A utilização do pilar Ideale angulado evitando a necessidade do approach palatino nas cirurgias da pré-maxila

A utilização do pilar Ideale angulado evitando a necessidade do approach palatino nas cirurgias da pré-maxila

Na Implantodontia, um dos maiores desafios é a instalação de implantes dentários na região da pré-maxila, tanto em alvéolos frescos como em rebordos cicatrizados. Como discutido amplamente na literatura, o bom posicionamento tridimensional do implante é uma condição sine qua non para se alcançar o sucesso funcional e estético nessa região. Outro ponto abordado para o sucesso nessa região é a necessidade das próteses serem aparafusadas, evitando assim, a utilização de próteses cimentadas, onde a remoção do excesso de cimento é de extrema dificuldade e como relatado na literatura, esse excesso é o grande responsável pelas peri-implantites nessa região e pela falência estética dos casos em questão.

Diante disso, durante anos, a abordagem para a instalação de implantes nessa região com a possibilidade de aparafusamento da prótese sempre foi o “approach palatino”, o que possibilita que a emergência do canal do parafuso saia da região de cíngulo, não afetando a estética e a resistência do material cerâmico. Porém, conforme descrito na literatura, somente próximo de 14% dos casos permitem um approach palatino que não interfira na anatomia do dente implantado, evitando assim, o sobrecontorno palatino, o qual causa um grande desconforto aos pacientes.

No intuito de solucionar esse obstáculo desconfortável ao paciente, a literatura tem debatido amplamente a mudança do posicionamento do implante nessa região, sugerindo que o implante seja instalado na melhor relação dentoalveolar, devendo possuir pelo menos 2,0 mm de espaço entre o implante e o osso vestibular e, no mínimo, 1,0 mm entre o implante e o osso palatino. Essa nova postura no planejamento se deve ao avanço do planejamento digital através de softwares mais modernos, que planejam tanto o posicionamento do implante, bem como o pilar protético, evitando assim, o grande número de fenestrações apicais na tábua vestibular na inserção dos implantes devido ao eixo de inserção seguido pelo approach palatino, principalmente por causa da inclinação anatômica da pré-maxila.

Tecnologias recentemente desenvolvidas permitem restaurações aparafusadas através da utilização de pilares angulados, proporcionando a realização de uma coroa aparafusada e eliminando o risco de peri-implantite relacionada ao cimento, respeitando a angulação natural dos dentes da pré-maxila e os desafios comuns da área estética.

Seguindo essa tendência, em 2019, a Implacil De Bortoli lançou uma linha de pilares híbridos, que tanto podem ser utilizados em próteses cimentadas como em próteses parafusadas unitárias, fazendo uso de pilares retos ou pilares angulados, na angulação de 17° ou 30°. Essa linha de pilares, denominada  Ideale, vem ao encontro dos trabalhos mais modernos da literatura mundial, que sugerem a utilização de implantes com inclinação coronária ou a utilização de pilares angulados.

O caso clínico a seguir irá descrever o sucesso dessa nova realidade. Paciente J.C., de 65 anos de idade, do sexo masculino, compareceu em minha clínica com o elemento 13 fraturado (Figura 1). Após análise criteriosa da tomografia, foi planejada a exodontia e a instalação imediata do implante seguindo as novas tendências no posicionamento tridimensional, isto é, a melhor posição no rebordo na relação dento alveolar (Figura 2). Foi realizada a terapia medicamentosa com a administração de Amoxicilina 500 mg, de oito em oito horas durante sete dias, iniciando um dia antes do procedimento, e o uso de anti-inflamatório após a cirurgia, durante três dias. A exodontia foi realizada de forma atraumática, como sugerido na literarura (Figuras 3 e 4) e foi realizada a fresagem para a instalação de um implante Due Cone Implacil De Bortoli (conexão morse) de 3.5 x 13 mm, que foi estabilizado a 46 Ncm (Figuras 5, 6 e 7). Após a instalação, o gap foi preenchido com biomaterial, um cicatrizador de 5.5 X 3.5 mm (diâmetro/altura) foi instalado e o tecido foi suturado ao seu redor, protegendo assim o biomaterial (Figura 8).

Após 90 dias da instalação do implante, o cicatrizador foi removido e fazendo uso do Kit de Seleção de Componentes da mesma empresa, foi selecionado um pilar Ideale angulado de 3.3 X 4.0 X 1.5 de 17°. Essas mediadas se referem ao diâmetro, altura protética, altura do transmucoso e ao ângulo do pilar, respectivamente (Figuras 9, 10 e 11).

Uma vez selecionado, o pilar Ideale foi instalado e torqueado a 20 Ncm como recomendado pelo fabricante (Figura 12). Nessa mesma consulta foi colocado sobre o pilar Ideale um transferente digital referente ao mesmo e as arcadas foram escaneadas (Figuras 13, 14 e 15).

