Por Ricardo Elias Jugdar, André Felipe de Miranda Murad e Maria Amélia Calandra Jugdar.
Resumo
Atualmente, a indicação de implantes osseointegrados na reabilitação do paciente com perda dentária parcial ou total se apresenta como uma ótima alternativa, desde que apresentem ótimo posicionamento tridimensional. Porém, muitos desses podem apresentar quantidade e qualidade óssea insuficiente para a instalação imediata do implante dentário, fazendo-se necessária a realização de enxertos ósseos.
O uso de membranas em casos de regeneração óssea guiada (ROG) tornou-se comum e um excelente recurso para ganho do tecido ósseo, tanto no sentido vertical como no horizontal.
Neste estudo, será relatado um caso clínico onde optou-se pela utilização da membrana de politetrafluoretileno denso com reforço de titânio (PTFE-d – Cytoplast), para a reabilitação em uma pré-maxila com atrofia severa no sentido vertical e horizontal.
Introdução
O defeito vertical e horizontal das maxilas parcialmente atróficas representa um dos cenários clínicos mais desafiadores da regeneração óssea guiada. Para que possamos obter resultados satisfatórios, é necessário um correto plano de tratamento e ótima execução cirúrgica, visando reestabelecer suporte ósseo vertical e horizontal e o reposicionamento correto dos tecidos moles, para posterior reabilitação com implantes dentários. Ao lidar com defeitos em maxila, a opção de tratamento regenerativo será baseada na extensão do defeito, principalmente em defeitos no sentido vertical. Embora para atrofia vertical leve (≤ 3 mm) possam ser propostas abordagens mais conservadoras, para defeitos médios (4 mm a 6 mm) ou grandes (> 7 mm), a regeneração óssea guiada pode ser mais indicada. Para alcançar sucesso no aumento ósseo, deve-se usar os princípios de fechamento primário da ferida cirúrgica, angiogênese, estabilidade do coágulo, manutenção do espaço, enxerto ósseo particulado e as membranas de fibrina autógena (L-PRF).
O PTFE denso, também conhecido como o PTFE de alta densidade ou PTFE-d, é fabricado de forma a eliminar a expansão dos nós e fibras, resultando em um material micro poroso que é impermeável a bactérias, enquanto continua a permitir a difusão de gases e de moléculas pequenas. O PTFE denso foi projetado para suportar a exposição no ambiente oral, o que representa uma melhoria para versões anteriores do PTFE-e em muitas aplicações, especialmente na preservação alveolar, onde a exposição deliberada de membrana oferece várias vantagens. Após a implantação, o PTFE denso é imediatamente revestido com proteínas do plasma, o que facilita a adesão celular à superfície lisa e biocompatível. Está adesão celular confere uma vedação hermética, que confere resistência à migração de células epiteliais e bactérias em torno e sob a membrana quando é exposto na boca. A texturização na membrana resulta em um aumento na área de superfície e pode aumentar a força de remoção do material por meio da fixação tridimensional no tecido mole. O aumento da estabilidade na ferida pode resultar em menos retração do retalho e reduzir o risco de movimento da membrana e/ou afrouxamento.
A membrana apresenta uma manipulação clínica facilitada e também está disponível com reforço de titânio, o que aumenta a rigidez do material para utilização em defeitos em que é necessária a manutenção do espaço. A estrutura de titânio incorporada permite que a membrana seja conformada para se ajustar de uma variedade de defeitos sem recuperação e proporciona estabilidade adicional em grandes defeitos ósseos em altura e espessura.
Proposição
Este trabalho tem como objetivo relatar um caso clínico de regeneração óssea guiada em pré-maxila atrófica com o uso da membrana de PTFE-d com reforço de titânio (Cytoplast) e enxerto ósseo particulado (Geistlich – Bio-Oss).
Relato do caso clínico
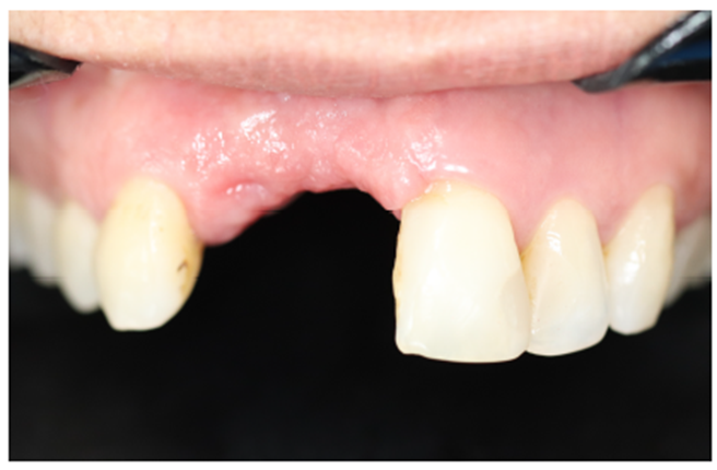
Paciente do gênero feminino, 46 anos, Leucoderma. Compareceu à clínica odontológica com a queixa de dificuldade na mastigação e instabilidade de sua prótese parcial superior.
Ao exame clínico observou-se a ausência parcial dos dentes na maxilar e uma prótese parcial removível nos dentes 21 e 22, com extenso defeito em rebordo alveolar (Figura 1).
Foi solicitada a tomografia computadorizada total de maxila, com medidas de altura e espessura para planejamento cirúrgico.
Observou-se extenso defeito ósseo nos sentidos horizontais e verticais em pré-maxila (Figuras 2 e 3), sendo necessária a realização de uma extensa regeneração óssea guiada, com enxerto ósseo particulado (Geistlich – Bio-Oss), membrana de PTFE-d com reforço de titânio e membranas de fibrina autógena (LPRF).
A técnica anestésica é de suma importância tanto para o controle da dor no transoperatório quanto para o controle homeostático. Foi realizada a técnica infraorbitária bilateral e, posteriormente, as infiltrativas subperiostais.



