Por:
Prof. Márcio Casati
Colaboração: Samir Absy
Orientador: Fabiano Ribeiro Cirano

O tratamento com implantes dentários têm apresentado impacto positivo na qualidade de vida do paciente em longo prazo, restabelecendo função e estética (Sargozaie, Moeintaghavi & Shojaie, 2017).
Após a exodontia do elemento dentário, ocorre no alvéolo ósseo reabsorções fisiológicas horizontais e verticais (Chappuis, Araújo & Buser, 2017). Essas alterações dimensionais podem levar os profissionais a lançarem mão de técnicas reconstrutivas complexas (por exemplo, levantamento do seio maxilar, enxertos ósseos autógenos ou alógenos e regeneração óssea guiada), com morbidade significativa, necessidade de longo tempo operatório e de cicatrização e com alto custo financeiro para o paciente (Cucchi & Ghensi, 2014).
Além disso, apesar de existirem evidências suportando o uso dessas técnicas reconstrutivas, também existe risco considerável de complicações trans e pós-cirúrgicas (Thoma et al., 2015).
Atualmente, esses elementos cruciais da terapia incentivam os profissionais a considerarem procedimentos menos invasivos, como implantes curtos (≤8 mm) ou extra curtos (≤6 mm) (Rossi et al., 2017; Slotte et al., 2015).
O uso de implantes dentários curtos tem se mostrado uma solução favorável em casos de quantidade óssea limitada, bem como aqueles associados a estruturas anatômicas inevitáveis, como concavidades linguais (Chan et al.,2011) ou do seio maxilar (Gosau, Rink, Driemel & Draenert, 2009).
Revisões sistemáticas comparando implantes curtos (≤8 mm) com implantes longos (>8 mm) colocados após procedimentos de aumento ósseo encontraram taxas de sobrevivência comparáveis, bem como menos complicações nas reabilitações suportadas por implantes curtos (Camps-Font et al., 2016; Fan, Li, Deng, Wu & Zhang, 2017). Papaspyridakos et al., 2018, mostraram como implantes dentários curtos (≤ 6 mm) tiveram altas taxas de sobrevivência quando envolvidos em reabilitações mandibulares edêntulas posteriores. A taxa de sobrevivência média relatada após períodos de um a cinco anos em função foi de 96% para implantes curtos e de 98% para de comprimento padrão.
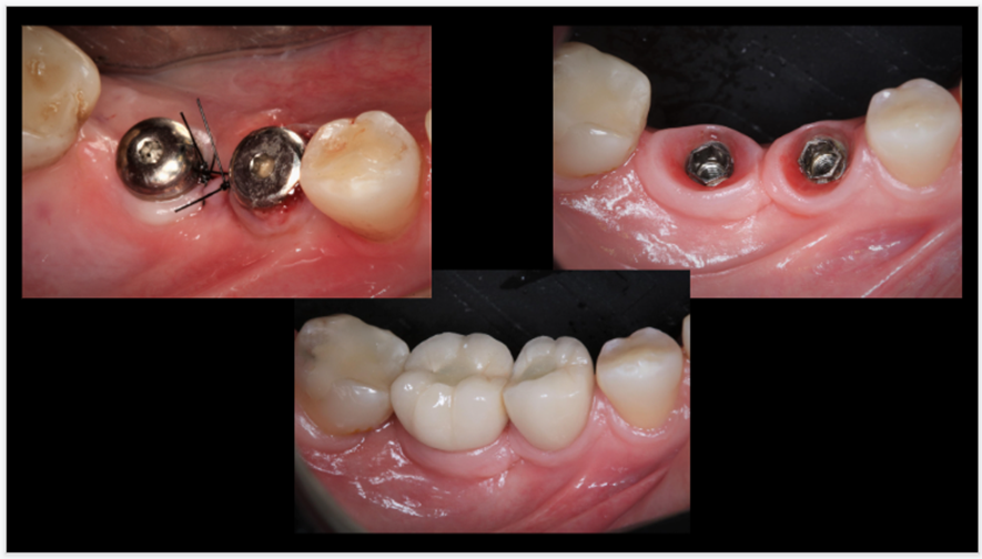
Neste caso clínico, a paciente C.X.M, sexo feminino, 46 anos, saudável, com histórico de doença periodontal, sem condições sistêmicas desfavoráveis e não-fumante, compareceu à clínica de especialização de Periodontia da UNIP. Após terapia periodontal, com a paciente apresentando saúde periodontal, foram instalados, na clínica de especialização, dois implantes do tipo HE, 4.0 X 6.0mm, Implacil De Bortoli. O acompanhamento deste caso clínico vem sendo realizado semestralmente na clínica de pós-graduação stricto sensu do programa de mestrado em Odontologia na área de Periodontia da UNIP, durante a terapia periodontal de suporte, nos últimos quatro anos.
