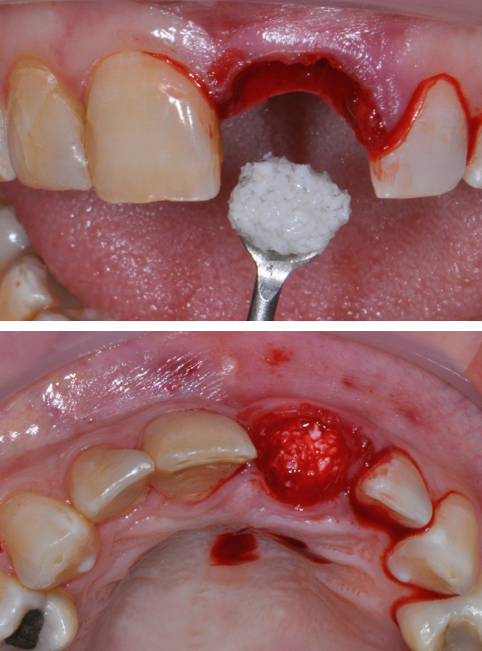
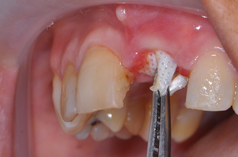
TÉCNICA CIRÚRGICA







Conclusão
A membrana Cytoplast de PTFE denso, pode ser utilizada com muita eficiência e previsibilidade em casos de preservação alveolar. Além de promover uma elevada regeneração dos tecidos moles após a extração.
Referências Bibliográficas
1. Urban IA, Lozada JL, Jovanovic SA, Nagursky H, Nagy K. Vertical Ridge Augmentation with Titanium-Reinforced, Dense-PTFE Membranes and a Combination of Particulated Autogenous Bone and Anorganic Bovine Bone-Derived Mineral: A Prospective Case Series in 19 Patients. Int J Oral Maxillofac Implants. 2014 Jan- Feb;29(1):185-93.
2. Carbonell JM, Martin IS, Santos A, Pujol A, Sanz-Moliner JD, Nart J. High-density polytetrafluoroethylene membranes in guided bone and tissue regeneration procedures: a literature review. Int J Oral Maxillofac Surg. 2014 Jan;43(1):75-84.
3. Ronda M, Rebaudi A, Torelli L, Stacchi C. Expanded vs. dense polytetrafluoroethylene membranes in vertical ridge augmentation around dental implants: a prospective randomized controlled clinical trial. Clin Oral Implants Res. 2013; (Epub ahead of print).
4. Waasdorp, J, Feldman, S. Bone regeneration around immediate implants utilizing a dense polytetrafluoroethylene membrane without primary closure: a report of 3 cases. J Oral Implantol. 2013;39:355-361.
5. Al-Hezaimi K, Rudek I, Al-Hamdan KS, Javed F, Nooh N, Wang HL. Efficacy of using a dual layer of membrane (dPTFE placed over collagen) for ridge preservation in fresh extraction sites: a micro-computed tomographic study in dogs. Clin Oral Implants Res. 2012; (Epub ahead of print).
6. Annibali S, Bignozzi I, Sammartino G, La Monaca G, Cristalli MP. Horizontal and vertical ridge augmentation in localized alveolar deficient sites: a retrospective case series. Implant Dent. 2012 Jun;21(3):175-185.
7. Yun JH, Jun CM, Oh NS. Secondary closure of an extraction socket using the double-membrane guided bone regeneration technique with immediate implant placement. J Periodontal Implant Sci. 2011;41:253-258.
8. Park SY, Kye SB, Yang SM, Shin SY. The effect of non -resorbable membrane on buccal bone healing at an immediate implant site: an experimental study in dogs. Clin. Oral Impl. Res. 22, 2011; 289-294.
9. Barboza EP, Stutz B, Ferreira VF, Carvalho W. Guided bone regeneration using nonexpanded polytetrafluoroethylene membranes in preparation for dental implant placements – a report of 420 cases.Implant Dent. 2010;19:2-7.
10. Lee JY, Kim YK, Yun PY, Oh JS, Kim SG. Guided boné regeneration using two types of non-resorbable barrier membranes. J Korean Assoc Oral Maxillofac Surg. 2010;36:275-9.
11. Fotek PD, Neiva RF, Wang HL. Comparison of dermal matrix and polytetrafluoroethylene membrane for socket bone augmentation: a clinical and histologic study. J Periodontol 2009;80:776-785.
12. Hoffman O, Bartee BK, Beaumont C, Kasaj A, Deli G, Zafiropoulos GG. Alveolar bone preservation in extraction sockets using non-resorbable dPTFE membranes: A retrospective non-randomized study. J Periodontol 2008;79:1355-1369.
13. Barboza EP, Francisco BS, Ferreira VF. Soft tissue enhancement using non-expanded PTFE membranes without primary closure [abstract]. Presented at the 2008 Research Forum Poster Session. Annual Meeting of the American Academy of Periodontology (AAP) in Seattle, WA, September 6-9, 2008.
14. Barber HD, Lignelli J, Smith BM, Bartee BK. Using a dense PTFE membrane without primary closure to achieve bone and tissue regeneration. J Oral Maxillofac Surg 2007;65:748-752.
15. Walters SP, Greenwell H, Hill M, Drisko C, Pickman K, Scheetz JP. Comparison of porous and non-porous teflon membranes plus a xenograft in the treatment of vertical osseous defects: A clinical reentry study. J Periodontol 2003;74:1161-1168.
16. Bartee BK. Extraction site reconstruction for alveolar ridge preservation Part 1: Rationale and material selection. J Oral Implantol 2001;27:187-193.
17. Bartee BK. Extraction site reconstruction for alveolar ridge preservation Part 2: Membrane-assisted surgical technique. J Oral Implantol 2001;27:194-197.
18. Lamb JW III, Greenwell H, Drisko C, Henderson RD, Scheetz JP, Rebitski G. A comparison of porous and non-porous teflon membranes plus demineralized freeze-dried bone allograft in the treatment of class II buccal/lingual furcation defects: A clinical reentry study. J Periodontol 2001;72:1580-1587.
19. Bartee BK. Evaluation of a new polytetrafluoroethylene guided tissue regeneration membrane in healing extraction sites. Compend Contin Educ Dent 1998;19:1256-1264.
20. Bartee BK. The use of high-density polytetrafluoroethylene membrane to treat osseous defects: Clinical reports. Implant Dent 1995;4:21-26.




