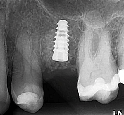
Paciente L.M., 53 anos, apresentava sensibilidade durante a mastigação e relatava mau hálito na região do dente 25. Durante análise clínica, a paciente apresentava sorriso alto (Figura 1). Após análise tomográfica, foi constatada uma perfuração radicular no dente em questão e que a raiz estava em contato com a tábua vestibular, sendo que esta possuía ≥1mm de espessura em seu terço cervical (Figura 2). Após a paciente concordar com o plano de tratamento, foi realizado a instalação imediata de um implante Cone Morse de corpo cônico (Due Cone 3.5×11, Implacil De Bortoli, São Paulo, Brasil), regeneração óssea guiada com osso bovino inorgânico e colocação de uma barreira regenerativa de politetrafluoretileno denso.
O implante Cone Morse de macro-geometria cônica foi instalado 2mm infra-ósseo. Este tipo de plataforma (platform switching) possui vantagens mecânicas e biológicas quando comparado com os implantes HE e HI. Mecanicamente, quando o pilar protético é submetido à forças que simulam a mastigação, existe pouca ou nenhuma micro-movimentação do pilar. Esta característica é fundamental para a não formação de um micro-espaço entre o pilar e a plataforma do implante, protegendo assim o sistema contra a micro-infiltração bacteriana. Com relação à vantagem biológica, pode-se citar o menor diâmetro do componente protético em relação à plataforma do implante. Assim sendo, a crítica zona de contaminação localizada entre o implante e o pilar fica localizada distante do tecido ósseo, gerando assim um vedamento biológico e consequente manutenção do tecido ósseo peri-implantar em longo prazo.
Implantes de macro-geometria cônica são altamente indicados em casos de implante imediato pois a conicidade do implante facilita a obtenção da estabilidade primária, crucial para o sucesso da osseointegração. Neste caso, a obtenção de uma boa estabilidade inicial também foi facilitada pelo posicionamento da raiz no alvéolo (Classe I) (Kan et. al 2011). Com a raiz voltada para a tábua vestibular, após a remoção do dente o osso palatal remanescente propiciou condições para o travamento por causa de sua anatomia mais corticalizada.
A utilização de um substituto ósseo de lenta taxa de substituição tem como objetivo compensar a reabsorção fisiológica ocorrida após a remoção de um dente condenado. Lembrando que a reabsorção apresenta índices mais elevados quando a tábua vestibular possui <1mm de espessura (biotipo fino) (Chappuis et al. 2015). No caso em questão, a paciente apresentava biotipo ósseo (≥1mm) e gengival espesso. Já com relação ao uso da membrana, a utilização desta evita a necessidade de procedimentos mais longos com objetivo de aproximar os bordos da ferida cirúrgica para proteger o alvéolo, além de reduzir significativamente o tempo do procedimento.
Referências bibliográficas
Chappuis V, Engel O, Shahim K, Reyes M, Katsaros C, Buser D. 2015. Soft tissue alterations in esthetic postextraction sites: a 3-dimensional analysis. J Dent Res. 94(9):187S–193S.
Kan JYK, Roe P, Rungcharassaeng K, Patel RD, Waki T, Lozada JL, Zimmerman G. 2011. Classification of Sagittal Root Position in Relation to the Anterior Maxillary Osseous Housing for Immediate Implant Placement: A Cone Beam Computed Tomography Study. JOMI. 26(4): 873-876.









