Por Hsu Shao Feng e Márcio Casati
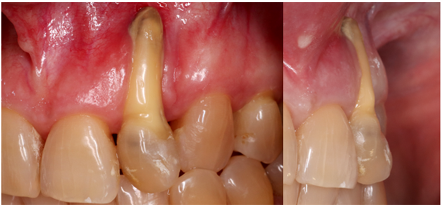
Sorrisos harmônicos e belos são cada vez mais almejados pelos pacientes que buscam tratamentos odontológicos, principalmente nos casos com patologias e/ou ausência de dentes anteriores. Além disso, vivemos em uma sociedade em que as pessoas possuem expectativas e exigências altas nos procedimentos com finalidade estética. Neste sentido, as técnicas de preservação alveolar são amplamente utilizadas em casos de manutenção do rebordo alveolar na região anterior da maxila quando se deseja instalar implantes osseointegráveis. Esta abordagem justifica-se pelo fato da reabsorção óssea ocorrer naturalmente após a perda dos elementos dentários. Nos casos em que a perda óssea vestibular é muito extensa e o tecido gengival é insuficiente, não há a possibilidade de preservar o volume ósseo imediatamente após a exodontia (Figuras 1 e 2).


Sendo assim, na dependência do nível de destruição dos tecidos de suporte/proteção dental, a presença de defeitos de tecido duro e/ou mole podem dificultar o restabelecimento da estética e da função mastigatória, ou até mesmo impedir a realização de reabilitação implantossuportada.
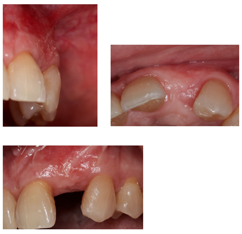
Nossa proposta é relatar o caso clínico da paciente M. S., que procurou a clínica do Curso de Especialização de Implantodontia da Universidade Paulista (Grupo Apoio) devido à condição do dente 22. Uma vez que a destruição periodontal era muito extensa, incluindo o ápice dental, foi indicada a exodontia do dente 22. Buscando reduzir o número de procedimentos cirúrgicos e o tempo necessário para a finalização do caso, foi realizada a reconstrução óssea imediatamente após a remoção do dente. Foi realizada a técnica de Regeneração Óssea Guiada (ROG) com membrana não absorvível de PTFE denso (Cytoplast), associada a enxerto ósseo xenógeno composto por 75% de hidroxiapatita e 25% de colágeno do tipo I (Extra Graft) (Vídeo 1 e Figura 3).

A escolha da técnica acima fundamenta-se no alto nível das evidências científicas associadas ao uso da associação da Regeneração Óssea Guiada (ROG) + substitutos ósseos xenógenos (Sanz-Sánchez et al., 2015), que garantem previsibilidade e bons resultados clínicos conforme demonstrado na Figura 8.

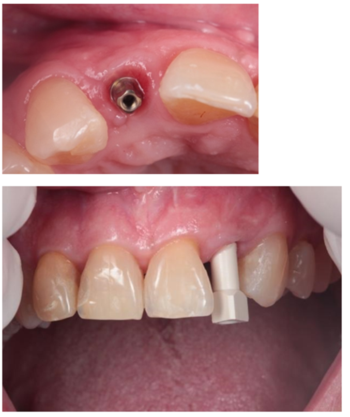
Após 8 meses da ROG, foi instalado um implante Cone Morse Due Cone 3,5 x 11mm através da técnica de cirurgia guiada por computador (Vídeo 2).
A escolha da técnica empregada justifica-se pela menor morbidade do procedimento cirúrgico e melhor acurácia no posicionamento do implante; conforme demonstrado por Nomiyama et al., 2022, ao utilizar o Sistema Implacil de instalação de implantes pela técnica guiada por computador. Imediatamente após a colocação do implante, foi instalada prótese provisória sem contato oclusal sobre pilar Ideale 3.3 x 4. Depois de quatro meses de pós-operatório, foi feito o escaneamento do componente protético utilizando transferente digital Exocad e a prótese em zircônia foi finalizada (Figuras 4 e 5).


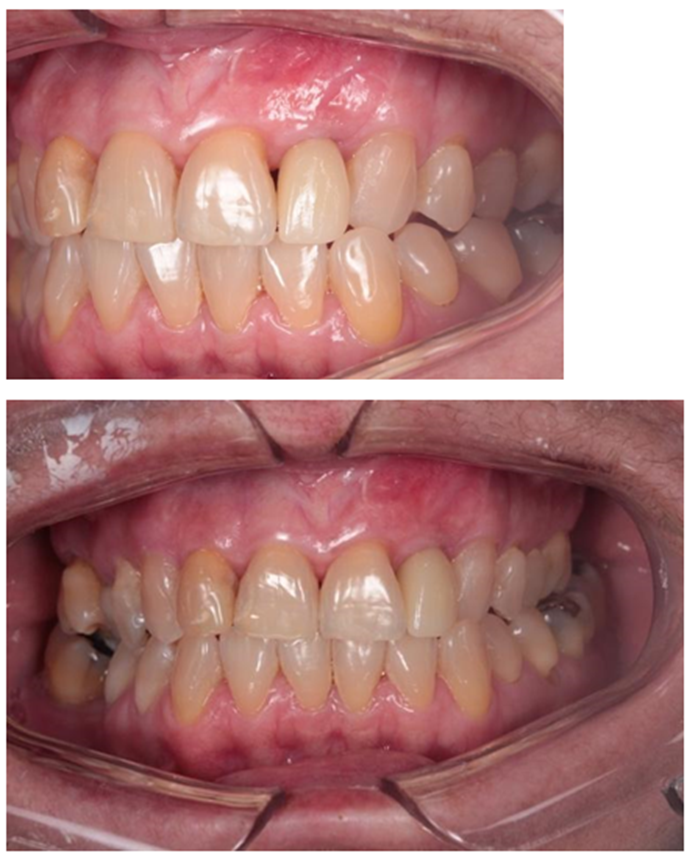
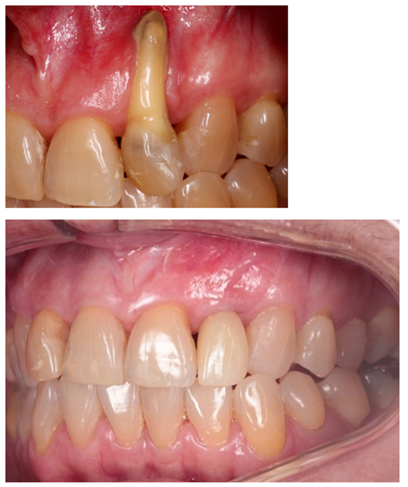
Portanto, ao se comparar o resultado obtido ao final do tratamento da paciente com a condição inicial (Figura 6), podemos sugerir que este tipo de abordagem terapêutica é capaz de devolver estética e função mastigatória para este perfil de condição clínica tão desafiadora.

REFERÊNCIAS
1- Sanz-Sánchez, A. Ortiz-Vigón, I. Sanz-Martín, E. Figuero, and M. Sanz.. Effectiveness of Lateral Bone Augmentation on the Alveolar Crest Dimension: A Systematic Review and Meta analysis. Journal of Dental Research Volume 94, Issue 9_suppl, September 2015, Pages 128S-142S
2- L. Nomiyama, E. Matumoto, M. Corrêa1, F. Cirano, F. Ribeiro, S. Pimentel · M. Casati. Comparison between flapless‑guided and conventional surgery for implant placement: a 12‑month randomized clinical trial. Clinical Oral Investigations (2022) 27:1665–1679.