Por meio deste caso clínico, podemos ilustrar que a instalação de implantes considerados curtos podem ter uma sobrevida longa com ótima estabilidade a longo prazo, corroborando as evidências científicas apresentadas acima, desde que todos os cuidados periodontais (terapia periodontal prévia à cirurgia de colocação do implante e terapia periodontal de suporte regular do paciente) sejam realizados.




REFERÊNCIAS
Camps-Font, O., Burgueno-Barris, G., Figueiredo, R., Jung, R. E., GayEscoda, C., & Valmaseda-Castellon, E. (2016). Interventions for dental implantplacement in atrophic edentulous mandibles: vertical bone augmentation and alternative treatments. A meta-analysis of randomized clinical trials. Journal of Periodontology, 87, 1444–1457. https://doi.org/10.1902/jop.2016.160226
Chan, H. L., Brooks, S. L., Fu, J. H., Yeh, C. Y., Rudek, I., & Wang, H. L. (2011).Cross-sectional analysis of the mandibular lingual concavity using cone beam computed tomography. Clinical Oral Implants Research, 22, 201–206. https://doi.org/10.1111/j.1600-0501.2010.02018.x
Chappuis, V., Araújo, M. G., & Buser, D. (2017). Clinical relevance of dimensional bone and soft tissue alterations post-extraction in esthetic sites. Periodontology 2000 73, 73–83. https://doi.org/10.1111/prd.1216
Cucchi, A., & Ghensi, P. (2014). Vertical guided bone regeneration using titanium-reinforced d-PTFE membrane and prehydrated corticocancellous bone graft. The Open Dentistry Journal, 8, 194–200. https://doi.org/10.2174/1874210601408010194
Fan, T., Li, Y., Deng, W. W., Wu, T., & Zhang, W. (2017). Short Implants (5 to 8 mm) Versus Longer Implants (>8 mm) with Sinus Lifting in Atrophic Posterior Maxilla: A Meta-Analysis of RCTs. Clinical Implant Dentistry and Related Research, 19, 207–215. https://doi.org/10.1111/
cid.12432
Gosau, M., Rink, D., Driemel, O., & Draenert, F. G. (2009). Maxillary sinus anatomy: A cadaveric study with clinical implications. Anatomical Record (Hoboken), 292, 352–354. https://doi.org/10.1002/ar.20859
Papaspyridakos, P., De Souza, A., Vazouras, K., Gholami, H., Pagni, S., & Weber, H. P. (2018). Survival rates of short dental implants (≤ 6 mm) compared with implants longer than 6 mm in posterior jaw areas: A meta‐analysis. Clinical oral implants research, 29, 8-20.
Ravidà, A., Wang, I. C., Barootchi, S., Askar, H., Tavelli, L., Gargallo‐Albiol, J., & Wang, H. L. (2019). Meta‐analysis of randomized clinical trials comparing clinical and patient‐reported outcomes between extra‐short (≤ 6 mm) and longer (≥ 10 mm) implants. Journal of clinical periodontology, 46(1), 118-142.
Rossi, F., Lang, N. P., Ricci, E., Ferraioli, L., Marchetti, C., & Botticelli, D. (2017). 6-mm-long implants loaded with fiber-reinforced composite resin-bonded fixed prostheses (FRCRBFDPs). A 5-year prospective study. Clinical Oral Implants Research, 28, 1478–1483. https://doi.org/10.1111/clr.13015
Sargolzaie, N., Moeintaghavi, A., & Shojaie, H. (2017). Comparing the quality of life of patients requesting dental implants before and after implant. The open dentistry journal, 11, 485.
Slotte, C., Gronningsaeter, A., Halmoy, A. M., Ohrnell, L. O., Mordenfeld, A., Isaksson, S., & Johansson, L. A. (2015). Four-Millimeter-Long Posterior-Mandible Implants: 5-Year Outcomes of a Prospective Multicenter Study. Clinical Implant Dentistry and Related Research, 17(Suppl 2), e385–e395. https://doi.org/10.1111/cid.12252
Thoma, D. S., Haas, R., Tutak, M., Garcia, A., Schincaglia, G. P., & Hämmerle, C. H. (2015). Randomized controlled multicentre study comparing short dental implants (6 mm) versus longer dental implants (11–15 mm) in combination with sinus floor elevation procedures. Part 1: demographics and patient‐reported outcomes at 1 year of loading. Journal of clinical periodontology, 42(1), 72-80.





