Leve e fácil de usar, o raio-x portátil N1 conta com tela LCD intuitiva que exibe informações assertivas, como o dente selecionado, modo adulto ou infantil e tempo de exposição.
E mais do que isso, proporciona imagens nítidas, com clareza aprimorada pelo FOCAL SPOT.
Tela intuitiva e fácil de usar;
Mais nitidez;
Mais praticidade, graças à bateria de alto rendimento que garante até 300 imagens através de uma carga semanal;
Suporte de carregamento com luz indicativa de status.
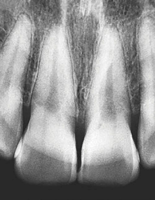
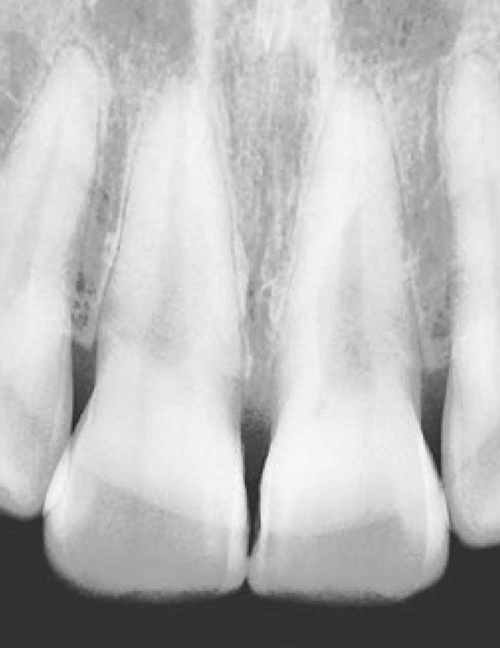
IMAGEM NÍTIDA
Tão nítida quanto o raio-X padrão.
Clareza aprimorada pelo FOCAL SPOT.
70kV, 3mA
70kV, 2mA
*a imagem acima está sujeita a alterações com base no sensor.
CARREGUE SÓ UMA VEZ POR SEMANA!
Pode tirar 300 imagens devido a bateria de alto rendimento, aumentando o índice de eficiência
N1 (300 vezes)
Aumento de 15%
X (250 vezes)
Preencha o formulário abaixo, e entraremos em contato