Nos casos de extensa reconstrução óssea, o retalho cirúrgico deve ser realizado à distância para visualização total da área cirúrgica, acomodação do seu futuro material de enxerto, ganho e fechamento total do tecido mole (Figura 4). Outro ponto importante para o sucesso da integração do material de enxerto é a descorticalização do processo alveolar, a fim de levarmos sangue medular com maior quantidade de células osteoprogenitoras. No caso, foi realizado com uma broca tipo lança.

Após a descorticalização, a membrana de PTFE-d (Cytoplast) foi aberta para modelagem e adaptação no rebordo, visando o acomodamento do material de enxertia. Ela foi parafusada na cortical palatina facilitando a inserção do material via vestibular. (Figuras 5 e 6).


O material de enxerto ósseo particulado (Bio-Oss) foi preparado junto com as membranas de fibrina autógenas (L-PRF). O mesmo foi levado e acomodado no arcabouço entre as membranas e o osso descorticalizado. É de suma importância que toda a região que, posteriormente, receberá um implante dentário seja totalmente recoberta pelo material de enxerto e as membranas de PTFE-d, para que não ocorram GAPS que impossibilitariam uma futura reabilitação. (Figuras 6.1 e 7.1).


Após a estabilização do enxerto ósseo é recomendável a retenção vestibular das membranas com parafusos de fixação. É importante manter o sítio cirúrgico sem grandes pressões ou movimentações, respeitando os princípios básicos para o sucesso do enxerto, evitando a formação de fibrose. A escolha do parafuso depende da habilidade e preferência do cirurgião. Deve-se sempre ter em mesa o kit de chaves ideal como o parafuso de fixação de escolha. Neste caso, utilizou-se os parafusos de 12 mm de altura da Maximus.Vale ressaltar que o reforço de titânio viabiliza uma manipulação clinica facilitada e auxilia na proteção do enxerto frente às movimentações e/ou pressões (Figura 8).

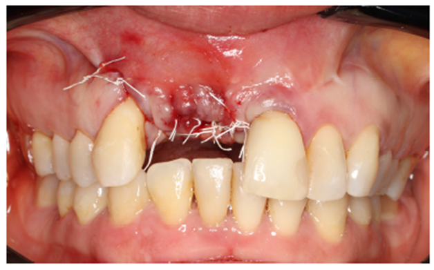
Um dos passos mais importantes dentro da cirurgia de reconstrução maxilar é o fechamento completo da ferida cirúrgica por primeira intenção. Deve-se evitar a qualquer custo a exposição do material de enxerto, pois o mesmo aumenta o risco de infecções. Antes do fechamento completo dos tecidos, é necessário remover quaisquer pontas ativas da membrana, deixando-a com as bordas arredondadas. Com o ganho expressivo do volume ósseo, a escarificação do periósteo é necessária para o relaxamento do tecido, evitando que o mesmo fique tensionado, diminuindo o risco de deiscência de sutura (Figura 9).

Após o preparo do tecido mole, foram colocadas membranas de L-PRF sobre as membranas de PTFE-d com o intuito de auxílio na reepitelização da cicatrização cirúrgica.
A escolha do fio é de extrema importância para o sucesso da cirurgia. Foi utilizado o fio de sutura de PTFE Cytoplast, cuja elasticidade acompanha o edema pós-operatório, diminuindo o risco de deiscência de sutura (Figuras 10 e 11).


Após 75 dias de pós-operatório, foi removida a membrana Cytoplast, onde observou-se ótima neoformação óssea. Apesar do resultado, optou-se por aguardar o período de sete meses para a realização da instalação dos implantes dentários. (Figuras 12 e 13).


