Por Hector Carrasco, Sara Guevara, Carlos Geraldo Araújo, Renata Tarnoschi, Bruno Costa Martins de Sá, Tárcio Hiroshi Ishimine Skiba
Introdução
Durante muito tempo, a implantologia baseou-se na osseointegração como indicativo de sucesso. No entanto, existem outros fatores a serem considerados como a estética branca e rosa. O objetivo do tratamento é a reabilitação funcional e estética. É por isso que enfatizamos o manejo dos tecidos moles como uma ferramenta importante na entrega de resultados mais estéticos aos pacientes.
O tecido ósseo que suporta a estética rosa sofre diferentes modificações após uma extração e o biótipo gengival do paciente desempenha um papel importante na resolução multidisciplinar da instalação de um implante na zona estética. Uma alternativa viável de técnica para obter resultados estéticos e funcionais é a técnica VIP-CT (Vascularized Interpositional Periosteal Connective Tissue Flap).
O retalho VIP–CT, inicialmente idealizado para a proteção de enxertos em área anterior de maxila, pode também ser usado para aumento de rebordo na região anterior, apresentando benefícios em comparação com outras técnicas de enxertos de tecidos conjuntivos por obter um enxerto próximo ao leito receptor e completamente viável (por se manter com pedículo), bem como pode evitar a exposição de uma regeneração óssea guiada (ROG) ou enxertos ósseos de grande morbidade, como com a técnica de Khoury ou enxertos onlay.
Relato de caso
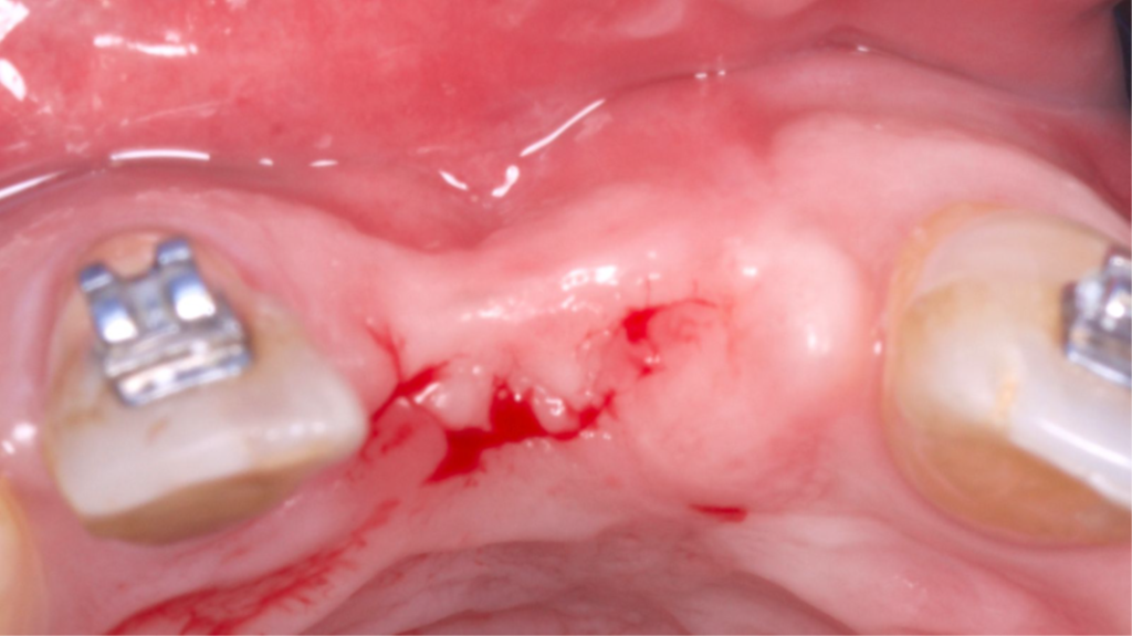
Paciente do sexo masculino encaminhado pela Ortodontia para a instalação de um implante ao nível do dente 1.1 (Figura 1), com diastemas mésio-distais de 2mm, para utilização do implante como ancoragem absoluta e melhor andamento da movimentação ortodôntica.












REFERÊNCIAS
1- Agarwal C, Deora S, Abraham D, Gaba R, Kumar BT, Kudva P. (2015) Vascularized interpositional periosteal connective tissue flap: A modern approach to augment soft tissue. J Indian Soc Periodontol. 2015 Jan-Feb;19(1):72-7. doi: 10.4103/0972-124X.145793. PMID: 25810597; PMCID: PMC4365162.
2- El Nahass H. (2020) Evaluación de la estética alrededor de los implantes inmediatos en VIP – CT sitios injertados vs no injertados.RCT, Cairo University. Recuperado de: https://ichgcp.net/es/clinical-trials-registry/ NCT03007316.
3- Lim P. (2019). La utilización eficaz del injerto GBR y VIP-CT (tejido conectivo perióstico interposicional vascularizado) en la implantación inmediata del maxilar anterior: informe de un caso clínico. Revista de la Academia Coreana de Odontología Estética , 28 (2), 74-85.
4- Jalil-Abumalham D, Leco Berrocal MI, Martínez-Rodríguez N, Fernández Cáliz F, Torres García-Denche J. (2020). Injerto pediculado palatino en regeneración ósea guiada. Cient. dent.(Ed. impr.), 209-214.
5- Khoury F, Hanser T. Three-Dimensional Vertical Alveolar Ridge Augmentation in the Posterior Maxilla: A 10-year Clinical Study. Int J Oral Maxillofac Implants. 2019 Mar/Apr;34(2):471-480. doi: 10.11607/jomi.6869. PMID: 30883623.