O resultado do escaneamento foi enviado para o laboratório onde foi realizado o projeto e foi feita a fresagem de uma coroa aparafusada em zircônia MultiLayer. A mesma foi maquiada na cor A 3.5 (Figuras 16, 17, 18 e 19).

Na segunda consulta, a prótese parafusada metalfree foi instalada e aparafusada a 10 Ncm como recomendado pela fabricante. O orifício de acesso ao parafuso foi restaurado com resina fotopolimerizável e uma radiografia final foi realizada (Figuras 20, 21, 22 e 23).

O caso foi concluído com sucesso seguindo os protocolos relatados nos trabalhos científicos mais recentes, onde para se conseguir a melhor ancoragem óssea nos implantes imediatos na região de pré-maxila para reabilitar com uma prótese aparafusada, se faz necessária a utilização de um pilar angulado.

Figura 1 – Análise inicial
Figura 2 – Planejamento do implante
Figura 3 – Dispositivo para exodontia
Figura 4 – Exodontia atraumática
Figura 5 – Fresagem do leito cirúrgico
Figura 6 –  Instalação do implante Due Cone 3.5 X 13 mm
Figura 7 – Implante estabilizado a 46 Ncm
Figura 8 – Cicatrizador de 5.5 X 3.5 mm instalado
Figura 9 – Cicatrizador removido após 90 dias
Figura 10 – Pilar angulado sendo selecionado
Figura 11 – Verificando a emergência do parafuso
Figura 12 – Pilar Ideale de 3.3 X 4.0 X 1.5 de 17° instalado
Figura 13 – Transferente digital do pilar Ideale
Figura 14 – Hemi-arco superior escaneado
Figura 15 – Hemi-arco inferior escaneado
Figura 16 – Modelo virtual no Exocad
Figura 17 – Projeto do elemento 13
Figura 18 – Projeto pronto para fresagem
Figura 19 – Coroa aparafusada fresada em zircônia MultiLayer
Figura 20 – Prótese aparafusada torqueada a 10 Ncm
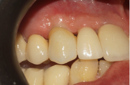
Figura 21 – Imagem da prótese instalada
Figura 22 – Orifício de acesso ao parafuso restaurado
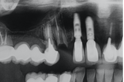
Figura 23 – Imagem radiográfica comparando a adaptação da prótese parafusada do elemento 13 com a prótese cimentada do elemento 12, realizado anteriormente

REFERÊNCIAS
1-
Erin K. Edmondson, Pedro M. Trejo, Nikolaos Soldatos, Robin L. Weltman, The ability to screw-retain single implant-supported restorations in the anterior maxilla: A CBCT analysis. J Prosthet Dent 2021.

2- Gluckman H, Pontes CC, Du Toit J. Radial plane tooth position and bone wall dimensions in the anterior max- illa: A CBCT classification for immedi- ate implant placement. J Prosthet Dent 2018;120:50–56.

3- Greer AC, Hoyle PJ, Joseph W, Vere JW, Wragg PF. Mechanical complications associated with angled screw channel restorations. Int J Prosthodont 2017;30:258-9.

4- Howes DG. Angled implant design to accommodate screw-retained implant-supported prostheses. Compend Contin Educ Dent. 2017;38 (7):458-464.

5- Hu E, Petrich A, Imamura G, Hamlin C. Effect of screw channel angulation on reverse torque values of dental implant abutment screws. J Prosthodont 2019;28:969-72.

6- Kan J, Row P, Rungcharssaeng K, Patel R, Waki T, Lozada J, et al. Classification of sagittal root position in relation to the anterior maxillary osseous housing for immediate implant placement: A cone beam computed tomog- raphy study. Int J Oral Maxillofac Implants 2011;26:873-6.

7- Korsch M, Obst U, Walther W. Cement-associated peri-implantitis: a retrospective clinical observational study of fixed implant-supported resto- rations using a methacrylate cement. Clin Oral Implants Res 2014;25: 797-802.

8- Opler R, Wadhwani C, Chung KH. The effect of screwdriver angle variation on the off-axis implant abutment system and hexalobular screw. J Prosthet Dent 2020;123:524-8.

9- Staubli N, Walter C, Schmidt JC, Weiger R, Zitzmann NU. Excess cement and the risk of peri-implant disease: A systematic review. Clin Oral Implants Res 2016;28:1278-90.

10- Swamidass RS, Kan JYK, Kattadiyil MT, Goodacre C, Lozada J. Abutment screw torque changes with straight and angled screw-access channels. J Prosthet Dent 2020. doi: 10.1016/j.prosdent.2020.01.018. [Epub ahead of print.].