Por Ronaldo Fabiano
O objetivo deste relato de caso é mostrar o passo a passo do fluxo digital de uma coroa metal-free do dente 11 utilizando um pilar intermediário Ideale.
O fluxo digital com pilar Ideale para a confecção de coroas metal-free em zona estética é uma abordagem avançada na Odontologia restauradora. Aqui está um resumo do processo:
1- Informação auxiliada por computador (CAI)
O processo começa com o uso de tecnologias de digitalização, como scanner intraoral que faz a leitura de um padrão de escaneamento do pilar de transferência digital para determinar o posicionamento do implante, ou tomografia computadorizada, para capturar imagens precisas das estruturas ósseas do paciente.
2- Projeto auxiliado por computador (CAD)
Com base nas imagens digitais obtidas, o dentista utiliza um software de CAD especializado para projetar a coroa dentária desejada. Neste estágio o dentista pode ajustar a forma, tamanho e cor da coroa para garantir um resultado estético e funcional ideal.
3- Fabricação auxiliada por computador (CAM)
Uma vez que o design da coroa tenha sido finalizado no software CAD, os dados são enviados para uma fresadora CNC ou uma impressora 3D especializada para fabricar a coroa dentária de acordo com as especificações do design.
4- Coroa metal free
Neste processo a coroa é fabricada sem a utilização de metal, o que a torna esteticamente mais atraente, especialmente em zonas visíveis da boca, como os dentes anteriores. Materiais como cerâmica ou zircônia são comumente utilizados para criar coroas metal free, pois oferecem uma excelente combinação de estética e resistência mecânica flexural.
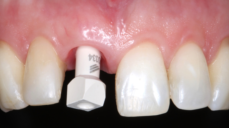
5- Instalação
Após a fabricação, a coroa é testada e ajustada para garantir um ajuste perfeito e uma oclusão correta. Uma vez que a coroa tenha sido finalizada e aprovada, ela pode ser cimentada ou aparafusada no componente intermediário que foi instalado no dia da instalação do implante.
Este fluxo digital com pilar Ideale permite uma precisão excepcional na fabricação da coroa dentária, resultando em uma restauração estética, durável e funcional para o paciente.
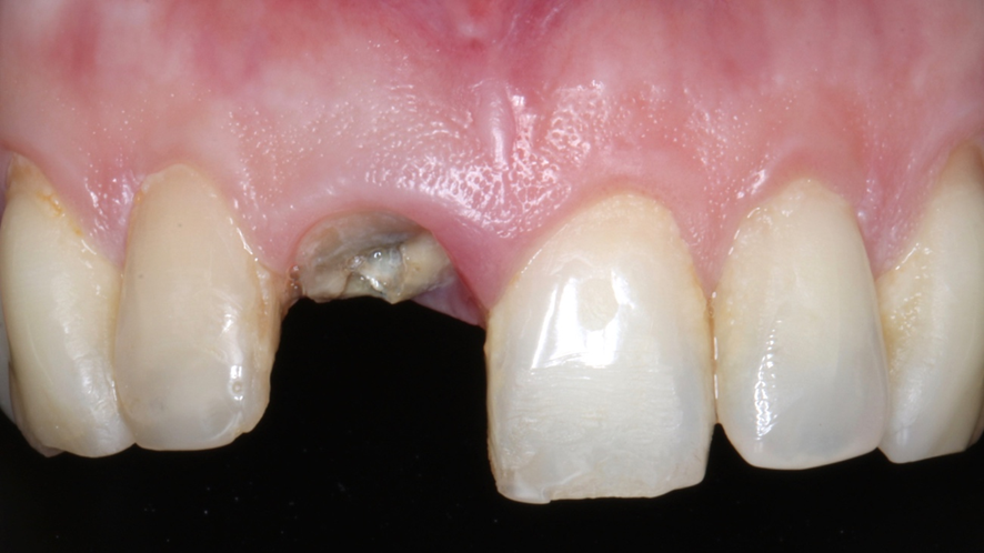
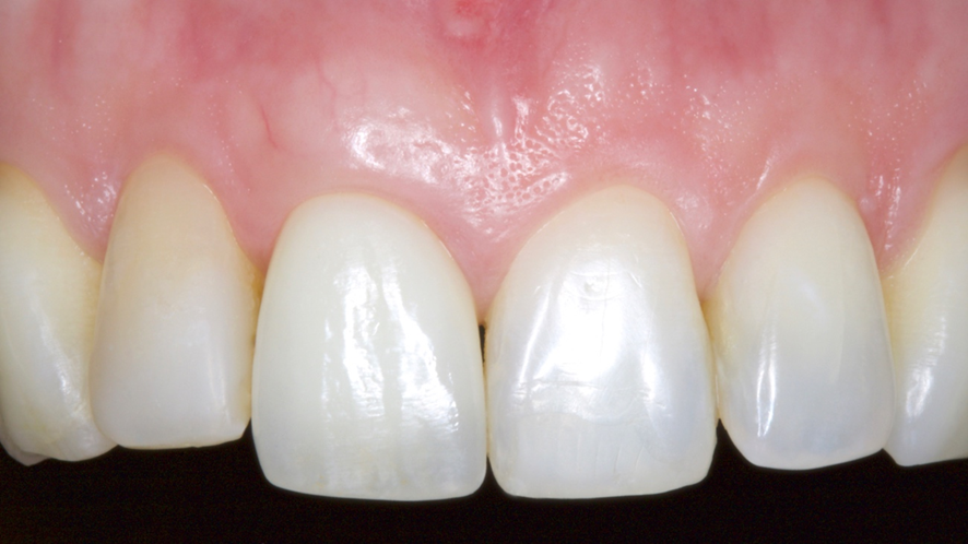
Relato do Caso

















Conclusão
