Fluxo digital e zircônia monolítica: o futuro da Prótese Dentária

Fluxo digital e zircônia monolítica: o futuro da Prótese Dentária

Por Diego Klee, Daniel Morita e Wilson Andriani Júnior

A confecção de próteses sobre dentes e implantes tem sido beneficiada pelos constantes avanços tecnológicos. A associação do fluxo digital com novas gerações de materiais cerâmicos é responsável por tratamentos protéticos céleres, precisos e estéticos. Dentre estes materiais, a zircônia apresentou os maiores avanços nos últimos anos, podendo ser empregada com sucesso em uma variada gama de tratamentos protéticos.

A zircônia tetragonal estabilizada por ítria (3Y-TZP), branca e opaca, é a representante da primeira geração deste material. Ela apresenta alta resistência (cerca de 900 a 1.200 Mpa), porém é muito opaca, sendo indicada para a confecção de infraestruturas de próteses fixas e pilares de próteses sobre implantes.

Uma mudança efetiva na translucidez da zircônia foi obtida com o emprego de maior quantidade de ítria (4Y-PSZ e 5Y-PSZ). Zircônias translúcidas representam a terceira geração deste material. Apesar da menor resistência, quando comparada à primeira geração, apresentam vantagens interessantes: podem ser encontradas em forma de blocos nas cores da escala Vita e com graduação de translucidez, o que permite próteses com características similares à dentição natural.

Outro fator importante é que a usinagem da zircônia ocorre em seu estado pré-sinterizado, em que a baixa dureza reduz consideravelmente o desgaste de ferramentas e equipamentos, bem como o consumo energético. Após a usinagem, o produto é sinterizado e adquire suas propriedades mecânicas fi nais. A contração pela sinterização é levada em consideração durante o desenho e a usinagem das peças. Cada bloco apresenta um código de barras que identifica sua densidade para o computador. Desta forma, a usinagem ampliada será precisamente compensada pela contração na etapa de sinterização.

No caso clínico (Figuras 1 a 7), empregamos uma zircônia multicamadas (NexxZr+ – Sagemax Bioceramics; 4Y-TZP cervical e 5Y-TZP incisal) com gradiente natural de cor, translucidez e alta resistência flexural (880 MPa cervical e 630 MPa incisal). Estas propriedades permitem a fabricação de próteses monolíticas unitárias e pequenas próteses fixas altamente estéticas, tanto na região anterior como na posterior, podendo ser empregada em associação às técnicas de processamento por infiltração, maquiagem ou estratificação.

Figura 1 – Imagem inicial do caso. A paciente possuía uma prótese fixa metalocerâmica insatisfatória dos dentes 16 ao 26, com retentores nos dentes 16, 13, 23, 24 (condenado) e 26.
Figura 2 – Vista oclusal do caso clínico após a exodontia do dente 24 e colocação dos implantes (Maestro CM AR, Implacil De Bortoli) na região dos dentes 12, 14, 15, 22, 24 e 25. Planejou-se coroas unitárias parafusadas para os implantes 14, 15, 24 e 25 (pilares protéticos Ideale, Implacil De Bortoli), e uma prótese parcial fixa do 12 ao 22 (pilares micro cônicos, Implacil De Bortoli). Além disso, foram planejadas coroas unitárias sobre os dentes 13, 16, 23 e 26.
Figura 3 – Imagem obtida após o escaneamento intraoral (Cerec AC Omnicam, Dentsply Sirona).
Figuras 4 – O arquivo STL foi exportado ao laboratório de prótese dentária LOF (São Paulo – SP) e, com software apropriado (Dental CAD, Exocad), o técnico Daniel Morita executou o desenho das próteses.
Figuras 5 – Vista frontal das próteses em zircônia monolítica sobre o modelo impresso do caso. Empregou-se zircônia multicamadas (NexxZr+, Sagemax Bioceramics) com gradiente natural de cor e translucidez, em associação com a técnica de maquiagem.
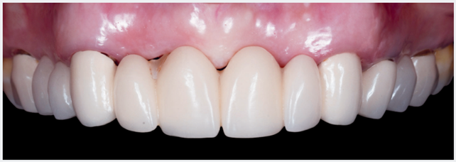
Figura 6 – Próteses posicionadas em boca. Observe o resultado final obtido com fluxo 100% digital.
Figuras 7 – Diferentes vistas após a instalação das próteses sobre dentes e implantes. Observe a excelência do resultado obtido nesta reabilitação estética e a perfeita interação com os tecidos da paciente.

* Este artigo foi publicado na revista ImplantNews em 2022.