Cinco meses após a remoção da membrana, foi realizada nova tomografia computadorizada com medidas de altura e espessura para planejamento dos implantes dentários, mostrando o sucesso obtido através da técnica de enxertia óssea com a membrana de PTFE-d (Figuras 14 e 15).
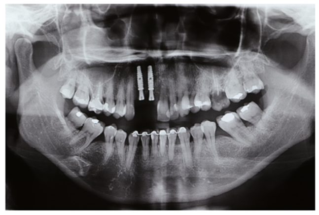
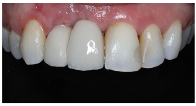
Para melhor posicionamento tridimensional dos implantes, foi confeccionado um guia cirúrgico que viabilizou a instalação de dois implantes do tipo Cone Morse 3.5 x 13 mm Implacil De Bortoli (Figuras 16, 17,18 e 19).






Após 4 meses, foi realizada radiografia panorâmica para o momento de abertura dos implantes (Figura 20). Foi planejado e escolhido os munhões da linha Smart Implacil (3.3x4x2.5) e confeccionadas duas coroas metalocerâmicas do tipo parafusada, visando maior possibilidade de reversibilidade e manutenção (Figuras 21 e 22).



Resumo
Sabemos que os defeitos verticais nas maxilas são desafios difíceis na implantodontia, ficando limitadas as opções de tratamento devido à alta complexidade e custo. Porém, a membrana de PTFE-d com reforço de titânio se mostrou eficiente na regeneração óssea guiada em defeitos verticais severos > 7 mm, levando a uma ótima formação óssea, diminuindo também os riscos de complicações devido ao baixo índice de exposição. A paciente se apresenta em ótimo acompanhamento e com estabilidade do conjunto peri-implantar.
REFERÊNCIAS
1-Carbonell JM, Martin IS, Santos A, Pujol A, Sanz-Moliner JD, Nart J. High-density polytetra_ uoroethylene membranes in guided bone and tissue regeneration procedures: a literature review. Int J Oral Maxillofac Surg 2014;43(1):75-84.
2- Bartee BK. Evaluation of a new polytetra_ uoroethylene guided tissue regeneration membrane in healing extraction sites. Compend Contin Educ Dent 1998;19(12):1256-64.
3- Bartee BK. e use of high-density polytetra uoroethylene membrane to treat osseous defects: Clinical reports. Implant Dent 1995;4(1):21-6.
4- Bartee BK. Evaluation of a new polytetra uoroethylene guided tissue regeneration membrane in healing extraction sites. Compend Contin Educ Dent 1998;19:1256-64.
5- Barber HD, Lignelli J, Smith BM, Bartee BK. Using a dense PTFE membrane without primary closure to achieve bone and tissue regeneration. J Oral Maxillofac Surg 2007;65(4):748-52.
6- Ho man O, Bartee BK, Beaumont C, Kasaj A, Deli G, Zafiropoulos GG. Alveolar bone preservation in extraction sockets using non-resorbable dPTFE membranes: a retrospective non-randomized study. J Periodontol 2008;79(8):1355-69.
7- Fotek PD, Neiva RF, Wang HL. Comparison of dermal matrix and polytetra_ uoroethylene membrane for socket bone augmentation: a clinical and histologic study. J Periodontol 2009;80(5):776-85.
8- Barboza EP, Stutz B, Ferreira VF, Carvalho W. Guided bone regeneration using nonexpanded polytetra_ uoroethylene membranes in preparation for dental implant placements – a report of 420 cases. Implant Dent 2010;19(1):2-7.
9- Vroom M, Grü ndemann L. New generation p e-membranes non-resorbable membranes. Tandartspraktijk 2014;35(1):80-6.
10- Amler M, Johnson P, Salman I. Histological and histochemical investigation of human undisturbed extraction wounds. J Am Dent Assoc 1960;61(1):32-44.
11- Cytoplast high-density PTFE membranes. Osteogenics Biomedical [On-line]. Disponível em <h_p://www.osstem.de/data/library/2014en. pdf>. Acesso em: 25-8-2014.
12- Walters SP, Greenwell H, Hill M, Drisko C, Pickman K, Scheetz JP. Comparison of porous and non-porous te_ on membranes plus a xenogra_ in the treatment of vertical osseous defects: a clinical reentry study. J Periodontol 2003;74(8):1161-8.
13- Al-Hezaimi K, Rudek I, Al-Hamdan KS, Javed F, Nooh N, Wang HL. E_ cacy of using a dual layer of membrane (dPTFE placed over collagen) for ridge preservation in _ esh extraction sites: a micro-computed tomographic study in dogs. Clin Oral Implants Res 2013;24(10):1152-7.
14- Francisco BS. Avaliação clínica do tecido neoformado em sítios de pós-extração dentária utilizando membranas de d-TFE intencionalmente expostas [dissertação]. Niterói: Universidade Federal Fluminense, 2008