O fluxo digital com pilar Ideale para coroas metal free em zona estética representa uma abordagem de ponta na Odontologia restauradora. Ao integrar tecnologia digital, como escaneamento intraoral e design assistido por computador, com componentes protéticos de alta qualidade, como os pilares Ideale, e materiais estéticos, como cerâmicas e zircônias, os profissionais podem oferecer aos pacientes restaurações dentárias que combinam perfeitamente com os dentes naturais circundantes em termos de cor, forma e translucidez. Assim sendo, obtemos resultados estéticos superiores e a satisfação do paciente.
Referências Bibliográficas:
1- Araújo MG, Lindhe J. Alterações dimensionais do rebordo após extração dentária. Um estudo experimental no cão. J Clin Periodontal. 2005; 32:212-218.
2- Chappuis V, Araújo MG, Buser D. Relevância clínica das alterações dimensionais ósseas e de tecidos moles pós-extração em sítios estéticos. Periodontia 2000.2017;73:73-83.
3- Levine RA, Ganeles J, Gonzaga L, et al. 10 chaves para implantes imediatos únicos de zona estética bem-sucedidos. Compend Contin Educ Dent. 2017;38(4):248-260.
4- Tarnow DP, Chu SJ, Salama MA, et al. Colocação de implante de alvéolo pós-extração sem retalho na zona estética: parte 1. O efeito do enxerto ósseo e/ou restauração provisória na mudança dimensional do rebordo palatino-facial – um estudo de corte retrospectivo. Int J Periodontia Restauradora Dent. 2014;34:323-331.
5- Kan JY, Roe P, Rungcharassaeng K, Patel RD, Waki T, Lozada JL, et al. Classificação da posição sagital da raiz em relação ao alojamento ósseo maxilar anterior para colocação imediata de implantes: um estudo de tomografia computadorizada de feixe cônico. Int J Oral Maxillofac Implants 2011;26:873-6.
6- Chappuis V, Engel O, Reyes M, Shahim K, Nolte LP, Buser D. Alterações do rebordo pós-extração na zona estética: uma análise 3D com CBCT. J Dent Res 2013;92:195s-201s.
7- Buser D, Chappuis V, Belser UC, Chen S. Colocação de implantes pós-extração em locais estéticos de dentes unitários: quando imediato, quando precoce, quando tardio? Periodontol 2000;2017(73):84-102.
8- Wang HM, Shen JW, Yu MF, Chen XY, Jiang QH, He FM. Análise das dimensões da parede óssea facial e posição sagital da raiz na zona estética maxilar: um estudo retrospectivo usando tomografia computadorizada de feixe cônico. Int J Oral Maxillofac Implants 2014;29:1123-9.
9- Chen ST, Buser D. Resultados clínicos e estéticos de implantes colocados em locais pós-extração. Int J Oral Maxillofac Implants 2009;24(suppl):186-217.
10- Gluckman H, Pontes C C, Du Toit J. Posição do dente no plano radial e dimensões da parede óssea na maxila anterior: uma classificação com CBCT para colocação de implante imediato. The Jornal of Prosthetic Dentistry, 2017.





